Volume 12 - Issue 9 - September 2013

Consultant for Pediatricians

Dermclinic
Dermclinic
09/26/2013
A 10-month-old girl presented to the pediatric clinic with a 2-day history of an erythematous maculopapular rash all over her body. The girl had been seen 7 days previously at an acute care clinic, where...
09/26/2013
NACF
NACF
09/26/2013
Maria N. Kelly, MD; Donald J. Fillipps, MD; Sanjeev Y. Tuli, MD; Sonal S. Tuli, MD
<p><img src="/sites/default/files/transfer/Screen_Shot_2013-09-26_at_10.57.35_AM.png" alt="asymmetric crying" width="115" height="115" style="float:...
09/26/2013
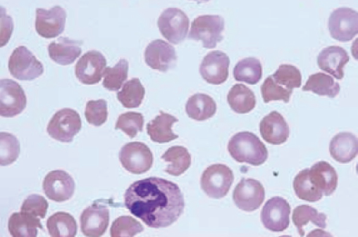
pyknocytosis
pyknocytosis
09/26/2013
Bhavana Kandikattu, MD; Jiyeon Kim, MD
<p class="p1"><img src="/sites/default/files/transfer/Screen_Shot_2013-09-26_at_10.45.56_AM.png" alt="pyknocytosis" width="115" height="115"...
09/26/2013
Conjuctivitis
Conjuctivitis
09/26/2013
Wendy Hoffner, MD; Cyrus Golshani; Shagun Sachdeva, MD; Noureen J. Khan, MD
A full-term male infant, born via normal spontaneous vaginal delivery, presented at 17 hours of life with bilateral purulent conjunctivitis. Findings from the initial physical examination shortly after...
09/26/2013
Conjuctivitis
Conjuctivitis
09/26/2013
Wendy Hoffner, MD; Cyrus Golshani; Shagun Sachdeva, MD; Noureen J. Khan, MD
A full-term male infant, born via normal spontaneous vaginal delivery, presented at 17 hours of life with bilateral purulent conjunctivitis. Findings from the initial physical examination shortly after...
09/26/2013
Conjuctivitis
Conjuctivitis
09/26/2013
Wendy Hoffner, MD; Cyrus Golshani; Shagun Sachdeva, MD; Noureen J. Khan, MD
A full-term male infant, born via normal spontaneous vaginal delivery, presented at 17 hours of life with bilateral purulent conjunctivitis. Findings from the initial physical examination shortly after...
09/26/2013
Urticaria
Urticaria
09/26/2013
Bhagwan Das Bang, MD
<p><img src="/sites/default/files/transfer/Screen_Shot_2013-09-26_at_10.23.01_AM.png" alt="urticaria" width="115" height="115" style="float: left;...
09/26/2013
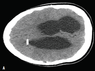
amaurosis
amaurosis
09/26/2013
David I. Sandberg, MD; Sutapa Khatua, MD, MBBS; Lynnette J. Mazur, MD, MPH
<p><img src="/sites/default/files/transfer/Screen_Shot_2013-09-26_at_10.15.42_AM.png" alt="shunt" width="115" height="115" style="float: left;...
09/26/2013
osteochondroma
osteochondroma
09/26/2013
Sarah R. Glick, MD
<p><img src="/sites/default/files/transfer/Screen_Shot_2013-09-26_at_9.59.25_AM.png" alt="osteochondroma" width="115" height="115" style="float: left;...
09/26/2013
enterovirus
enterovirus
09/26/2013
Patricia L. Chambers, MD; Rebecca C. Brady, MD
<p><img alt="enterovirus" src="/sites/default/files/transfer/Screen_Shot_2013-09-26_at_9.35.35_AM.png" style="height:115px; margin-left:5px; margin-right:5px; width:115px;...
09/26/2013
neoplasm
neoplasm
09/25/2013
David Scordino, MD; Brian T. Kloss, DO, JD, PA-C
<p><img alt="neoplasm" src="/sites/default/files/transfer/Screen_Shot_2013-09-25_at_11.30.20_AM.png" style="height:115px; margin-left:5px; margin-right:5px; width:115px;...
09/25/2013
KOH
KOH
09/25/2013
Joe R. Monroe, PA-C, MPAS, PA
Potassium hydroxide (KOH) solution, being alkaline, has the ability to dissolve keratin that is scraped from the outer layer of skin, which allows the microscopic identification of organisms such as...
09/25/2013
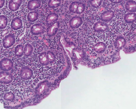
celiac disease
celiac disease
09/25/2013
Margaret Martin, PharmD; Howard A. Kader, MD; William S. Twaddell, MD; Cinthia B. Drachenberg, MD; Laide A. Jinadu, MD
<p><img alt="scalloping mucosa" src="/sites/default/files/transfer/Screen_Shot_2013-09-25_at_9.17.52_AM.png" style="height:115px; margin-left:5px; margin-right:5px;...
09/25/2013
muscular dystrophy
muscular dystrophy
09/24/2013
Sneha Taylor, MD; Joseph P. Peter, MD
<p><strong><img alt="dystrophy" src="/sites/default/files/transfer/Screen_Shot_2013-09-24_at_4.03.50_PM.png" style="height:115px; margin-left:5px; margin-right:5px;...
09/24/2013
pityriasis alba
pityriasis alba
09/24/2013
Alexander K.C. Leung, MD, MBBS, FRCPC, FRCP; Benjamin Barankin, MD, FRCPC
<p><img alt="pitriasis" src="/sites/default/files/transfer/Screen_Shot_2013-09-24_at_2.51.40_PM.png" style="height:115px; margin-left:5px; margin-right:5px; width:115px;...
09/24/2013
Foreign Body Aspiration
Foreign Body Aspiration
09/24/2013
Julie S. Berg, MD; Neha H. Shah, MD, MPH
<p><img alt="aspiration" src="/sites/default/files/transfer/Screen_Shot_2013-09-24_at_11.41.00_AM.png" style="height:115px; margin-left:5px; margin-right:5px; width:115px;...
09/24/2013
Foreign Body Aspiration
Foreign Body Aspiration
09/24/2013
Julie S. Berg, MD; Neha H. Shah, MD, MPH
<p><img alt="aspiration" src="/sites/default/files/transfer/Screen_Shot_2013-09-24_at_11.41.00_AM.png" style="height:115px; margin-left:5px; margin-right:5px; width:115px;...
09/24/2013
Foreign Body Aspiration
Foreign Body Aspiration
09/24/2013
Julie S. Berg, MD; Neha H. Shah, MD, MPH
<p><img alt="aspiration" src="/sites/default/files/transfer/Screen_Shot_2013-09-24_at_11.41.00_AM.png" style="height:115px; margin-left:5px; margin-right:5px; width:115px;...
09/24/2013