Photo Essay
Photo Essay
08/10/2025
Alexander K.C. Leung, MD, MBBS, FRCPC, FRCP; Benjamin Barankin, MD, FRCPC; Joseph M. Lam, MD; Kin Fon Leong, MD
This article is part of a series describing and differentiating dermatologic lumps and bumps. In Part 37, Leung and colleagues describe keratosis pilaris. To access previously published articles in the...
08/10/2025
Photo Essay
Photo Essay
07/24/2025
Alexander K.C. Leung, MD, MBBS, FRCPC, FRCP; Benjamin Barankin, MD, FRCPC; Joseph M. Lam, MD; Kin Fon Leong, MD
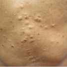
Steatocystoma multiplex is a rare skin condition clinically characterized by multiple, asymptomatic, smooth, round, soft to firm, often freely movable, yellow or skin-colored papules and nodules.
07/24/2025
Photo Essay
Photo Essay
07/07/2025
Alexander K.C. Leung, MD, MBBS, FRCPC, FRCP; Benjamin Barankin, MD, FRCPC; Joseph M. Lam, MD; Kin Fon Leong, MD
This article is part of a series describing and differentiating dermatologic lumps and bumps. In Part 38, Leung and colleagues describe lichen striatus. To access previously published articles in the...
07/07/2025
Photo Essay
Photo Essay
06/23/2025
Alexander K.C. Leung, MD, MBBS, FRCPC, FRCP; Benjamin Barankin, MD, FRCPC; Joseph M. Lam, MD; Kin Fon Leong, MD
Diffuse cutaneous mastocytosis, a rare but potentially fatal form of cutaneous mastocytosis, accounts for approximately 1% to 5% of pediatric cutaneous mastocytosis cases
06/23/2025
Photo Essay
Photo Essay
05/19/2025
Alexander K.C. Leung, MD, MBBS, FRCPC, FRCP; Benjamin Barankin, MD, FRCPC; Joseph M. Lam, MD; Kin Fon Leong, MD
This article is part of a series describing and differentiating dermatologic lumps and bumps. In Part 41, Leung and colleagues describe congenital melanocytic nevi. To access previously published articles...
05/19/2025
Photo Essay
Photo Essay
04/26/2025
Alexander K.C. Leung, MD, MBBS, FRCPC, FRCP; Benjamin Barankin, MD, FRCPC; Joseph M. Lam, MD; Kin Fon Leong, MD
Maculopapular cutaneous mastocytosis (also known as urticaria pigmentosa) is the most common form of cutaneous mastocytosis and accounts for 70% to 90% of pediatric cases. Its incidence has been estimated...
04/26/2025
Photo Essay
Photo Essay
04/12/2025
Alexander K.C. Leung, MD, MBBS, FRCPC, FRCP; Benjamin Barankin, MD, FRCPC; Joseph M. Lam, MD; Kin Fon Leong, MD
This article is part of a series describing and differentiating dermatologic lumps and bumps. In Part 43, Leung and colleagues describe blue nevi. To access previously published articles in the series,...
04/12/2025
Photo Essay
Photo Essay
03/18/2025
Alexander K.C. Leung, MD, MBBS, FRCPC, FRCP; Benjamin Barankin, MD, FRCPC; Joseph M. Lam, MD; Kin Fon Leong, MD
Mastocytosis is a rare heterogenous group of disorders characterized by a clonal proliferation and accumulation of mast cells in one or more organs, mostly skin and bone marrow and, less frequently,...
03/18/2025
Photo Essay
Photo Essay
02/14/2025
Alexander K.C. Leung, MD, MBBS, FRCPC, FRCP; Benjamin Barankin, MD, FRCPC; Joseph M. Lam, MD; Kin Fon Leong, MD
A popliteal cyst, also known as a Baker cyst or parameniscal cyst, forms when the synovial fluid from the knee joint fills and distends a preexisting gastrocnemius-semimembranosus bursa in the popliteal...
02/14/2025
Photo Essay
Photo Essay
01/06/2025
Alexander K.C. Leung, MD, MBBS, FRCPC, FRCP; Benjamin Barankin, MD, FRCPC; Joseph M. Lam, MD; Alex H.C. Wong, MD; Kin Fon Leong, MD
A ganglion cyst is a benign cystic swelling that typically arises from the synovium of either a tendon sheath or a joint capsule.
01/06/2025