Volume 54 - Issue 5 - May 2014

Consultant

Diabetes Q&A
Diabetes Q&A
06/20/2017
High-grade fever, chills, fatigue, malaise, and anorexia developed in a 35-year-old man following subclavian catheterization because of chronic renal failure of unknown cause.
06/20/2017
Granuloma Annulare
Granuloma Annulare
05/15/2014
Beau Waddell, MD; Alethea Poste, MD; Leif Paulsen, MD
A 23-year-old otherwise healthy female presented with a collection of slightly raised 5 mm to 10 mm salmon-colored papules on the dorsum of both feet.
05/15/2014
Common warts
Common warts
05/14/2014
David L. Kaplan, MD
A 68-year-old male presented with a 10-year history of a lesion on his palm that had failed cryosurgery. There is no history of bleeding and only slightly tender when he bumps it.
05/14/2014
Actinic Keratosis
Actinic Keratosis
05/14/2014
David L. Kaplan, MD
A 62-year-old female presents for evaluation of 2 erythematous patches around 6 mm to 8 mm on the sun-exposed portions of each forearm that were asymptomatic and present for a few months.
05/14/2014
varicella
varicella
05/14/2014
Alberto Revelo, MD; Carlos Revelo-Saravia, MD; Noella Boma, MD; Shobhana Chaudhari, MD
A 60-year-old African American male with coronary artery disease, peripheral vascular disease, heart failure, hypertension, diabetes mellitus, and a habit of smoking presented with a chief complaint of 2...
05/14/2014
Stevens-Johnson Syndrome
Stevens-Johnson Syndrome
05/13/2014
Brandon L. Hill, MD; Kyle M. Harvey, MD; Marie Brock, DO
A 63-year-old male with recurrent nephrolithiasis and multiple medical problems was admitted for worsening pharyngitis refractory to outpatient management with supportive therapy.
05/13/2014
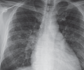
Lung cancer
Lung cancer
05/13/2014
Alvin Wycoco, MD; Shebene Chacko, MD; Rafael Ilyayev, MD; Rajat Mukherji, MD
A 92-year-old female with a history of hypertension, diabetes mellitus, and breast cancer presented with a fever of 2 days duration and a cough productive of whitish sputum.
05/13/2014
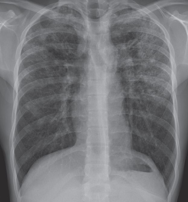
Tuberculosis
Tuberculosis
05/13/2014
Keta Joshipura Pandit, MD; Aishah Suleiman; Kalpana Gupta, MD
A 19-year-old Hispanic male presented with a 3-month history of productive cough, hemoptysis, and intermittent pleuritic chest pain.
05/13/2014
MRSA
MRSA
05/12/2014
Shimool Rabbani, OMS III, BS; Taral R. Sharma, MD, MBA
A 28-year-old Caucasian male with past medical history significant for intravenous (IV) substance abuse presented to the emergency room complaining of a productive cough, chest pain, fever, chills, sweats,...
05/12/2014
Breast cancer
Breast cancer
05/08/2014
Gregory W. Rutecki, MD
Someone recently said to me, “Change is inevitable, except from vending machines.” Nowhere is that claim more accurate than when it comes to breast cancer management.
05/08/2014
First Report®
First Report®
05/08/2014
Laren Tan, MD; Samuel Louie, MD
Few signs cause more apprehension than the coughing or expectoration of bright red blood originating from the lungs, known as hemotpysis.
05/08/2014
Hernia
Hernia
05/08/2014
Surasak Puvabanditsin, MD; Eugene Garrow, MD; Jerome Balbin, BS; Michelle Quan, MD; Rajeev Mehta, MD
A boy was born at 31 weeks’ gestation by cesarean delivery to a 43-year-old primigravida woman who was experiencing severe preeclampsia.
05/08/2014
Gun Control
Gun Control
05/08/2014
Pooja Amy Shah, MD
Physicians have a right and responsibility to discuss gun issues with their patients, according to a new policy paper from the American College of Physician (ACP).
05/08/2014
doctor's stories
doctor's stories
05/08/2014
Renate G. Justin, MD
Storytelling is a powerful tool that could (and should) be used more frequently in our armamentarium for pain control. Most of us have, at one time or the other, been completely absorbed while reading a...
05/08/2014
Warfarin
Warfarin
05/08/2014
Louis Kuritzky, MD; Eric A. Dietrich, PharmD, BCPS
Agatha presents to the clinic with signs and symptoms suggestive of a lower urinary tract infection; urinalysis shows numerous white blood cells and positive nitrite.
05/08/2014
Case in Point
Case in Point
05/08/2014
Philip Pancari, MD; Ronald N. Rubin, MD
A 41-year-old woman presents with diffuse abdominal pain, rated 10/10 in severity, described as “deep and cramping.”
05/08/2014
Basal cell carcinoma
Basal cell carcinoma
05/06/2014

Alexander K.C. Leung, MD, and Benjamin Barankin, MD

Alexander K.C. Leung, MD, and Benjami...
A 74-year-old man presents with a slow growing nodular lesion on his temple. The lesion had been there for perhaps 3 years and central ulceration developed 6 months ago.
05/06/2014
Primary Care
Primary Care
05/05/2014
To meet the demands of a growing pay-for-performance system, clinicians must assist patients to improve outcomes and participate in preventive activities, while decreasing costs and creating a...
05/05/2014
Pharmacology
Pharmacology
05/05/2014
Diana Galindo, MD, FACP, AGSF; Jerry O. Ciocon, MD, FACP, AGSF; Jorge Camilo Mora, MD
In this article, the authors provide insights on discussing supplements with patients to ensure they are used safely and only when appropriate.
05/05/2014
Shingles
Shingles
05/05/2014
Herpes zoster, also known as shingles, develops when the varicella zoster virus is reactivated in the dorsal ganglia and migrates to adjacent sensory dermatomes, causing a rash and pain.
05/05/2014
Sleep Apnea
Sleep Apnea
05/05/2014
Steven Milligan, MD; Olwaseun Oladiran, MD
This article will review the risk factors associated with OSA, introduce a good diagnostic tool for the disease, and the possible ensuing benefits of treating OSA in patients with concurrent metabolic...
05/05/2014
Top Papers of the Month
Top Papers of the Month
05/05/2014
Gregory W. Rutecki, MD
As primary care professionals, it is high time to frame and discuss the critical tension of prescribing painkillers further.
05/05/2014
stroke
stroke
05/05/2014
Stroke is the fourth leading cause of death in the United States and the leading cause of serious long-term adult disability.
05/05/2014