Volume 65 - Issue 6 - June 2025

Consultant

Photoclinic
Photoclinic
12/18/2025
Thomas Eggleston, BS
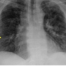
A 46-year-old man presented to the emergency department with shortness of breath, fluctuating blood pressure, tachycardia, and a mild fever ( 100℉).
12/18/2025
What's Your Diagnosis?
What's Your Diagnosis?
09/20/2025
Justin Lien, BS; Ananya Narasimhan, BS; Nicholas Basalous; Evan M. Masutani, MD, PhD; Mariam Fahim, DO
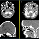
A 6-year-old boy with a past medical history of recurrent otitis media presented to an outpatient pediatrician for subacute new-onset headache and photophobia.
09/20/2025
Original Research
Original Research
09/13/2025
Ashley Matejka, DHA, MBA; Syed A.A. Rizvi, PhD, MBA; Bishoy Goubran, MD; Frank D. Finchem, PhD; Juan Oms MD, FAPA; Marcos A. Sanchez-Gonzalez, MD, PhD, MMed; Troy Grogan
This study aimed to develop and validate the Quality-of-Life Scale (Q-scale), a survey-based instrument for predicting patient health care overutilization (HO) by evaluating psychosocial, affective, and...
09/13/2025
Photo Essay
Photo Essay
06/23/2025
Alexander K.C. Leung, MD, MBBS, FRCPC, FRCP; Benjamin Barankin, MD, FRCPC; Joseph M. Lam, MD; Kin Fon Leong, MD
Diffuse cutaneous mastocytosis, a rare but potentially fatal form of cutaneous mastocytosis, accounts for approximately 1% to 5% of pediatric cutaneous mastocytosis cases
06/23/2025
What's the Take Home?
What's the Take Home?
06/18/2025
Ronald N. Rubin, MD
A 62-year-old right-handed woman presents with chronic right shoulder pain that she has been feeling for more than 1 year. The patient noted that her consistent, aching pain becomes more severe in certain...
06/18/2025