Volume 15 - Issue 4 - April 2016

Consultant for Pediatricians

Dermatologic disorders
Dermatologic disorders
12/28/2017
Paul Persad, MD
A 7-year-old boy presented with an intensely pruritic rash on the body.
12/28/2017
pityriasis lichenoides
pityriasis lichenoides
03/31/2016
Amanda W. Carter, MD; Clifton C. Lee, MD
A previously healthy 9-year-old boy presented to the emergency department with a rash of 1 month’s duration.
03/31/2016
Henoch-Schönlein purpura
Henoch-Schönlein purpura
03/30/2016
John Gray, BS; Michael Yafi, MD; Lynnette J. Mazur, MD, MPH; Holly Smith, MD
A 16-month-old African American girl presented to clinic with her parents for a routine checkup. Bilateral premature thelarche (Tanner stage 3) was present, but no other signs of secondary sexual...
03/30/2016
Henoch-Schönlein purpura
Henoch-Schönlein purpura
03/30/2016
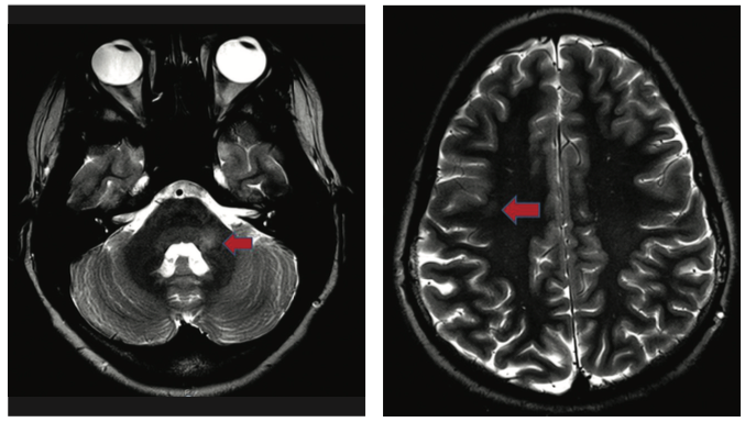
J. Nicholas Brenton, MD; Rachel Gagen, MD
A previously healthy 14-year-old girl presented with a history of subacute onset of double and blurred vision.
03/30/2016
Henoch-Schönlein purpura
Henoch-Schönlein purpura
03/30/2016

Kumara V. Nibhanipudi, MD, and Rachel Liu, MD

Kumara V. Nibhanipudi, MD, and Rachel...
A 2-year-old girl, accompanied by her mother and uncle, presented to the emergency department (ED) with the girl’s left index finger stuck in a medium-sized, square, manual pencil sharpener.
03/30/2016
Henoch-Schönlein purpura
Henoch-Schönlein purpura
03/30/2016
R. Steven Stefancic; Linda S. Nield, MD; Jay H. Meyer, MD
A 2-year-old girl presented with her mother to a general outpatient pediatric clinic with a 4-day history of a facial rash.
03/30/2016
Henoch-Schönlein purpura
Henoch-Schönlein purpura
03/30/2016
Stephanie Sisler, MD; Yemisi Jones, MD
A previously healthy 56-day-old girl presented with a 1-day history of brief episodes of breath holding and jaw and fist clenching.
03/30/2016
Henoch-Schönlein purpura
Henoch-Schönlein purpura
03/29/2016
Dustin Paul, DO; Ebony Beaudoin, MD; Yaxi Zeng, MD; Kristin Ernest, MD; Mark Jason Sanders, MD; Lynnette J. Mazur, MD, MPH
The prevalence of polydactyly of the toes is 1.7 per 1000 live births compared with polydactyly of the fingers, the prevalence of which is 0.3 per 1000 live births.
03/29/2016
Henoch-Schönlein purpura
Henoch-Schönlein purpura
03/29/2016
Nirav Shastri, MD
A 4-year-old boy presented to the emergency department after he began limping and developed swelling in his right hand the previous day.
03/29/2016
Dermatologic disorders
Dermatologic disorders
03/29/2016
Alexander K.C. Leung, MD, MBBS, FRCPC, FRCP; Benjamin Barankin, MD, FRCPC
A 17-year-old white adolescent boy presented with multiple asymptomatic pits on the palms and soles of approximately 5 to 6 years’ duration.
03/29/2016
pityriasis lichenoides
pityriasis lichenoides
03/29/2016
Jessica Tomaszewski, MD
Children are disproportionately affected by turtle-associated salmonellosis, not only through increased susceptibility but also through increased hand-to-mouth behaviors.
03/29/2016
Warts
Warts
03/29/2016
Spring is in the air. Perhaps more potently than any other seasonal transition, the passing from winter to spring is charged with great possibilities and the spirit of change. What better time to reveal the...
03/29/2016