Volume 14 - Issue 4 - April 2015

Consultant for Pediatricians

Psoriasis
Psoriasis
05/06/2015
Rogerio Faillace, MD; Elyse Julian, BS; Fawn Winkelman, DO; Miguel Villacorta, BS
A 5-year-old girl presented with a 3-week history of multiple discrete, pink, scaly plaques.
05/06/2015
caffey disease
caffey disease
05/06/2015
Benjamin C. Lee, MD
A healthy, 5-month-old girl presented with a 3-day history of bilateral leg pain and associated crying, particularly when her parents held her legs during diaper changes.
05/06/2015
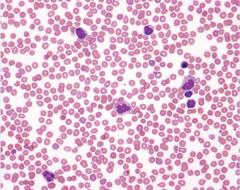
Leukemia
Leukemia
05/06/2015
Nisha Rathore, MD; Nayf Edrees, MD; Thomas Howard, MD; Matthew A. Kutny, MD; James Post, MD
A 3-day-old girl underwent a routine screening complete blood count, the results of which were significant for thrombocytopenia as evidenced by a platelet count of 29 × 103/µL.
05/06/2015
toxic shock
toxic shock
05/06/2015
Wendy Hoffner, MD; Nichole Rochester, MD
A 13-year-old girl with a history of asthma, chronic headaches, and recurrent vaginitis presented to the emergency department.
05/06/2015
heterotopia
heterotopia
05/06/2015
Adrienne G. DePorre, MD; Cary Sauer, MD; Alvin J. Freeman, MD
A 15-year-old, previously healthy girl presented to our emergency department (ED) with concern for decreased oral intake, cramping abdominal pain, and at least 10 episodes of nonbilious, nonbloody emesis. ...
05/06/2015
Photoclinic
Photoclinic
05/06/2015
Christine R. Totri, MD, MAS; Ncoza Dlova, MBChB; Anisa Mosam, MBChB, PhD; Nokubonga Khoza, MBChB
A 6-year-old girl presented with a 1-year history of verrucous papules on the lips and oral mucosa extending to the surrounding skin, consistent with HPV infection.
05/06/2015
snake
snake
05/06/2015
Ashley Morton, BS ; Joseph P. Peter, MD
The risk of significant morbidity and mortality is higher in children than in adults because of their smaller body size in relation to the dose of venom. In this article, we present 2 pediatric case reports...
05/06/2015
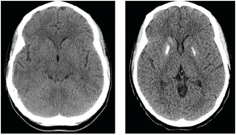
Systemic Lupus Erythematosus
Systemic Lupus Erythematosus
05/06/2015
Sharla Rent, MD; Katherine Forrester, MD; Marta King, MD
A 19-year-old African American young adult with systemic lupus erythematosus presented to the emergency department with acute agitation and altered mental status.
05/06/2015
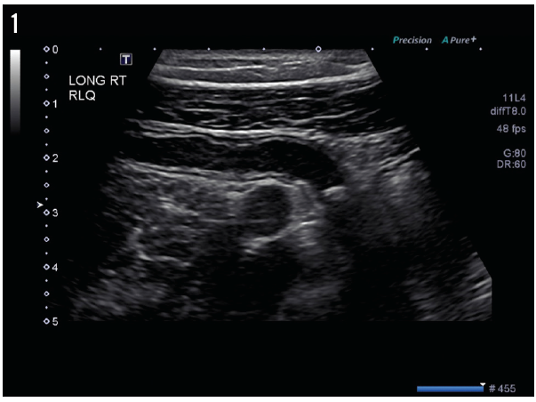
appendicitis
appendicitis
05/06/2015
Jeffrey W. Taub, MD; Muhammad Ubaidulhaq, MD; Samie Ullah Ahmed, MD
A 17-year-old African American boy with sickle cell disease was admitted to the emergency department with a 4-day history of sharp, stabbing abdominal pain and lower back pain.
05/06/2015
tonsillectomy
tonsillectomy
05/06/2015
Jessica Tomaszewski, MD
Pediatric post-tonsillectomy care guidelines generally focus on maintaining hydration and managing and assessing analgesia.
05/06/2015
alte
alte
05/06/2015
Tamika Rozema, MD; Lindsay Ragsdale, MD; Kimberly Northrip, MD, MPH
When she was 4 months old, a girl presented to her primary care pediatrician with a history of “passing out.”
05/06/2015
collodian baby
collodian baby
05/04/2015

Alexander K. C. Leung, MD—Series Editor, and Benjamin Barankin, MD

Alexander K. C. Leung, MD—Series Edit...
A boy was born to a 26-year-old, gravida 2, para 1 mother at 36 weeks’ gestation after an uncomplicated pregnancy. Cesarean delivery was performed because of fetal distress.
05/04/2015
Measles
Measles
05/04/2015
Amy L. Wrentmore, MD; Gregory F. Hayden, MD
In the pre-vaccine era, virtually every child developed measles. The U.S. birth rate in the immediate pre-vaccine era was more than 4 million per year, so on average, more than 10,000 new cases of measles...
05/04/2015
Eczema
Eczema
05/04/2015
Irene Murema, MD; Munira Rahman, DO
A 14-year-old African American girl with past medical history of asthma and a family history of eczema presented with a 3-month history of progressively worsening pruritic rash.
05/04/2015