Volume 14 - Issue 2 - February 2015

Consultant for Pediatricians

teething
teething
03/03/2015
Rini Sahewalla, MD
A girl was born at term with an uneventful prenatal and perinatal course. Her physical examination findings were normal except for the presence of 2 mandibular central incisor teeth.
03/03/2015
toxoplasmosis
toxoplasmosis
03/03/2015
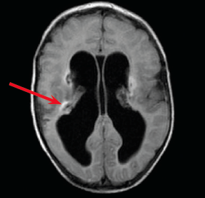
Anand Gourishankar, MD; Robert Lapus, MD
A 2-month-old boy had been doing well after birth until about 7 or 8 weeks of life. His parents felt that he was not smiling, and was only looking to the right.
03/03/2015
hematemesis
hematemesis
03/03/2015
Liza Karamessinis, MD; Catherine Wiley, MD
A 3-month-old boy presented to the pediatrician’s office following 2 episodes of brown emesis.
03/03/2015
osteomyelitis
osteomyelitis
03/03/2015
Joo Lee Song, MD; Emily Swant, MD
A 23-month-old Korean boy with no significant medical history presented to the pediatric emergency department (ED) after 5 of his bottom teeth fell out.
03/03/2015
Dermatologic disorders
Dermatologic disorders
03/03/2015
Adam Powell, MD
A 15-month-old girl presented to a pediatric clinic with leg-length discrepancy and a large hemangioma on her leg.
03/03/2015
Measles
Measles
03/03/2015
Extensive media reports about January’s measles outbreak that began at California’s Disneyland further underscore the need to urge parents to vaccinate their children to protect everyone against the...
03/03/2015
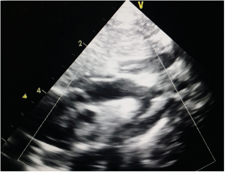
coarctation
coarctation
02/26/2015
Sheela Madipelli, MD
The authors describe the case of a newborn who was completely asymptomatic, with normal results on CHD screening tests, normal femoral pulses, and normal perfusion, but with a significant systolic murmur. ...
02/26/2015
Case In Point
Case In Point
02/26/2015
Sarah Zader; Jamie Librizzi, MD; Kavita Parikh, MD
A 4-year-old, unimmunized African American girl presented with crampy abdominal pain, intermittent bloody diarrhea, occasional nighttime fever, decreased appetite, and a 4.5-kg weight loss over a 4-month...
02/26/2015
Fractures
Fractures
02/26/2015
Suzanne M. Condron, MD
A 14-year-old girl presented to her pediatrician with a 1-day history of severe bilateral wrist pain. The patient, a runner and former gymnast, reported that on the day before, she had been weightlifting in...
02/26/2015
Granuloma Annulare
Granuloma Annulare
02/26/2015

Alexander K. C. Leung, MD—Series Editor, and Benjamin Barankin, MD

Alexander K. C. Leung, MD—Series Edit...
A 15-year-old boy presented with asymptomatic, erythematous papules and plaques with an annular pattern on the legs.
02/26/2015
poison control
poison control
02/26/2015
Jessica Tomaszewski, MD
Laundry detergent pods entered the U.S. consumer market in 2012, although they have been available in Europe since 2001. Their bright colors and small size make them attractive to toddlers, who may ingest...
02/26/2015
acne
acne
02/26/2015

Alexander K. C. Leung, MD; Benjamin Barankin, MD; and Kam-Lun Ellis Hon, MD

Alexander K. C. Leung, MD; Benjamin B...
Understanding the epidemiology, pathogenesis, clinical presentation, and complications of acne vulgaris helps guide appropriate treatment to offer the best cosmesis and minimize scarring.
02/26/2015
environmental exposure
environmental exposure
02/26/2015
Sarah R. Boggs, MD
A 7-year old boy presented with a 1-day history of a bruise-like discoloration of the soles of both feet.
02/26/2015