Volume 14 - Issue 11 - November 2015

Consultant for Pediatricians

08/01/2018
A 2-year-old girl presented with a 1-day history of high-grade fever, cough, and rhinorrhea. She was lethargic and had decreased oral intake. She had no sick contacts or choking episodes.
08/01/2018
Streptococcus
Streptococcus
12/23/2015
Pisespong Patamasucon, MD; Felicia Lam, MD, MPH
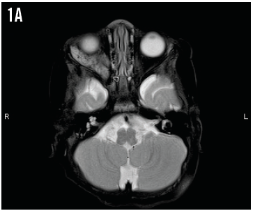
A 15-year-old girl presented with a 2-week history of a mass on the left side of her neck.
12/23/2015
Infectious Disease
Infectious Disease
11/30/2015
Roberto P. Santos, MD; Monica Liao Chang, MD; Maria Kristina Subik, MD
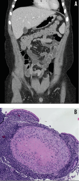
A previously healthy 11-year-old boy presented with a 6-week history of fever and abdominal pain with alternating diarrhea and constipation. He had no sick contacts, recent travel history, or household...
11/30/2015
Photoclinic
Photoclinic
11/30/2015
Kumara V. Nibhanipudi, MD, FAAP; Samrina Kahlon, MD; Genovese Khongun, MD
A previously well, 26-day-old girl presented to the pediatric emergency department with a history of inconsolable crying for 8 hours.
11/30/2015
Nutrition
Nutrition
11/30/2015
Laura Rosas, BBA, MD; Kyle Hocquard, BS; Lynnette J. Mazur, MD, MPH
A 12-year-old boy presented with a chief concern of a small left testicle. His past medical history was significant for a left-sided undescended testicle and orchiopexy at age 4.
11/30/2015
Nutrition
Nutrition
11/30/2015
Olumide Oyefeso, MD; Oladiji Vaughan, MD
A 2-month-old girl who had been born at term and who had no past medical history presented to the emergency department (ED) with a hair tourniquet and suspected infection on her right second, third, and...
11/30/2015
Nutrition
Nutrition
11/30/2015
Pavan Bang, MBBS
A 5-month-old girl was noted to have skin lesions on her right ear. A few of the lesions had been present at birth, and others had been noted later.
11/30/2015
Nutrition
Nutrition
11/30/2015
Yuji Koike, MD, PhD
A previously healthy 11-month-old boy presented to our hospital with a steam burn from a rice cooker on his 4 right fingers and part of the ventral palm.
11/30/2015
Arthritis
Arthritis
11/23/2015
Susan Lamb, MD; Michelle Clayton, MD; Suzanne Starling, MD
A 12-year-old boy was evaluated in the pediatric emergency department for a “rash” on the right side of his body.
11/23/2015
Arthritis
Arthritis
11/23/2015
Jessica Tomaszewski, MD
It is apparent that disruption of the human microbiome can play a role in the development of chronic pediatric diseases such as inflammatory bowel disease and juvenile idiopathic arthritis.
11/23/2015
pityriasis rosea
pityriasis rosea
11/23/2015

Alexander K. C. Leung, MD—Series Editor, and Benjamin Barankin, MD

Alexander K. C. Leung, MD—Series Edit...
A 17-year-old presented with an asymptomatic salmon-pink patch on her abdomen.
11/23/2015
Hemangioma
Hemangioma
11/23/2015
Wang Li, MD, PhD; Bhargavi B. Kola, MD, MPA; Bhavana Y. Mocherla, MD; George Rodenko, MD
At a well-baby visit, an infant's mother mentioned that she had noticed a prominent, clear discharge from the girl’s right eye for the preceding 2 weeks.
11/23/2015
Pediatrics
Pediatrics
11/23/2015
John A. Kohler, Sr., MD
Attempting to fully understand the mechanisms that are in place to pay for pediatric health care services can be daunting.
11/23/2015
acute hemorrhagic edema
acute hemorrhagic edema
11/23/2015
Jessica Anderson, MD; Peyton Wilson, MD; Stephen Leinenweber, MD; Karen Chilton, MD; Jacob Lohr, MD
A 9-month-old, full-term, previously healthy boy presented to the emergency department with acute onset of a purpuric rash and peripheral edema.
11/23/2015
Antibiotic Resistance
Antibiotic Resistance
11/23/2015
Reader reaction and timely answers from experts focused on congenital syphilis and The Case of the Ingested Toothbrush.
11/23/2015