Pulmonary Embolism

Disease State Hub

From the Journal

What's The Take Home?
What's The Take Home?
10/02/2024
Ronald N. Rubin, MD
In part 1 of this 2-part series, Dr Rubin details the case of a 54-year-old woman who presents with a new report of shortness of breath for the last several days. The shortness of breath presented...
10/02/2024
What's The Take Home?
What's The Take Home?
01/07/2024
Ronald N. Rubin, MD
In part 2 of this 2-part series, Dr Rubin details the case of a 54-year-old woman who presents with a new report of shortness of breath for the last several days. As noted in part 1, the data collected from...
01/07/2024
Photoclinic
Photoclinic
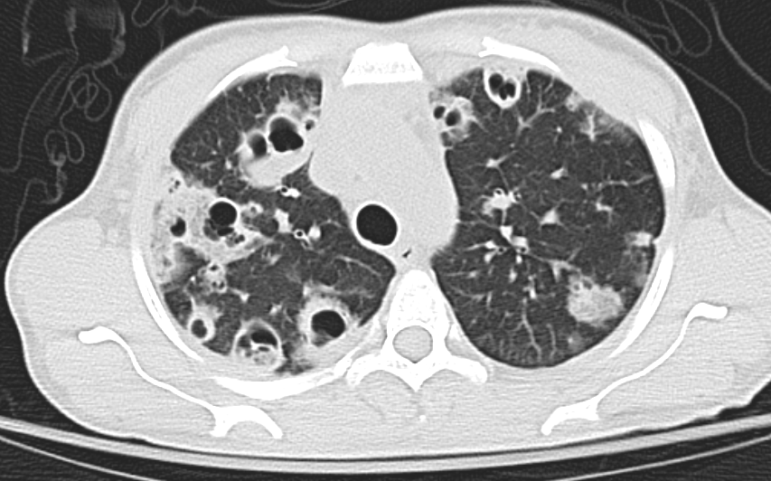
04/20/2022
A 34-year-old man presented to the emergency department with a nonproductive cough and progressive dyspnea on exertion over the course of a week.
04/20/2022
Photo Quiz
Photo Quiz
07/07/2021
A 39-year-old woman presented to the emergency department with generalized weakness, fevers, and a productive cough over the past 3 days.
07/07/2021
Case In Point
Case In Point
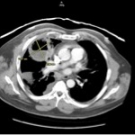
05/12/2021
A 76-year-old man presented with cardiac arrest due to massive pulmonary embolism. The patient was stabilized after successful catheter-directed thrombectomy followed by catheter-based thrombolysis.
05/12/2021
Photoclinic
Photoclinic
08/05/2020
A 31-year-old man presented to the emergency department (ED) with a chief concern of fevers and diarrhea for 3 weeks.
08/05/2020
Photoclinic
Photoclinic
02/11/2020
A 39-year-old woman presented to the emergency department with generalized weakness, fevers, and a productive cough over the past 3 days. Her medical history was significant for intravenous drug use, MRSA...
02/11/2020
Photoclinic
Photoclinic
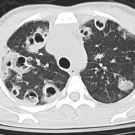
11/09/2019
A 49-year-old man presented to the emergency department for a chronic cough with intermittent hemoptysis, fever, and flank pain. He denied any history of tuberculosis exposure or smoking.
11/09/2019
Pulmonary embolism
Pulmonary embolism
07/21/2016
Felicia Fojas, MD; Tej Phatak, MD, MBA; Rowan Walsh, MD; Meena Kalyanaraman, MD
A previously healthy 17-year-old boy presented to the ED with a 1-day history of chest pain.
07/21/2016