Volume 57 - Issue 10 - October 2017

Consultant

Photo Essay
Photo Essay
10/05/2021
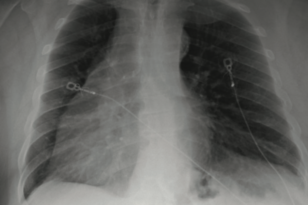
This article collects 3 photo-based case reports about conditions affecting the lungs, including large pulmonary embolus with unilateral hyperlucent lung, atelectasis, and Streptococcus pneumoniae...
10/05/2021
Photoclinic
Photoclinic
10/26/2020
Theresa M. Smith, MSN, FNP-BC, CRNP; Kathy P. McGovern, MSN, FNP-BC, CRNP
An otherwise healthy 20-year-old Asian American woman presented to a university health clinic with painful, pruritic breasts.
10/26/2020
Photoclinic
Photoclinic
02/06/2020
Vinh-Quang Do Nguyen, DO; Raghujit Singh, MD
A 72-year-old woman with a history of hypertension, type 2 diabetes mellitus, degenerative joint disease, and gastroesophageal reflux disease.
02/06/2020
Gastrointestinal Disorders
Gastrointestinal Disorders
09/21/2019
Clostridium difficile is an anaerobic spore-forming bacterium. C difficile infection (CDI) is recognized as the leading cause of nosocomial diarrhea and is associated with substantial morbidity and...
09/21/2019
Photoclinic
Photoclinic
09/17/2019
Bob Ly, DO; Jhoanna Santos, MD
A 53-year-old man presented with worsening weakness and exertional dyspnea over a period of 1 week.
09/17/2019
Case In Point
Case In Point
08/17/2019
Sithu Lin, MD; Kyawzaw Lin, MD; Aung Naing Lin, MD; Thinzar Lin, MD; Anjali Bakshi, MD
A 61-year-old woman with distant history of latent tuberculosis that had been treated with isoniazid a decade ago presented with a 1-week history of intermittent low-grade fever with associated nausea,...
08/17/2019
Feature
Feature
07/17/2019
Kimberly Simers, MHA; Alison Cleary, MSN; James Matera, DO
Health coaching can be used successfully in various aspects of medical care, including the treatment of hypertension. This article reviews some of the findings from a New Jersey–based community medical...
07/17/2019
What's the Take Home?
What's the Take Home?
12/17/2018
Ronald N. Rubin, MD
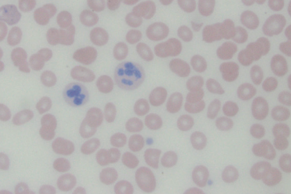
A 57-year-old woman recently had a complete blood cell count, the results of which returned with an abnormal platelet count.
12/17/2018
What's Your Diagnosis?
What's Your Diagnosis?
10/22/2017
Benjamin Barankin, MD, FRCPC; Alexander K.C. Leung, MD, MBBS, FRCPC, FRCP
Dermatofibrosarcoma protuberans is the most common dermal sarcoma, accounting for approximately 18% of cutaneous soft-tissue sarcomas.
10/22/2017
Photo Quiz
Photo Quiz
10/15/2017
Andrew J. Holte; Eiyu Matsumoto, MB; Jennifer R. Carlson, PA-C; Sarah L. Miller, MD; Marthe N. Dika, MD; Nkanyezi N. Ferguson, MD
A previously healthy 38-year-old farmer presented to the emergency department (ED) with a lesion on his left thumb.
10/15/2017
Feature
Feature
10/13/2017
The World Allergy Organization (WAO) has published a consensus definition of anaphylaxis as being “a severe life-threatening generalized or systemic hypersensitivity reaction.
10/13/2017
Feature
Feature
10/13/2017
The World Allergy Organization (WAO) has published a consensus definition of anaphylaxis as being “a severe life-threatening generalized or systemic hypersensitivity reaction.
10/13/2017
Feature
Feature
10/13/2017
The World Allergy Organization (WAO) has published a consensus definition of anaphylaxis as being “a severe life-threatening generalized or systemic hypersensitivity reaction.
10/13/2017
Photoclinic
Photoclinic
10/06/2017
Ursula C. Brewster, MD
An 87-year-old man presented with a gradual onset of increased abdominal girth of 1 year’s duration. He reported that the associated symptoms had progressed to constant abdominal pain, fatigue, and...
10/06/2017
Photo Essay
Photo Essay
10/03/2017
This photo essay includes a collection of case reports involving conditions relating to cardiometabolic disease.
10/03/2017
Editorial
Editorial
10/03/2017
It has become critically important to fight cardiometabolic disorders with existing clinical strategies and medications.
10/03/2017
Photoclinic
Photoclinic
10/02/2017
Benjamin Barankin, MD, FRCPC; Alexander K.C. Leung, MD, MBBS, FRCPC, FRCP
A 62-year-old man presented with a raised asymptomatic growth on his upper back.
10/02/2017