Volume 56 - Issue 7 - July 2016

Consultant

What's the Take Home?
What's the Take Home?
03/09/2021
Ronald N. Rubin, MD
A 66-year-old man was brought from home by his family out of concern for his altered mental status and abnormal breathing.
03/09/2021
Radiology Quiz
Radiology Quiz
06/22/2020
Ricky Kortyna, MMS, PA-C; Emily Murphy, MPAS, PA-C
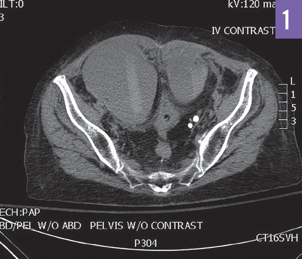
A 36-year-old woman was seen in the emergency department secondary to the acute onset of right lower-quadrant pain.
06/22/2020
03/14/2018
Alexander K.C. Leung, MD, MBBS, FRCPC, FRCP; Benjamin Barankin, MD, FRCPC
A 30-year-old man presented with a 15-year history of numerous, asymptomatic, skin-colored lesions on the abdomen.
03/14/2018
Peer Reviewed
Peer Reviewed
06/22/2017
Michael P. Savage, MD, CVT; Gregary D. Marhefka, MD; Andrew W. Panakos, MD
During cupping, air is heated briefly inside a glass cup, which is then placed onto the skin
06/22/2017
08/04/2016
Prathyusha M. Chitrapu, MD; Bernard M. Karnath, MD; Niloofar Yari, MD
A 50-year-old man presented with several days of mild fatigue and lack of energy.
08/04/2016
08/04/2016
R. Scott Thomas, DO; Cory Maughan, DO; John Young, MD; Angela Bohlke, MD
An 84-year-old woman presented with worsening pain and burning of the skin on her neck and torso that had begun several months prior.
08/04/2016
07/14/2016
David L. Kaplan, MD
This 57-year-old woman presented with a bilateral inguinal rash of 3 months’ duration. It extended onto the anterior thigh, and she described it as both itchy and tender.
07/14/2016
Photoclinic
Photoclinic
07/06/2016
John Chin, MD, MBChB
A 20-year-old otherwise healthy US Navy midshipman experienced an acute pruritic eruption over both arms 6 hours into a submarine cruise.
07/06/2016
07/06/2016
David L. Kaplan, MD
This 54-year-old woman presented for evaluation of chronic dermatitis on her hand of several years duration that had appeared on and off.
07/06/2016
07/05/2016
Suresh Mamidala, MD; Albana B. Mihali, MD; Rishi Bajaj, MD
An 89-year-old woman presented with chief concern of nausea with episodic, progressive, crampy lower abdominal pain.
07/05/2016
07/05/2016
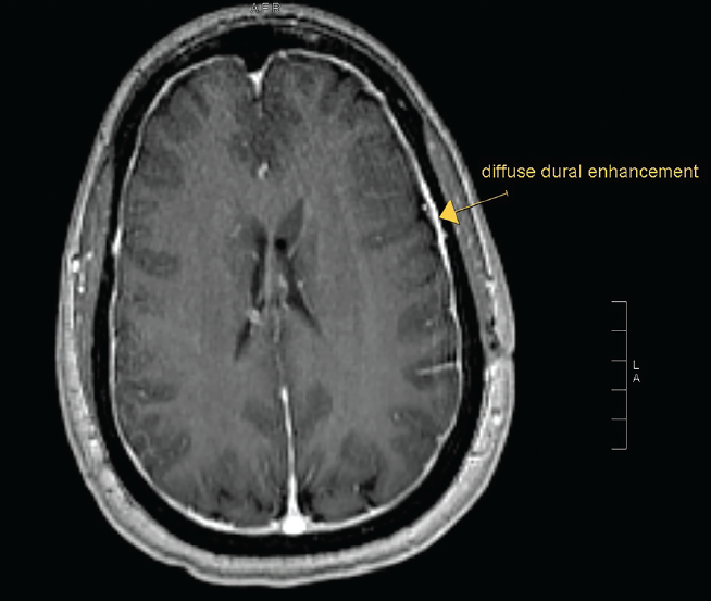
Emily Maxwell; Jason Ramirez, MD; Richard Chang, MD
A 39-year-old woman with a past medical history of idiopathic intracranial hypertension (IIH) presented with worsening headache, nausea, vomiting, and blurry vision.
07/05/2016
Pharmacology
Pharmacology
07/05/2016
Eric A. Dietrich, PharmD, BCPS; Kyle Davis, PharmD, BCPS
In last issue’s column, we discussed the case of JG, a patient with newly diagnosed hypertension (HTN).
07/05/2016
07/05/2016
This Photo Essay features a collection of 3 photo-based cases of conditions related to autoimmunity, including granulomatosis with polyangiitis.
07/05/2016
07/05/2016

Alexander K. C. Leung, MD; Benjamin Barankin, MD; and Alex Wong, MD

Alexander K. C. Leung, MD; Benjamin B...
A 66-year-old woman presented with a 4-month history of severe pruritus in the scalp and a sensation of insects crawling out of her head onto...
07/05/2016
07/05/2016
Davinder Chandhoke, MD; Vincent Peyko, PharmD, BCPS; Rajat Mukherji, MD; Orlando Carpio, MD; Min Qiao, MD; Shuhua Song, MD
A 77-year-old woman was admitted to the hospital from a nursing home with sepsis and hypotension.
07/05/2016
Orthopedics
Orthopedics
07/05/2016
David L. Kaplan, MD
Dematiaceous fungi generally are found in soil or associated with plants and are distributed worldwide.
07/05/2016
Heart Failure
Heart Failure
07/05/2016
Gregory W. Rutecki, MD
I will preface this missive with some facts. Summer 2016 will be the 42-year anniversary of my medical school graduation.
07/05/2016
Review Article
Review Article
07/05/2016
Abdul Ahad Qazizada, MD
This article reviews the mechanism and efficacy of electroconvulsive therapy (ECT) for patients with mental illnesses and the medical management of patients with underlying conditions for whom ECT is being...
07/05/2016
Review Article
Review Article
07/05/2016
Albert Wright, MD; Nickul N. Shah, MD; Roland Purcell, MD; Albert Cooper, MD; David Roman, RPAC
A 22-year-old African American woman presented to a community hospital emergency department with diffuse, sharp abdominal pain at the right lower quadrant, associated with nausea and poor appetite. She had...
07/05/2016
Review Article
Review Article
07/05/2016
Edward Shahady, MD
This article reviews the different expert guidelines for controlling hemoglobin A1c, LDL cholesterol, and blood pressure in patients with diabetes and offers suggestions for sorting out the confusion.
07/05/2016
Nutrition
Nutrition
07/05/2016
Diet, exercise, and sleep are the cornerstones of healthy living.
07/05/2016