Volume 56 - Issue 4 - April 2016

Consultant

Diabetes
Diabetes
03/25/2017
Kim A. Carmichael, MD, FACP
This Diabetes Q&A discusses basic history elements of an office visit for patients with diabetes.
03/25/2017
05/26/2016
Here are 3 case reports related to pain-associated disorders.
05/26/2016
05/26/2016
Christopher Kolker, MD
Narcotic use and addiction have become one of the major health concerns of the 21st century in the United States.
05/26/2016
05/26/2016
You and your clinician colleagues in primary care have no difficulty recognizing pain when your patients present with it.
05/26/2016
Infectious Diseases
Infectious Diseases
04/14/2016
Debbie Moulavi, MS, WOCN, MSN, NP-C; Thomas Slaughter, PharmD; Tabassum Merchant, MSN, NP-C
The objective of this study was to assess the effectiveness of treating bacterial load in a wound using topical, compounded, prescription antibiotics.
04/14/2016
04/11/2016
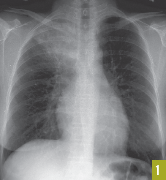
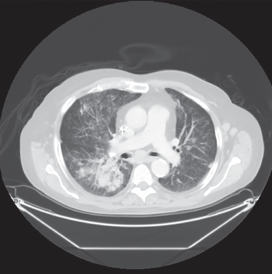
Meghana Halkar, MD; W.H. Wilson Tang, MD; Chadi Alraies, MD; Suzanne R. Lutton, MD; Martin N. Wiseman, MD
A 42-year-old man with no prior cardiac history presented to the emergency department after experiencing a syncopal episode a few hours after a 20-minute run.
04/11/2016
Neuromyelitis Optica Spectrum Disorder
Neuromyelitis Optica Spectrum Disorder
04/11/2016
James J. Contestable, MD; Farhan I. Kashem; Sean M.S. Wade, MD
A 75-year-old woman presented to the emergency department with a 5-day history of urinary retention, lower extremity numbness, and profound lower extremity weakness.
04/11/2016
04/11/2016
Benjamin Barankin, MD, FRCPC; Alexander K.C. Leung, MD, MBBS, FRCPC, FRCP
An 18-year-old young man presented with multiple asymptomatic papules on his penis that had first been noted 5 years ago.
04/11/2016
04/11/2016
Douglas Bishop, MD; Christopher Isley, MS-IV
A 41-year-old construction worker from Honduras presented to his family physician with a 1-month history of hyperpigmentation on his face and neck, associated with mild pruritus.
04/11/2016
04/11/2016
Joe R. Monroe, PA-C, MPAS, PA
A 23-year-old woman presented with questions about the papules present on both her areolae, which had become more prominent after a recent pregnancy.
04/11/2016
Radiology Quiz
Radiology Quiz
04/11/2016
Rayhan Lal, MD; Cynthia H. Ho, MD; Daniel Edberg, MD
A 16-year-old boy presented to the emergency department with 2 weeks of worsening lower abdominal pain.
04/11/2016
04/11/2016
Ronald N. Rubin, MD
A 73-year-old man was brought to an urgent care center by his family. He lived alone in a small apartment and was able to care for himself and manage his financial and other affairs.
04/11/2016
04/11/2016
Matthew Tayon; Carlos A. Arango, MD
An 8-year-old girl presented with a protracted history of a burning sensation and excessive wrinkling of her hands for the past few months.
04/11/2016
04/11/2016
Eric A. Dietrich, PharmD, BCPS; Kyle Davis, PharmD, BCPS
In our previous column, we discussed the importance of properly estimating renal function when determining medication dosing, particularly in elderly patients.
04/11/2016
04/11/2016
Gregory W. Rutecki, MD
I do not think I have reviewed a Top Paper from the “History of Medicine” feature in the Annals of Internal Medicine before, but here we go.
04/11/2016
04/11/2016
Benjamin Barankin, MD, FRCPC; Alexander K.C. Leung, MD, MBBS, FRCPC, FRCP
A 60-year-old woman presented with a nodule on her right antihelix.
04/11/2016
Peer Reviewed
Peer Reviewed
04/11/2016
Syed A.A. Rizvi, PhD, MBA; Sultan S. Ahmed, MD; Ayman M. Saleh, PhD; Jasmin Ahmed, BS, MS, MD; Rudy Lacosse, PA-C; April S. Brown, PharmD
Bell palsy is one of the most common forms of facial paralysis affecting the seventh cranial nerve (facial nerve).
04/11/2016
04/11/2016
This Photo Essay features a collection of 5 photo-based cases of conditions affecting the hands and feet.
04/11/2016
04/11/2016
Salim Hommeida, MD; Michael Ishitani, MD; Imad Absah, MD
Constipation is a common gastrointestinal complaint among children, with an estimated worldwide prevalence of 0.7% to 29.6% in the pediatric population.
04/11/2016
04/11/2016
David L. Kaplan, MD
This 50-year-old woman presented with a 2-day history of a tender rash from head to toes.
04/11/2016
04/11/2016
David L. Kaplan, MD
This 15-year-old boy presented with a new asymptomatic eruption of annular rings sparsely scattered over the trunk and thighs.
04/11/2016
04/11/2016
David L. Kaplan, MD
This 37-year-old woman presented at week 29 of her third pregnancy with a slightly pruritic rash on her trunk and proximal extremities of 1 week’s duration.
04/11/2016
Chronic Lymphocytic Leukemia
Chronic Lymphocytic Leukemia
04/08/2016
Jamie M.S. Mulrow; Samuel L. Gurevitz, PharmD; Christopher Roman, MA, MMS, PA-C; Anna Takala
A 77-year-old man who had been undergoing chemotherapy for chronic lymphocytic leukemia (CLL) was admitted to the hospital for a 2-week...
04/08/2016
Cardiometabolic Risk
Cardiometabolic Risk
04/08/2016
Michael J. Bloch, MD; B. Alan Bottenberg, DO
Recently, therapy to reduce PCSK9 activity has been approved for use in those with cardiovascular disease who require additional LDL-C lowering despite the use of maximally tolerated statins.
04/08/2016
Review Article
Review Article
04/08/2016
Angelo Tremblay, PhD; Pamela R. Kushner, MD
Recent nutritional surveys in the United States and Canada have shown that many North Americans are not consuming the recommended levels of many micronutrients from dietary intake alone.
04/08/2016
04/08/2016
Richard Colgan, MD
Patients want their health care providers to be polite and civil as well as competent.
04/08/2016
Cardiometabolic Risk
Cardiometabolic Risk
04/08/2016
Despite all we know about the mechanism, risk factors, and treatment of cardiovascular disease (CVD), it still ranks among the top killers of people in the United States and around the world.
04/08/2016