Volume 53 - Issue 8 - August 2013

Consultant

01/09/2017
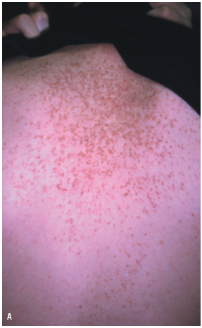
A 13-year-old boy presents for evaluation and treatment of what he believes to be acne.
01/09/2017
Dermatology disorders
Dermatology disorders
08/28/2013
Sonia Arunabh Talwar, MD; Sonu Sahni, MD; Sameer Verma, MD
Periorbital subcutaneous calcification in a patient with diffuse systemic sclerosis.
08/28/2013
08/28/2013
Hani Raoul Khouzam, MD, MPH
The purpose of this article is to introduce primary care clinicians to the history, epidemiology, biological causes, and psychosocial complications of PTSD to review the diagnostic evaluation and the...
08/28/2013
Ophthalmology
Ophthalmology
08/28/2013
A collection of cases and photos representing ocular disorders, including corneal abrasions, retinal detachment, and neuroretinitis.
08/28/2013
08/28/2013
Sarab Sodhi
How do I know that he likely didn’t spare a second thought on the patient who just died on the ER table in front of him? Because as a medical student myself, I never did.
08/28/2013
cardiovascular disease
cardiovascular disease
08/28/2013
Aaron B. Schoenkerman, MD; Nora Goldschlager, MD, FACP, FACC, FAHA, FHRS
Acute chest pain accounts for many presentations and subsequent admissions to the hospital each year.
08/28/2013
Dermatology disorders
Dermatology disorders
08/28/2013
David L. Kaplan, MD
A 42-year-old woman presents with an acute pruritic eruption that began 2 days earlier on her face, trunk, and extremities.
08/28/2013
Dermatology disorders
Dermatology disorders
08/28/2013
David L. Kaplan, MD
A 40-year-old woman has had an asymptomatic red rash on her feet and ankles for about 3 months.
08/28/2013
Dermatology disorders
Dermatology disorders
08/28/2013
David L. Kaplan, MD
For several weeks, a 68-year-old man has had painful blisters on his hands that crusted as they healed.
08/28/2013
Dermatology disorders
Dermatology disorders
08/28/2013
Joe R. Monroe, PA-C, MPAS, PA
A 60-year-old man presented with a pruritic rash on the chest and abdomen that had developed over a week in the summer, after a spate of yard work.
08/28/2013
Dermatology disorders
Dermatology disorders
08/28/2013
Joe R. Monroe, PA-C, MPAS, PA
The purpura on the eyelids of this 81-year-old woman proved to be caused by amyloidosis.
08/28/2013
Dermatology disorders
Dermatology disorders
08/28/2013
Robert P. Blereau, MD
For 10 years, a 45-year-old man had a recurrent nonpruritic rash on his upper outer arms and lateral trunk.
08/28/2013
08/28/2013
Ronald N. Rubin, MD
An 80-year-old woman is brought to the office because her daughter thinks she has not been displaying her usual “vim, vigor, and energy” in recent months
08/28/2013
cardiovascular disease
cardiovascular disease
08/28/2013
Dean G. Gianakos, MD, FACP; Peter A. H. Gibbs, DO, MS; Chad A. Hoyt, MD, FACC, FACP
A 45-year-old premenopausal Caucasian woman with no coronary risk factors presented to a rural community hospital complaining of substernal, burning chest pain. EKG on arrival demonstrated ST elevation in...
08/28/2013
Neurological disorders
Neurological disorders
08/28/2013
For patients with diabetes, peripheral neuropathy is one of the most debilitating complications. Patients experience losses in sensation, balance, and walking ability, and they are at greater risk for foot...
08/28/2013
Neurological disorders
Neurological disorders
08/28/2013
For patients with diabetes, peripheral neuropathy is one of the most debilitating complications. Patients experience losses in sensation, balance, and walking ability, and they are at greater risk for foot...
08/28/2013
Neurological disorders
Neurological disorders
08/28/2013
For patients with diabetes, peripheral neuropathy is one of the most debilitating complications. Patients experience losses in sensation, balance, and walking ability, and they are at greater risk for foot...
08/28/2013
Dermatology disorders
Dermatology disorders
08/28/2013
Robert P. Blereau, MD
This asymptomatic lesion has been present on the upper lip of a 41-year-old man for over a year. He works outdoors and has had extensive sun exposure.
08/28/2013
07/17/2013
Richard Colgan, MD
Moses Maimonides was perhaps the most famous Jewish physician in medieval times.
07/17/2013