Is This Acne - Or Something Else?
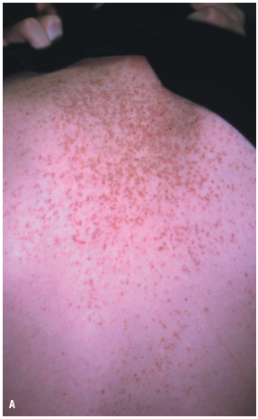
A 13-year-old boy presents for evaluation and treatment of what he believes to be acne. The condition has been present for several months and has flared recently.
What does this look like to you?
A. Acne.
B. Bacterial folliculitis, such as from Staphylococcus.
C. Yeast folliculitis, such as from Pityrosporum.
D. Darier-White disease.
E. Acanthosis nigricans

(Answer on next page)
Answer: Darier-White disease
The boy has Darier-White disease (keratosis follicularis), D, an autosomal dominant disorder characterized by rough, scaling papules on the face, trunk, and flexural surfaces. Biopsy is generally indicated to make the diagnosis. Onset usually occurs in childhood with slow, steady progression over a lifetime. The condition is treated with oral or topical retinoids.
Because the lesions are not follicular, acne and folliculitis can be ruled out. Acanthosis nigricans is typically more diffuse and is confined initially to flexural surfaces. The texture is usually not rough, and there is generally no scale.
