Volume 51 - Issue 8 - August 2011

Consultant

08/08/2011
David L. Kaplan, MD
<p>A 44-year-old woman presents with slightly pruritic, purplish papules near the elbows and shins of several weeks’ duration. She has no history of trauma and takes no...
08/08/2011
08/08/2011
David L. Kaplan, MD
<p>Fifteen years after his last outbreak of acne, a 38-year-old man notices an acne-like eruption on his face. The asymptomatic rash appeared 3 days earlier. Last month, the patient had poison ivy...
08/08/2011
08/08/2011
David L. Kaplan, MD
<p>The mother of a 6-year-old girl is concerned about the enlarging bump on her daughter’s chin. The slightly itchy lesion first appeared as a “pimple” 1 week earlier.</p><p>Do you...
08/08/2011
Hair Loss
Hair Loss
08/08/2011
David L. Kaplan, MD
<p>For several months, a 70-year-old man has experienced patchy hair loss and mild itching on the top of his scalp. Over-the-counter shampoos containing tar or zinc have not been effective....
08/08/2011
What's Your Diagnosis?
What's Your Diagnosis?
08/08/2011
Siobhan Ma, MD; Patrick T.S. Ma, MD; Alexander K.C. Leung, MD, MBBS, FRCPC, FRCP; Alexander A.C. Leung, MD
A 50-year-old woman has a 6-month history of severe generalized itchiness and fatigability. There is no associated fever, abdominal pain, or joint pain.
08/08/2011
08/08/2011
Ronald N. Rubin, MD
<p>For several days, a previously healthy 12-year-old girl has had a sore throat. She was given acetaminophen, which provided minimal relief. During the past 24 hours, she has been coughing because of...
08/08/2011
08/08/2011
D. Brady Pregerson, MD
<p>Rather than relying on a gag or a wide-mouthed cry after otoscopy to examine a very young child’s posterior pharynx, consider a happier alternative. Ask the parents if they can make their...
08/08/2011
08/08/2011
Anthony Titus, MD
<p>To irrigate a contaminated wound quickly, punch 3 holes in the lid of a 500-mL container of normal saline with a 14- or 16-gauge sterile needle. </p>
08/08/2011
08/08/2011
Joan R. Shepherd, NP
<p><span style="color: #888888;"><span style="color: #000000;">Patients want and need information about diet. I recommend that they “shop the...
08/08/2011
08/08/2011
William J. Sciales, MD
<p>I have found that the best agent <span>for removing blood from clothing is hydrogen peroxide. </span></p>
08/08/2011
Interactive Features
Interactive Features
08/08/2011
Four patients with very different problems, all have one thing in common: an increased risk of osteoporosis as a result of long-term treatment with glucocorticoids.
08/08/2011
08/08/2011
<p>I offer the following hypothetical scenario: A patient who is taking dabigatran is referred to the hospital for emergent surgery. The surgeon wants to know whether he can operate. Is there any...
08/08/2011
08/08/2011
Gregory W. Rutecki, MD
<p>It would be a mistake to minimize the syndrome of obstructive sleep apnea (OSA). It should not be characterized merely as obesity, a large neck, snoring, and daytime sleepiness; rather, it is a...
08/08/2011
08/08/2011
Gregory W. Rutecki, MD
<p>A cursory search of “bedbugs” on PubMed and “Emerging Infectious Diseases” (from the CDC) resulted in 437 and 386 “hits,” respectively. Now here is a super bug to contend with!...
08/08/2011
Case In Point
Case In Point
08/03/2011
Curtis W. Turner, MD; Kavita Bapat, MD; Osvaldo Regueira, MD; Samer H.A. Zaid Kaylani, MD
<p>A 13-year-old girl with intermittent episodes of bruising was referred to our hematology clinic after several visits to her private physician. The bruises appeared suddenly on her...
08/03/2011
08/03/2011
Ibrahim M. Elali, MD; Jose C. Missri
<p>The acute onset of substernal chest pain during vigorous exercise prompted a 70-year-old woman to seek emergency medical attention. She reported chest pressure, left arm numbness, shortness of...
08/03/2011
08/03/2011
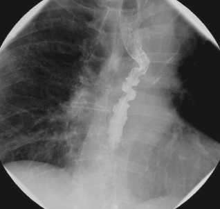
Mrugesh Patel, MD; Mario J. Madruga, MD
<p>An 80-year-old woman presented with difficulty in swallowing, which had gradually worsened over 4 weeks. She complained that food was getting stuck and that she frequently had to sit upright to be...
08/03/2011
08/03/2011
Leonid Skorin, Jr., DO, MS, OD
<p>One month after successful cataract surgery, an 80-year-old man with moderate dementia was brought in for examination. He had recently been fitted with a new hearing aid.</p><p>His wife...
08/03/2011
08/03/2011
Gregory W. Rutecki, MD
<p>A critique of the movie <em>Barbershop</em> was right on target. Calvin, the African American protagonist in the film, learns that the Chicago barbershop he has...
08/03/2011
08/03/2011
Renate G. Justin, MD
<p>His parents, professors at the local university, came to see me repeatedly. Their son, John, age 17, a gifted student, had been suspended from high school because of drug abuse. He was not...
08/03/2011
08/03/2011
Warren Heffron, MD; Christopher Jenkins, MD
<p>Family medicine has become a global movement as a medical specialty. From small beginnings over a half century ago, it has now spread from its Western roots to all continents. The origins of family...
08/03/2011
08/02/2011
Noah S. Scheinfeld, MD, JD
<p>Various neoplastic, vascular, inflammatory, physical, and infectious processes can cause cutaneous ulcers. Accurate diagnosis requires close attention to clinical findings, an accurate history, and...
08/02/2011
diabetic
diabetic
08/02/2011
Edward Shahady, MD
<p>The American Diabetes Association now recommends hemoglobin A<sub>1c</sub> (HbA<sub>1c</sub>) as an additional criterion for the diagnosis of diabetes and...
08/02/2011