Volume 65 - Issue 7 - July 2025

Consultant

What's Your Diagnosis?
What's Your Diagnosis?
10/27/2025
Timothy Layne Counce, Jr., DO, MS; Jennifer Haile, MD; Brooke Bohn, MD
A 3 year-year-old previously healthy boy presents with a rash that abruptly appeared on his bilateral cheeks, upper arms, buttocks and extending slightly to his lower back and bilateral legs.
10/27/2025
What's the Take Home?
What's the Take Home?
10/12/2025
Ronald N. Rubin, MD
A 55-year-old man presents with a subacute history of an unsteady, stumbling gait resulting in several falls during the last 2 weeks.
10/12/2025
What's Your Diagnosis?
What's Your Diagnosis?
10/11/2025
Elen Deng, BS; Jill Stachowski, BS; Marc Schlessel, MD; Thomas N. Helm, MD
A 34-year-old woman at 24 weeks gestation presented to the dermatology clinic with a 1-month history of worsening, painful, and pruritic skin eruption.
10/11/2025
Photoclinic
Photoclinic
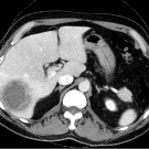
10/04/2025
Fatema Dabdoub, MD; Haneen AbdelKhaleq, DO; Victoria Udezi, MD; Zaiba Jetpuri, DO; Nora Gimpel, MD
A 56-year-old man presented to the emergency department of a large academic hospital in Dallas, TX with sudden onset abdominal pain the night prior to presentation.
10/04/2025
July Editorial
July Editorial
07/21/2025
Anthony Calabro, MA
The July issue of Consultant presents a series of instructive case reports designed to support clinical decision-making in primary care. This month’s selections highlight uncommon diagnoses behind common...
07/21/2025