Volume 61 - Issue 12 - December 2021

Consultant

Featured
Original Research
Original Research
06/04/2021
Interest in interprofessional education (IPE) has increased over the past 30 years. As the health care industry changes its focus to more patient-centered care through collaborative practices, IPE in health...
06/04/2021
Photoclinic
Photoclinic
04/13/2023
A 4-month-old boy was brought to the craniofacial clinic with arhinia, severe protein-calorie malnutrition, tracheostomy tube, gastrostomy tube, dependence on supplemental oxygen, global developmental...
04/13/2023
Radiology Quiz
Radiology Quiz
04/06/2023
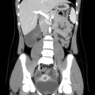
An 11-year-old girl was brought to our emergency department by her parents with pain in the left lower quadrant of her abdomen. The pain had started approximately 4 to 5 hours prior to presentation.
04/06/2023
Photoclinic
Photoclinic
03/23/2023
A 9-month-old, full-term boy was brought to a pediatric clinic by his parents for his well-child check-up. The infant was noted to be afebrile and growing well, with a weight in the 52nd percentile and a...
03/23/2023
What's Your Diagnosis?
What's Your Diagnosis?
03/15/2023
An 11-year-old boy with a medical history significant for autism spectrum disorder and attention-deficit/hyperactivity disorder presented to the emergency department with a 1-month history of progressive...
03/15/2023
Case In Point
Case In Point
02/13/2023
Valacyclovir is generally well-tolerated; however, several reports of neurotoxicity have been described in patients with and without underlying renal impairment. Despite these reports, valacyclovir-induced...
02/13/2023
What's The Take-Home?
What's The Take-Home?
10/08/2022
A 70-year-old man presented to your office with a history of chest “discomfort” of several months’ duration. He is not precisely sure when it had started but knows it has been present for at least 3 to 4...
10/08/2022
Photoclinic
Photoclinic
03/24/2022
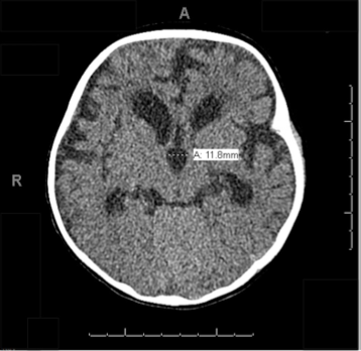
A 7-month-old boy with macrocephaly presented to our emergency department with a fever and left-sided otitis media. He had not been immunized against influenza but was otherwise healthy.
03/24/2022
Dermatologic Conditions
Dermatologic Conditions
01/30/2022
This article is part of a series describing and differentiating dermatologic lumps and bumps. In part 11, pilomatricoma is described.
01/30/2022
Case In Point
Case In Point
08/19/2021
A 70-year-old man who had undergone pacemaker placement for atrial fibrillation 21 years ago, with a generator change 4 years ago, was transferred from an outside hospital to our hospital for evaluation of...
08/19/2021
Photoclinic
Photoclinic
04/08/2021
A 64-year-old healthy man with a history of childhood chickenpox was brought in by ambulance for dyspnea and hypoxemia requiring supplemental oxygen via nasal cannula.
04/08/2021
Photoclinic
Photoclinic
03/31/2021
A 17-year-old Black woman with a medical history of sickle cell disease initially presented to her primary care provider (PCP) with a fever of 39.4 °C for 1 day and intermittent lightheadedness.
03/31/2021