Volume 5 - Issue 5 - May 2006

Consultant for Pediatricians

Orthopedics
Orthopedics
04/29/2011

May 1, 2006

May 1, 2006
The use of analgesics, specifically acetaminophen, has been proposed as one of the mechanisms for the rise in asthma prevalence.
04/29/2011
Orthopedics
Orthopedics
04/29/2011
Kirk Barber, MD, FRCPC
This 13-year-old boy plays basketball for his school team.
04/29/2011
Orthopedics
Orthopedics
04/29/2011
Barbara Barlow, MD
This 12-year-old girl had a persistent, nontender enlarged lymph node in the right groin.
04/29/2011
Orthopedics
Orthopedics
04/29/2011
Allyson Cordoni, CNP
A 14-year-old boy was brought by Child Welfare Services and the police for a pre-placement examination before entering foster care.
04/29/2011
Orthopedics
Orthopedics
04/29/2011
Elizabeth Feighan, MD; Chip Gilkeson, MD
A 12-year-old otherwise healthy boy was referred to a sports medicine clinic for back pain of 7 months' duration.
04/29/2011
Orthopedics
Orthopedics
04/29/2011
Atiya Khan, MD, MRCP; Arvind Vasudevan, MD
This 14-year-old boy has Lesch-Nyhan syndrome.
04/29/2011
Orthopedics
Orthopedics
04/29/2011
Melissa R. Larzo, MD; Linda S. Nield, MD; Deepak M. Kamat, MD, PhD
The authors review the types of fractures that are possible in an accidental fall, depict the most common mechanism of fracture, and provide recommendations about when child protective services should be...
04/29/2011
Acute Facial Swelling
Acute Facial Swelling
04/29/2011
Alexander K.C. Leung, MD, MBBS, FRCPC, FRCP; Justine H.S. Fong, MD
A 7-year-old boy presented with an asymptomatic cystic lesion on the lateral aspect of the left ankle of 4 months' duration.
04/29/2011
Acute Facial Swelling
Acute Facial Swelling
04/29/2011
Thomas Nichols, MD
A 9-year-old girl was hospitalized because of a painful, vesicular rash on her genitals, groin, and buttocks.
04/29/2011
Acute Facial Swelling
Acute Facial Swelling
04/29/2011
Jessica Morton, MD; Timothy Evans, MD
The patient, a 14-year-old boy, comes to see you the same day he was bitten by a dog.
04/29/2011
Acute Facial Swelling
Acute Facial Swelling
04/29/2011
Ihuoma Eneli, MD
What evidence is there that acetaminophen can cause or exacerbate asthma? ---- MD
04/29/2011
Acute Facial Swelling
Acute Facial Swelling
04/29/2011
Leonard R. Krilov, MD; Jonathan S. Luchs, MD; Vincent Sena, MD; Anita P. Price, MD, FACR; Sean R. Wilson, MD
It is difficult to diagnose acute osteomyelitis in children. When radiographs do not correlate with the clinical and laboratory findings, an MRI should be performed.
04/29/2011
Acute Facial Swelling
Acute Facial Swelling
04/29/2011
David L. Kaplan, MD
For several weeks, a 6-year-old girl has had a worsening mildly pruritic rash on the trunk. She has a history of seasonal allergies.
04/29/2011
Acute Facial Swelling
Acute Facial Swelling
04/29/2011
Timothy J. Haley, MD; Robert P. Blereau, MD
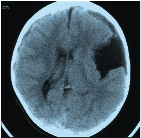
The parents of a 7-year-old girl, who had fallen off her bicycle and hit her left forehead 2 weeks earlier, brought their daughter to the emergency department after she began having increasingly severe...
04/29/2011
Acute Facial Swelling
Acute Facial Swelling
04/29/2011
Ellen Bass, MD, MPH; Domenick Roma; Dante Pappano, MD, MPH; Alexander K.C. Leung, MD, MBBS, FRCPC, FRCP
<p><img alt="SIALOLITHIASIS WITH SIALOADENITIS" src="/sites/default/files/transfer/0605cfpWYDface_thumb.jpg" style="height:87px; margin:5px; width:90px; float:left"...
04/29/2011
DermClinic
DermClinic
05/29/2006
David Effron, MD
Three-year-old boy has an asymmetric smile due to acute palsy of the seventh cranial nerve, an uncommon complication of otitis media.
05/29/2006
05/29/2006
Three-year-old boy has an asymmetric smile due to acute palsy of the seventh cranial nerve, an uncommon complication of otitis media.
05/29/2006