Volume 14 - Issue 1 - January 2015

Consultant for Pediatricians

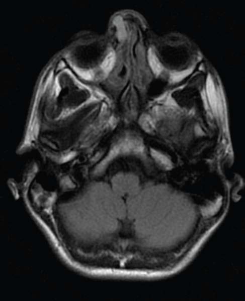
Mucocele
Mucocele
01/06/2015
Alicia R. Isom, DO; Ellis L. Webster, MD
A 16-year-old boy was admitted to the hospital with a 3-year history of a recurrent mass on the right nasal bridge.
01/06/2015
clubfoot
clubfoot
01/06/2015
Vivekananda Dasari, MD; Bhargavi B. Kola, MD, MPA
After delivery at full term and under aseptic and stable conditions, a newborn girl was noted to have significantly deformed lower limbs below her knees.
01/06/2015
Strep throat
Strep throat
01/06/2015
Renu Jain, MD; Reshma Ambaram, MD
A 9-year-old girl with no significant past medical history presented to the clinic with a 5-day history of persistent sore throat, intermittent headache, nasal congestion, and intermittent fever.
01/06/2015
Dermatologic disorders
Dermatologic disorders
01/06/2015
Shipra Gupta, MD; Katheryn D. Hudon, DO; Basim Asmar, MD
A 2-year-old boy with a history of eczema, asthma, and food allergies presented to the emergency department with a 2-day history of fever up to 38.9°C and a pruritic rash.
01/06/2015
Dermatologic disorders
Dermatologic disorders
01/06/2015
David L. Kaplan, MD
A 12-year-old girl presented with a chief concern of a worsening discoloring on her trunk of 6 months’ duration. Aside from the discoloration, the area was asymptomatic.
01/06/2015
infantile hemangioma treatment
infantile hemangioma treatment
01/06/2015
Daniel L. Ivan, MD
A 3-week-old girl was brought to the clinic for a first visit. Her parents were concerned about a rapidly growing red mass over the right side of the newborn’s face, which had been first noticed at 3 days...
01/06/2015
Infectious diseases
Infectious diseases
01/06/2015
Sanjeev Y. Tuli, MD; Sharda Udassi, MD; Jaclyn Otero, MD; Jai P. Udassi, MD
An 8-year-old girl presented to a hospital pediatrics department with a 3-month history of recurrent fever; a self-resolving, truncal, evanescent, macular rash; bilateral leg pain; and 1-day history of what...
01/06/2015
Achalasia
Achalasia
01/06/2015
Sumreen Hussain, MD; Jason Dranove, MD
A 6-year-old boy with poorly controlled asthma presented with difficulty breathing, persistent vomiting, and a 7-pound weight loss.
01/06/2015
Bronchitis
Bronchitis
01/06/2015
Jessica Tomaszewski, MD
Every winter, the pediatric health care community prepares for its annual battle with viral bronchiolitis.
01/06/2015
Dermatologic disorders
Dermatologic disorders
01/06/2015

Alexander K. C. Leung, MD—Series Editor, and Benjamin Barankin, MD

Alexander K. C. Leung, MD—Series Edit...
A 15-year-old girl presented with an intensely pruritic, papulonodular eruption on the dorsa of the feet of 2 months’ duration.
01/06/2015
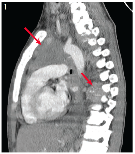
hodgkin's lymphoma
hodgkin's lymphoma
01/06/2015
Melissa S. Singer, MD; Randi Sperling, DO; Vicki R. McGowan, II, DO
A 17-year-old girl presented to a community hospital with a several-month history of cough and congestion and a 3-week history of severe upper back pain that had resulted in her missing school.
01/06/2015
cleft lip
cleft lip
01/06/2015
Germaine L. Defendi, MD, MS
Cleft lip, cleft palate, or cleft lip plus cleft palate are among the most common birth defects.
01/06/2015
varicella-zoster virus infection
varicella-zoster virus infection
01/06/2015
Jose Zayas, DO; Shannon Brockman; Ryan Baker, MD; Caitlin Wainscott, MD; Mobeen H. Rathore, MD
A 23-day-old boy presented with a 5-day history of worsening rash. The rash had begun as “red bumps” on his face.
01/06/2015