Volume 13 - Issue 11 - November 2014

Consultant for Pediatricians

Polyp
Polyp
11/17/2014
Vivekananda Dasari, MD; Bhargavi B. Kola, MD, MPA
A healthy 4-month-old boy was seen at the pediatric clinic with a concern of bloody discharge from his umbilicus.
11/17/2014
ichthyosis
ichthyosis
11/17/2014
Cynthia H. Ho, MD; Michelle Pietzak, MD
A 17-year-old male with Crohn disease presented with a history of abdominal pain for 2 days and a diffuse, scaly rash for 2 weeks.
11/17/2014
neoplasm
neoplasm
11/17/2014
Meagan McGinley, MSc; James Lampros, MD; Barbara B. Wilson, MD
An 18-month-old, healthy, white boy presented for evaluation of a raised, hairy growth on his left lower back.
11/17/2014
Scabies
Scabies
11/17/2014
Stephen Schleicher, MD; Blake Shaffer
A 7-year-old boy presented with an itchy rash of approximately 3 weeks in duration involving his extremities and lower abdomen.
11/17/2014
Orthopedics
Orthopedics
11/17/2014
Michelle Leff, MD, FAAP; Tia Hubbard, MD
At birth, the infant was noted to have hyperextension of the knees to 65° bilaterally, with passive extension to 0°.
11/17/2014
Kawasaki Disease
Kawasaki Disease
11/17/2014
Two patients presenting with two very different symptoms both received a diagnosis of Kawasaki disease.
11/17/2014
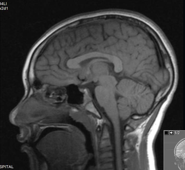
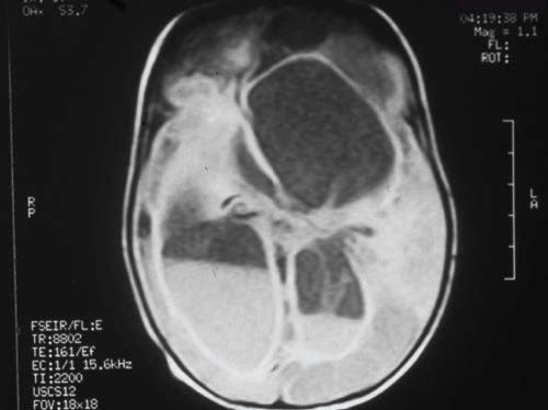
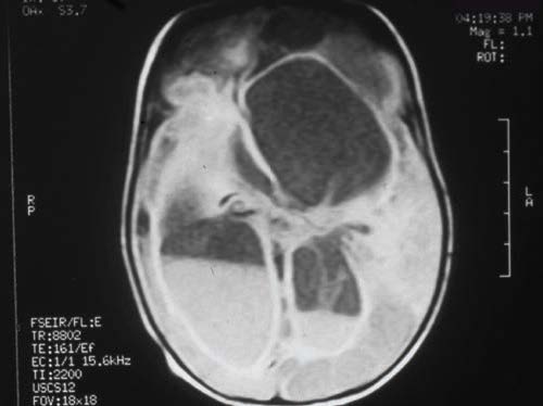
ataxia
ataxia
11/17/2014
Neha Gupta, MD; Magda Mendez, MD, FAAP; Saurabh Talathi, MD, MPH; Sergey Prokhorov, MD; Maritza Feliz, MD; Naresh Reddivalla, MD
An 8-year-old boy was admitted for evaluation of severe intermittent headache, ataxia, confusion, and slurring of speech.
11/17/2014
Injury prevention
Injury prevention
11/17/2014
Chalanda Jones, MD
Not only are EMRs seen as a reliable record of data, but also they are being explored as another resource for communication with patients.
11/17/2014
Infectious diseases
Infectious diseases
11/17/2014
Theodore Wu, MD; Pisespong Patamasucon, MD; Sipong Patamasucon, BA; Harsha K. Chandnani, MD
A 3-day-old newborn was admitted to the neonatal intensive care unit because of respiratory distress and temperature instability.
11/17/2014
food allergy
food allergy
11/17/2014
Jeremy M. Sikora, MD; Mark C. Stahl, DO; Christopher W. Calabria, MD
An adolescent boy presented for evaluation of the development of hives and vomiting after the exertion associated with playing basketball.
11/17/2014
radiography
radiography
11/17/2014
Alan Lucerna, DO; James Espinosa, MD; Jamey Hourigan, DO
A 7-year-old girl presented to the emergency department for evaluation of right lower quadrant abdominal pain.
11/17/2014
antibiotics
antibiotics
11/17/2014
Harsha K. Chandnani, MD; Pirapar Patamasucon, BA; Kelly Morgan, MBBS
A 4-year-old boy with a history of intermittent asthma presented to the emergency department with persistent high fevers following a dog bite to the face and scalp sustained 6 days previously.
11/17/2014
Dermatologic disorders
Dermatologic disorders
11/17/2014

Alexander K. C. Leung, MD—Series Editor, and Benjamin Barankin, MD

Alexander K. C. Leung, MD—Series Edit...
A 17-year-old male presented with a smooth surfaced, bluish nodule on the dorsal aspect of the left wrist.
11/17/2014
Iron Deficiency
Iron Deficiency
11/17/2014
Germaine L. Defendi, MD, MS
This article, the second of a 2-part series on iron imbalance in pediatric patients, focuses on iron poisoning due to an acute overingestion of elemental iron.
11/17/2014
Dermatologic disorders
Dermatologic disorders
11/17/2014
Sharda Udassi, MD; Stephanie Marshall, MD; Ratna Acharya, MD; Sanjeev Y. Tuli, MD
A 4-day-old girl presented with an erythematous, blanchable, maculopapular rash over her face, trunk, and extremities.
11/17/2014