Volume 13 - Issue 10 - October 2014

Consultant for Pediatricians

Dermatologic disorders
Dermatologic disorders
10/19/2014
Deepak M. Kamat, MD, PhD; Tristan Kraft, MD, PhD
An 11-day-old girl presented for a newborn checkup. A large (approximately 8 × 10 cm), lobulated, blotchy subcutaneous lesion was noted over her back.
10/19/2014
nipple discharge
nipple discharge
10/17/2014
Vonita Chawla, MBBS; Lana Soylu, MD, FAAP
A healthy 12-month-old girl presented for a routine well-child checkup. The mother had noted a bloody discharge on the infant’s shirt over the right nipple on several occasions.
10/17/2014
Immunizations
Immunizations
10/17/2014
Kevin Jones, MD; Kami Larsen, MD; Pisespong Patamasucon, MD
An 11-month-old boy, with no significant past medical history other than delayed vaccinations, presented to the emergency department with a dog bite to the head.
10/17/2014
Renal Disease
Renal Disease
10/17/2014
Dana A. Weiss, MD; Christopher J. Long, MD; Michael C. Carr, MD, PhD
At 27 weeks’ gestation, a female fetus was found to have left hydronephrosis that was consistent with a left multicystic dysplastic kidney (versus ureteropelvic junction obstruction with a perinephric...
10/17/2014
colic
colic
10/17/2014
Chalanda Jones, MD
Recently, a group of researchers has hypothesized about a possible association between maternal migraine and infant colic.
10/17/2014
Dermatologic disorders
Dermatologic disorders
10/17/2014
Sharda Udassi, MD; Nancy George, MD; Zachary Boucher; Sanjeev Y. Tuli, MD
A mother brought her otherwise healthy 22-month-old daughter in with concern about swelling and pain over the left side of the girl’s face.
10/17/2014
What's Your Diagnosis?
What's Your Diagnosis?
10/17/2014

Alexander K. C. Leung, MD—Series Editor, and Benjamin Barankin, MD

Alexander K. C. Leung, MD—Series Edit...
A 16-year-old boy presented with an erythematous round rash on the nape.
10/17/2014
Nutrition
Nutrition
10/17/2014
Nithi Fernandes, MD; Naresh Reddivalla, MD; Thais Queliz, MD; Gerard Prosper, MD
Breastfeeding hypernatremic dehydration (BFHD), although uncommon in a neonate, is a serious condition and a well-recognized cause of permanent neurologic abnormality or death if left untreated.
10/17/2014
Orthopedics
Orthopedics
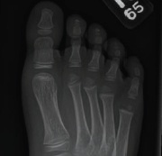
10/17/2014
Leigh Ann Lather, MD
A previously healthy 5-year-old boy presented for evaluation of an abnormal gait.
10/17/2014
breastfeeding
breastfeeding
10/17/2014
Adriana I. Bonasso; Emily K. Nease, MD; Linda S. Nield, MD
A Parent Asks: My 4-month-old daughter has been breastfed exclusively. When is the ideal time to start solid foods? And is it possible to prevent allergies?
10/17/2014
Iron Deficiency
Iron Deficiency
10/17/2014
Germaine L. Defendi, MD, MS
This article, the first of a 2-part series on iron imbalance in pediatric patients, focuses on iron deficiency.
10/17/2014
Dermatitis
Dermatitis
10/17/2014
Manjusha Abraham, MD; Douglas Swanson, MD; Philip Abraham, MD
A 16-day-old girl’s parents brought her to an urgent care clinic out of concern for lesions on the newborn’s scalp. The lesions had appeared 2 days ago on her forehead and had spread to her scalp and...
10/17/2014
Vaccines
Vaccines
10/17/2014
Consultations & Comments, October 2014
10/17/2014
ADHD
ADHD
10/17/2014
Parker Webster; John W. Harrington, MD
The M-CHAT-R/F is sensitive and reliable for ADHD diagnosis, but as practices struggle to implement EMRs, they face the challenge of developing a workflow that allows results to be entered into a specific...
10/17/2014