A 5-Year-Old Boy With a Limp and a Tender Arch
A previously healthy 5-year-old boy presented for evaluation of an abnormal gait. The boy’s mother reported that for several weeks the boy had been favoring the right foot, walking on the outside edge of it with the foot turned out to the side. His limp worsened throughout the day, and lately he had not wanted to walk much at all. No one had witnessed an injury or had noticed swelling of the foot, fever, or other signs of illness. When asked where it hurts, the boy tapped the arch of his foot.
On physical examination, the boy looked well and had normal vital signs. The right foot appeared normal, with no skin lesions or swelling. He withdrew on palpation of the apex of his arch, but he did not have tenderness anywhere else. Range of motion at the ankles was symmetric. A survey of his other joints revealed no abnormalities or asymmetry of motion, and he had no regional adenopathy. His barefoot gait was slow and antalgic, and he placed only the heel and lateral border of the foot on the floor, with the foot held inverted and abducted, just as the mother had described. He would not run.
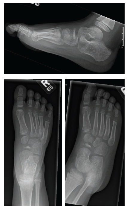
Radiography was performed, the results of which are shown here.

What explains the boy’s limping gait?
A. Osteomyelitis
B. Köhler disease
C. Nondisplaced stress fracture
D. Müller-Weiss disease
Answer: B, Köhler disease
Posteroanterior, lateral, and medial oblique radiographs of the foot showed flattening, sclerosis, and some fragmentation of the tarsal navicular bone, which correlated with the location of tenderness. It appeared as if the bone had collapsed, reminiscent of the appearance of the capital femoral epiphysis in Legg-Calvé-Perthes disease.
The boy’s history, physical examination findings, and radiography results were diagnostic for Köhler disease, or avascular necrosis of the tarsal navicular. No further tests were indicated.1
He was fitted with a postoperative shoe with arch support and walked comfortably out of the office.
Köhler disease is never an incidental finding. Some children have abnormal, fragmented ossification of the navicular bone that looks alarmingly like avascular necrosis. However, if there is no pain, this finding is a normal variant.
First described in 1908 by German radiologist Alban Köhler, this idiopathic foot condition is painful but self-limited and benign.2-4 It is rare, occurring approximately 4 times more often in boys,3,4 with onset usually between the ages of 2 and 9 years and most commonly at 4 or 5 years, but earlier in girls.
Trauma, foot shape, obesity, and abnormal motor development are not proven risk factors.2,3 It does not run in families, although there has been a reported case of identical twin boys who presented with bilateral Köhler disease at the same age.5 Sometimes, local redness, puffiness, or heat is present at the medial midfoot. Although infection is rare in this location in the absence of a penetrating injury, it is reasonable to order a complete blood count with differential, erythrocyte sedimentation rate test, and a C-reactive protein test. Magnetic resonance imaging is expensive and unnecessary.
A widely accepted theory about Köhler disease’s pathology is based on variations of normal development of the tarsal navicular and vascular patterns observed in postmortem injection studies.2 Simply put, the navicular is the last foot bone to ossify, and its location at the top of the structural arch of the foot (ie, the “keystone”) subjects it to exceptional compressive forces. In some children, ossification occurs particularly late, and only one centrally penetrating blood vessel may feed the ossification center of the bone. As the child gains weight and engages in more high-impact activity, the blood supply may become compromised, leading to avascular necrosis.
Seemingly miraculously, this necrotic bone recovers completely,2-4 perhaps because, as can be seen in this patient’s radiographs, the thick circumferential cartilage preserves and protects the space needed for the navicular bone. Within that cartilage lies a rich arterial anastomosis.
Treatment is nonsurgical. Options include a rigid insole with longitudinal arch support, a postoperative shoe, or a short leg cast, depending on the level of immobilization required to relieve symptoms. Wearing a short leg walking cast for 8 weeks has been shown to significantly reduce the duration of pain from an average of 1 year to less than 3 months.3,4 Ippolito et al4 reported long-term outcomes for 12 patients, all of whom had complete restoration of the normal size, shape, and architecture of the tarsal navicular bone by an average of 8 months after diagnosis. All patients were asymptomatic 35 to 42 years later, with no degenerative changes seen on radiographs.
Leigh Ann Lather, MD, is an assistant professor of orthopedics and pediatrics at the University of Virginia Children’s Hospital in Charlottesville, Virginia.
William Yaakob, MD—Series Editor, is a radiologist in Tallahassee, Florida.
REFERENCES
1. Mosca VS. The foot. In: Weinstein SL, Flynn JM, eds. Lovell and Winter’s Pediatric Orthopaedics. Vol 2. 7th ed. Philadelphia, PA: Lippincott Williams and Wilkins; 2014:1491-1492.
2. Waugh W. The ossification and vascularisation of the tarsal navicular and their relation to Köhler’s disease. J Bone Joint Surg Br. 1958;40-B(4):765-777.
3. Williams GA, Cowell HR. Köhler’s disease of the tarsal navicular. Clin Orthop Relat Res. 1981;(158):53-58.
4. Ippolito E, Ricciardi Pollini PT, Falez’ F. Köhler’s disease of the tarsal navicular: long-term follow-up of 12 cases. J Pediatr Orthop. 1984;4(4):416-417.
5. Tsirikos AI, Riddle EC, Kruse R. Bilateral Köhler’s disease in identical twins. Clin Orthop Relat Res. 2003;(409):195-198.
