Volume 11 - Issue 9 - September 2012

Consultant for Pediatricians

Arthrogryposis Multiplex Congenita
Arthrogryposis Multiplex Congenita
09/18/2012
Deepak M. Kamat, MD, PhD; Bhagwan Das Bang, MD
<p class="p3"><img src="/sites/default/files/transfer/1209CFP_PCArthrogrypo.jpg" alt="Arthrogryposis Multiplex Congenita" title="Arthrogryposis Multiplex...
09/18/2012
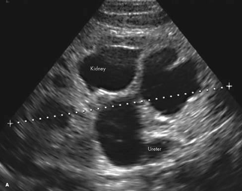
ectopic ureterocele
ectopic ureterocele
09/18/2012
Saleem Raza, MD; Deepak M. Kamat, MD, PhD; Rajan Arora, MD; Rozanandham Samudrala, MD
<p class="p1"><img src="/sites/default/files/transfer/1209CFP_PCUreterocele_A.jpg" alt="Ectopic Ureterocele" title="Ectopic Ureterocele" width="90"...
09/18/2012
geographic tongue
geographic tongue
09/18/2012
Robert P. Blereau, MD
<p class="p1"><img src="/sites/default/files/transfer/1209CFP_PCGeoTong.jpg" alt="Geographic Tongue " title="Geographic Tongue " width="90"...
09/18/2012
hair tourniquet syndrome
hair tourniquet syndrome
09/18/2012
Olumide Oyefeso, MD; Oladiji Vaughan, MD
<p class="p1"><img src="/sites/default/files/transfer/1209CFP_PCHairTourn_A.jpg" alt="Hair Tourniquet Syndrome" title="Hair Tourniquet Syndrome"...
09/18/2012
cyst
cyst
09/18/2012
Deepak M. Kamat, MD, PhD; Daniel A. Thimann, MD; Craig J. Huang, MD
<p class="p1"><img src="/sites/default/files/transfer/1209CFP_PCTDCyst_A.jpg" width="90" height="90" style="float: left; margin:...
09/18/2012
Herpes simplex
Herpes simplex
09/18/2012
Nischala Rajegowda, MD; Linda S. Nield, MD; Walter M. D'Alonzo, MD
<P><SPAN class=s2><STRONG><IMG style="MARGIN: 5px; FLOAT: left" title="Herpes simplex" alt="Herpes simplex"...
09/18/2012
omental infarction
omental infarction
09/18/2012
Aba Al-Kaabi, MD; Maya C. Myslenski, MD
<p class="p1"><span class="s1"><strong><strong><img src="/sites/default/files/transfer/1209CFP_PFAlKaabi_IndxFg.jpg" alt="Omental...
09/18/2012
osteomyelitis
osteomyelitis
09/18/2012
Ronald B. Turner, MD; Gregory F. Hayden, MD; Nathan T. Cohen, MD, BS; Talissa A. Altes, MD
A 9-year-old girl was transferred from an outside hospital because of neck pain with associated fever.
09/18/2012
Oral Candidiasis
Oral Candidiasis
09/18/2012

ALEXANDER K. C. LEUNG, MD—Series Editor and ALEX H. C. WONG, MD
University of Calgary

Dr Wong is clinical assistant professor of family medicine at the University of Calgary.

Alexander K. C. Leung, MD—Series Editor: Dr Leung is clinical professor of pediatrics at the University of Calgary and pediatric consultant at the Alberta Children’s Hospital in Calgary.

ALEXANDER K. C. LEUNG, MD—Series Edit...
<p class="p2"><img src="/sites/default/files/transfer/1209CFP_WDLeung_IndxFg.jpg" alt="Oral Candidiasis" title="Oral Candidiasis" style="float: left;...
09/18/2012
magnet ingestion
magnet ingestion
09/18/2012
Manu Kundra, MD; Luis F. Seguias, MD; Karthik Srinivasan, MD; Carla L. Angelski, MD, FRCPC
<p><img src="/sites/default/files/transfer/1209CFP_CPMagnets_FgA.jpg" width="90" height="90" style="float: left; margin-left: 5px; margin-right:...
09/18/2012
Cancer
Cancer
09/18/2012
According to the National Cancer Institute (NCI), more than half of childhood cancers are leukemias and cancers of the brain and CNS.
09/18/2012
blount disease
blount disease
09/18/2012
Sarah Kizilbash, MD; William Yaakob, MD; Roli Agrawal, MD
<p class="p1"><img src="/sites/default/files/transfer/1209CFP_RQAgrawal_IndxFg.jpg" width="90" height="90" style="float: left; margin:...
09/18/2012
Hypothyroidism
Hypothyroidism
09/18/2012
Alexander K.C. Leung, MD, MBBS, FRCPC, FRCP
For the past month, a 14-year-old girl had increased appetite, heat intolerance, nervousness, insomnia, frequent and loose stools, palpitations, and fatigue. She had a  4-lb weight loss during that...
09/18/2012
Depression
Depression
09/18/2012
Peter J. Chung, MD; Neelkamal S. Soares, MD
Child and adolescent depression is a disorder with a high prevalence and significant morbidity that is often encountered by primary physicians.
09/18/2012
PHACES syndrome
PHACES syndrome
09/18/2012
Sirikishan Shetty, MD; Quang Vu; Riva Kamat, MD; Kirk Barber, MD, FRCPC; Ronald P. Silverman, MD, FACS
<p><strong><img alt="PHACES syndrome" src="/sites/default/files/transfer/1209CFP_DC_IndxFg.jpg" style="height:90px; margin-left:5px; margin-right:5px; width:90px;...
09/18/2012
Primary Care
Primary Care
09/18/2012
Nathan T. Cohen, MD, BS; Mark J. Mendelsohn, MD; Gregory F. Hayden, MD
<p class="p1"><img src="/sites/default/files/transfer/1209CFP_GCCohen_Fg.jpg" alt="Rash" title="Rash" width="90" height="90"...
09/18/2012