Volume 55 - Issue 10 - October 2015

Consultant

10/27/2015
Roxanne Alsbury, MD
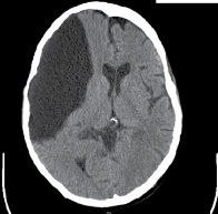
Man with a porencephalic cyst was admitted to the family medicine inpatient service for abdominal pain and hematochezia.
10/27/2015
metformin
metformin
10/26/2015
Gregory W. Rutecki, MD
The treatment of type 2 diabetes mellitus is usually comprised of metformin plus additional agents.
10/26/2015
Diabetic Peripheral Neuropathic Pain
Diabetic Peripheral Neuropathic Pain
10/26/2015
Eileen Koutnik-Fotopoulos
Neuropathy, which is one of the most common complications of diabetes, is the first symptom for some patients that they have diabetes or prediabetes.
10/26/2015
Diabetes Q&A
Diabetes Q&A
10/26/2015
Eileen Koutnik-Fotopoulos
Cardiovascular disease (CVD) risk factors are different for men and women and diabetes adds another layer of difference.
10/26/2015
Diabetes Q&A
Diabetes Q&A
10/26/2015
Eileen Koutnik-Fotopoulos
Although insulin was discovered more than 75 years ago, this medical breakthrough is still vastly underutilized.
10/26/2015
Diabetes Q&A
Diabetes Q&A
10/26/2015
A 72-year-old obese man with chronic atrial fibrillation, hypertension, hyperlipidemia, and a history of tobacco use presented for a routine office visit.
10/26/2015
Diabetes Q&A
Diabetes Q&A
10/26/2015
Eileen Koutnik-Fotopoulos
Evidence has shown the benefits and cost-effectiveness of diabetes self-management education and support (DSME/S).
10/26/2015
Diabetes Q&A
Diabetes Q&A
10/26/2015
Victoria Bouhairie, MD; Kim A. Carmichael, MD, FACP
Insulin pumps are small, portable, external electronic devices that deliver insulin to the body in a continuous fashion for basal needs.
10/26/2015
10/26/2015
Eileen Koutnik-Fotopoulos
Two cardiovascular trials were conducted to evaluate the dipeptidyl peptidase-4 inhibitor sitagliptin and the glucagon-like peptide-1 receptor agonist lixisenatide.
10/26/2015
10/26/2015
It is with great pleasure that I invite you to read this special issue on cardiometabolic risk—which includes obesity, diabetes, dyslipidemia, and hypertension. This disease state affects more than 1 in 3...
10/26/2015
10/20/2015
David L. Kaplan, MD
An 80-year-old female presented with a several month history of pruritic eruption on her arms, chest, and upper back.
10/20/2015
Dermclinic
Dermclinic
10/20/2015
David L. Kaplan, MD
A 64-year-old female presented for evaluation of a rash on her lower back of several months’ duration that was asymptomatic. She has had long-standing low back pain.
10/20/2015
10/20/2015
Nathan G. Miller, DO, LT, MC
A 21-year-old white male presented to our clinic with a mildly pruritic rash that had been present for the last 2 to 3 years.
10/20/2015
10/20/2015
John Chin, MD, MBChB
A 36-year-old active duty service member presented with an acute exacerbation of a chronic rash on the dorsal surface of both feet.
10/20/2015
10/20/2015
Abbas Charlie, MPH; Naureen Shaikh, MD
A healthy 36-year-old male noticed intense painful red “sunburns” along the dorsum of his hands.
10/20/2015
Photoclinic
Photoclinic
10/20/2015
Rajani Katta, MD; Abiara Vanessa Agwu, MD
A 53-year-old woman presented to the dermatology clinic with a recurrent rash of the neck, occipital hairline, and the posterior auricular area.
10/20/2015
Cardiometabolic Risk
Cardiometabolic Risk
10/20/2015
Ronald N. Rubin, MD
A 32-year-old woman presents with chest pain that began 48 hours ago. The pain is pleuritic, sharp, and substernal.
10/20/2015
10/20/2015
This article collects photo-based cases depicting manifestations of bacterial infections.
10/20/2015
10/20/2015
Kim A. Carmichael, MD, FACP
Although traditional insulins provide many options for treating patients with diabetes, some individuals require very high daily doses involving multiple shots that may cause local skin discomfort and...
10/20/2015
10/20/2015
Matthew Tabbut, MD; David Effron, MD
A 19-year-old female with no significant history presented to the emergency department (ED) with a rash.
10/20/2015
10/20/2015
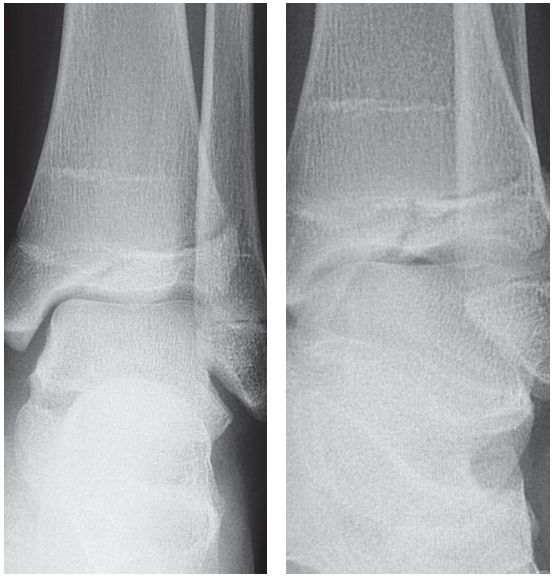
William Yaakob, MD
A 12-year-old female comes to your office complaining of left ankle pain. Her mother states that she was at the playground when she jumped down from the high bars and has been in pain ever since.
10/20/2015
10/20/2015
Eric A. Dietrich, PharmD, BCPS; Kyle Davis, PharmD, BCPS
Last month we reviewed the case of CD, a 63-year-old white female who was diagnosed with chronic obstructive pulmonary disease (COPD) and initiated on tiotropium.
10/20/2015
10/20/2015
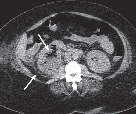
Mary Ann Rodriguez, MD; Alejandro Moreno, MBBS, MPH, JD
A 44-year old male with history of chronic hypertension presented with 1-month history of nausea, fatigue, and decreased appetite.
10/20/2015
10/20/2015
Gregory W. Rutecki, MD
Two Top Papers have identified a medication that is both safe and effective in potassium removal. Patiromer is a high capacity, oral, nonabsorbed polymer that binds potassium in exchange for calcium in the...
10/20/2015
10/20/2015
Mary P. Maiberger, MD; Julia R. Nunley
This series reviews the etiology, pathophysiology, clinical characteristics of the more common dermatologic conditions.
10/20/2015
10/19/2015
Wilbert S. Aronow, MD, AGSF
This article will review the 2003 to 2015 treatment guidelines for hypertension in patients with CAD.
10/19/2015
10/19/2015
Sayed K. Ali, MD, FACP; Mustafa Kinaan, MD; Talat Almukhtar, MD, MS; Ali Chaudhry, MD
Influenza is a serious and common viral infection of the respiratory system that carries a major global healthcare burden.
10/19/2015
10/19/2015
Scott C. Litin, MD
In this 2-part guest commentary, you will learn several tactics and skills that will make your next presentation go better than your last.
10/19/2015
10/19/2015
“Type 2 diabetes is a manmade problem. We can prevent it,” said Tim Church, MD, as he kicked off the 2015 Cardiometabolic Risk Summit held in Las Vegas last month.
10/19/2015