Volume 54 - Issue 8 - August 2014

Consultant

AIDS
AIDS
08/06/2014
Annie Yang, MD; Niraj Karki, MD; Jean Henneberry, MD; Daniel Skiest, MD
A 36-year-old female with advanced AIDS presented to our HIV clinic with a 2-month history of new facial skin lesions. The patient is not currently on antiretroviral therapy.
08/06/2014
pruritic
pruritic
08/06/2014
David L. Kaplan, MD
A 63-year-old female presented with a outbreak of slightly itchy and slightly tender papular and vesicular eruption on the inner aspect of the left that appears to follow the dermatome of 1-day duration. ...
08/06/2014
Becker Nevus
Becker Nevus
08/06/2014
David L. Kaplan, MD
A 55-year-old female presented for evaluation of pigmented lesion on her thigh and was noted to have a dark area on 1 ankle.
08/06/2014
morphea
morphea
08/06/2014
David L. Kaplan, MD
A 12-year-old female presented with a worsening discoloring on her trunk of 6 months duration that was asymptomatic. She is otherwise healthy. She is self-conscious about being in a bathing suit.
08/06/2014
intussusception
intussusception
08/06/2014
Betsy Phillip, PA-C; Ishak Mansi, MD
A 52-year old white woman with past medical history of right lower extremity deep venous thrombosis, hypertension, asthma, and degenerative joint diseases in both knees and cervical spines, presented to...
08/06/2014
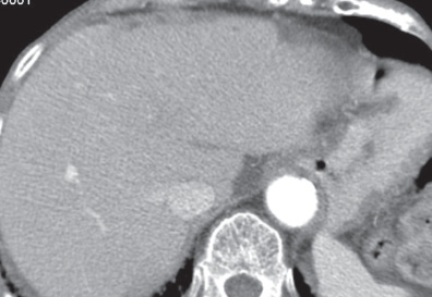
Chilaiditi Sign
Chilaiditi Sign
08/06/2014
Sophie Lin, MD; Judit Osvath, MD
A 94-year-old woman with a history of moderate dementia and chronic pancreatitis with loose stools was admitted to the inpatient medicine service for 1 day of generalized malaise, low-grade fever, and...
08/06/2014
Photoclinic
Photoclinic
08/06/2014
James Gendernalik, DO; Michael Flicker, MD
A 38-year-old woman, who was 28 weeks pregnant, presented with a 2-day history of worsening left lower quadrant abdominal pain.
08/06/2014
Foreign-Body Ingestion
Foreign-Body Ingestion
08/06/2014
Lawrence M. Wyner, MD
A 17-year-old young man presented to the emergency department shortly after inserting several dozen Buckyballs into his urethra, presumably for self-stimulation purposes.
08/06/2014
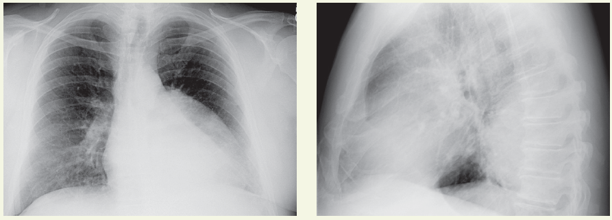
cardiovascular disease
cardiovascular disease
08/06/2014
The acute onset of substernal chest pain during vigorous exercise prompted a 70-year-old woman to seek emergency medical attention. She reported chest pressure, left arm numbness, shortness of breath, and...
08/06/2014
COPD
COPD
08/06/2014
Amir A. Zeki, MD, MAS; Samuel Louie, MD
A patient with a history of hay fever and cigarette use presents with wheezing, a cough, and dyspnea. Is it asthma or COPD?
08/06/2014
coumadin
coumadin
08/06/2014
Louis Kuritzky, MD; Eric A. Dietrich, PharmD, BCPS
We have recently been following KD, a 58-year-old male who was diagnosed with a first unprovoked deep vein thrombosis (DVT). After completing 3 months of treatment with warfarin, KD elected to continue...
08/06/2014
Autoimmune diseases
Autoimmune diseases
08/06/2014
Ronald N. Rubin, MD
A 29-year-old woman presents for evaluation of changes in her skin. Several months ago, in the spring, she had noticed lightening of her skin in both elbow areas as well as her forehead area where the band...
08/06/2014
Top Papers of the Month
Top Papers of the Month
08/05/2014
Gregory W. Rutecki, MD
Skin and soft tissue infections are frequent problems in primary care offices.
08/05/2014
mastocytoma
mastocytoma
08/05/2014
Maria N. Kelly, MD; Sanjeev Y. Tuli, MD; Sonal S. Tuli, MD; Cameron Rosenthal, MD
A mother brought in her 11-month-old daughter for evaluation of a mark on her left lateral eyebrow.
08/05/2014
What's Your Diagnosis?
What's Your Diagnosis?
08/04/2014

Alexander K.C. Leung, MD, and Benjamin Barankin, MD

Alexander K.C. Leung, MD, and Benjami...
A 28-year-old Caucasian woman, who at 28 weeks gestation, presented with a red nodule on the left index finger. The lesion was asymptomatic and was first noted 6 weeks ago.
08/04/2014
echocardiagram
echocardiagram
08/04/2014
Kamel Sadat, MD; Masood Ahmad, MD; Qiangiun Cai, MD; Mohamed Morsy, MD; Navin Nanda, MD; Wissam Khalife, MD, FACC; Alejandro Barbagelata, MD
This first part of a 2-part series will describe the findings of echocardiography in patients with systolic and diastolic HF.
08/04/2014
Vision Loss
Vision Loss
08/04/2014
Abdul Ahad Qazizada, MD
This article reports a case of CD in a patient who suddenly lost vision following a series of stressful situations.
08/04/2014
aphasia
aphasia
08/04/2014
Jonathan Obert, MD; Davis Furman, MD, MSPH
This case study describes a 70-year-old male who was diagnosed with progressive nonfluent aphasia in 2003.
08/04/2014
aphasia
aphasia
08/04/2014
Jonathan Obert, MD; Davis Furman, MD, MSPH
This case study describes a 70-year-old male who was diagnosed with progressive nonfluent aphasia in 2003.
08/04/2014
aphasia
aphasia
08/04/2014
Jonathan Obert, MD; Davis Furman, MD, MSPH
This case study describes a 70-year-old male who was diagnosed with progressive nonfluent aphasia in 2003.
08/04/2014
Primary Care
Primary Care
08/04/2014
Richard Colgan, MD
While not defining the virtuous physician in specific detail, Edmund D. Pellegrino, MD gives us some hints as to how he or she may be recognized.
08/04/2014
Psoriasis
Psoriasis
08/04/2014
August is Psoriasis Awareness Month. About 7.5 million Americans suffer from psoriasis; of which, 80% have a condition known as plaque psoriasis—characterized by patches of raised, reddish skin covered with...
08/04/2014