Volume 64 - Issue 7 - July 2024

Consultant

Photo Essay
Photo Essay
05/19/2025
Alexander K.C. Leung, MD, MBBS, FRCPC, FRCP; Benjamin Barankin, MD, FRCPC; Joseph M. Lam, MD; Kin Fon Leong, MD
This article is part of a series describing and differentiating dermatologic lumps and bumps. In Part 41, Leung and colleagues describe congenital melanocytic nevi. To access previously published articles...
05/19/2025
Photoclinic
Photoclinic
03/17/2025

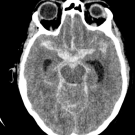
Kevin Pierre, MD1 • Hyuchang (Sean) Kwak, BS2 • Kevin Root, BS2 • Haoyu Wang3 • Arnav Barpujari3 • Vivian Hagerty, MD4 • Brandon Lucke-Wold, MD, PhD5 • Matthew Koch, MD5

Kevin Pierre, MD1 • Hyuchang (Sean) K...
A middle-aged woman presented to the emergency department with a new-onset severe headache and progressive obtundation.
03/17/2025
Photoclinic
Photoclinic
08/12/2024
Maria Alamir, OMS II; Philip Brauer, MD; Joseph Mandato, OMS-IV; Robert Bales, MD, MPH, FAAFP; Phillip Charles, MD
A 31-year-old woman with history of opiate use disorder (OUD) presented to her primary care physician with persistent salivary gland swelling for 1 week and a history of periodic salivary gland swelling for...
08/12/2024
What's the Take Home?
What's the Take Home?
08/07/2024
Ronald N. Rubin, MD
Last month’s What’s the Take Home? article described the case of a 70-year-old man who presented to urgent care for severe pain of the right hand. Necrotizing fasciitis was suspected, prompting surgical...
08/07/2024
Photoclinic Challenge
Photoclinic Challenge
08/04/2024
Consultant360’s Photoclinic Challenge is an interactive quiz based on an image featured in a Photoclinic article. View the slideshow for a brief overview of the case, patient history, and a key hint. For...
08/04/2024