Peer Reviewed
Abnormally Large Submandibular Salivary Gland Sialolithiasis
A 31-year-old woman with history of opiate use disorder (OUD) presented to her primary care physician with persistent salivary gland swelling for 1 week and a history of periodic salivary gland swelling for more than 10 years.
History. The patient started using opioids in pill form when she was 14 years of age. The patient eventually progressed to heroin use shortly after using prescription opioids. She was diagnosed with OUD at 24 years of age and was started on buprenorphine. When establishing care at the family medicine clinic approximately 5 years prior to the current presentation, the patient had been prescribed buprenorphine 8 mg and naloxone 2 mg, both twice daily. She has been stable in treatment since.
The patient reported experiencing periodic swollen salivary glands since her late teenage years and stated that the current swelling had persisted for 1 week. She expressed pain with eating and swelling after eating that only resolves after 2 to 3 hours. She also reported pain with tongue movement. The patient reported previously treating the pain with sour candies, massage, and sufficient water intake, without success in relieving her symptoms. A palpable mass was noted at the left submandibular region upon physical examination. She was recommended to follow up with an otorhinolaryngologist.
Diagnostic testing. A computed tomography (CT) scan without contrast was performed shortly after initial presentation to further investigate the cause of her chronic pain and swelling (Figures 1 and 2). The CT revealed a calculus in the dorsal aspect of the left submandibular duct that measured approximately 1.1 x 0.8 x 1.1 cm in anteroposterior, transverse, and coracoclavicular dimensions, respectively. The nasopharynx and oropharynx were within normal limits. Soft tissue planes of the adjacent parapharyngeal spaces were maintained. No distinct radiopaque calculus was noted otherwise along the course of Wharton or Stensen ducts, nor was there evidence of distention of the proximal aspect of Wharton duct on the left despite the described calculus. The submandibular and parotid glands otherwise appear to be within normal limits. Specifically, there was no evidence of acute sialadenitis. The hypopharyngeal, supraglottic, glottic, and subglottic airways were within normal limits. The soft tissue planes of the upper neck were otherwise maintained. No significant lymphadenopathy was seen by size criteria. Based on these results, it was confirmed that the patient had a sialolith of the left submandibular gland.

Figure 1. A bone mode/hard tissue condition coronal head plain CT imaging of a 12 mm submandibular sialolith.

Figure 2. A bone mode/hard tissue condition sagittal head CT imaging of 12 mm submandibular sialolith.
Differential diagnoses. This patient’s condition was initially diagnosed as sialadenitis due to the hallmark symptoms of salivary gland swelling, pain with tongue movement, worsening of pain with eating, and findings of a hard mass in the salivary gland during physical examination. Other differentials of sialadenitis that were considered included granulomatous causes, infectious causes, and malignant causes. Ultimately, sialadenitis was confirmed with imaging.
Treatment and management. Upon consultation with the otorhinolaryngology (ENT) specialist, left submandibular gland removal was recommended based on the size of the sialolith as well as its proximal location near the submandibular gland. At 12.9 mm in greatest dimension, continuing non-surgical management was an option, but the sialolith was unlikely to pass. If the sialolith had been distal in the duct, then extraction through an intraoral incision would have been a treatment option. The ENT physician also commented that sialolith removal using sialoendoscopy would not be successful because salivary endoscopes cannot extend into the proximal duct or remove large sialoliths.
The patient was scheduled for excision of her entire left submandibular gland, as the sialolith was too large and too proximal. The patient underwent blood work, which yielded both a complete blood count and a metabolic panel within normal limits. A quantitative hCG blood test was performed, which indicated she was approximately 6 weeks gestation, and the procedure was postponed. After pregnancy, the patient underwent submandibular gland resection without complication.
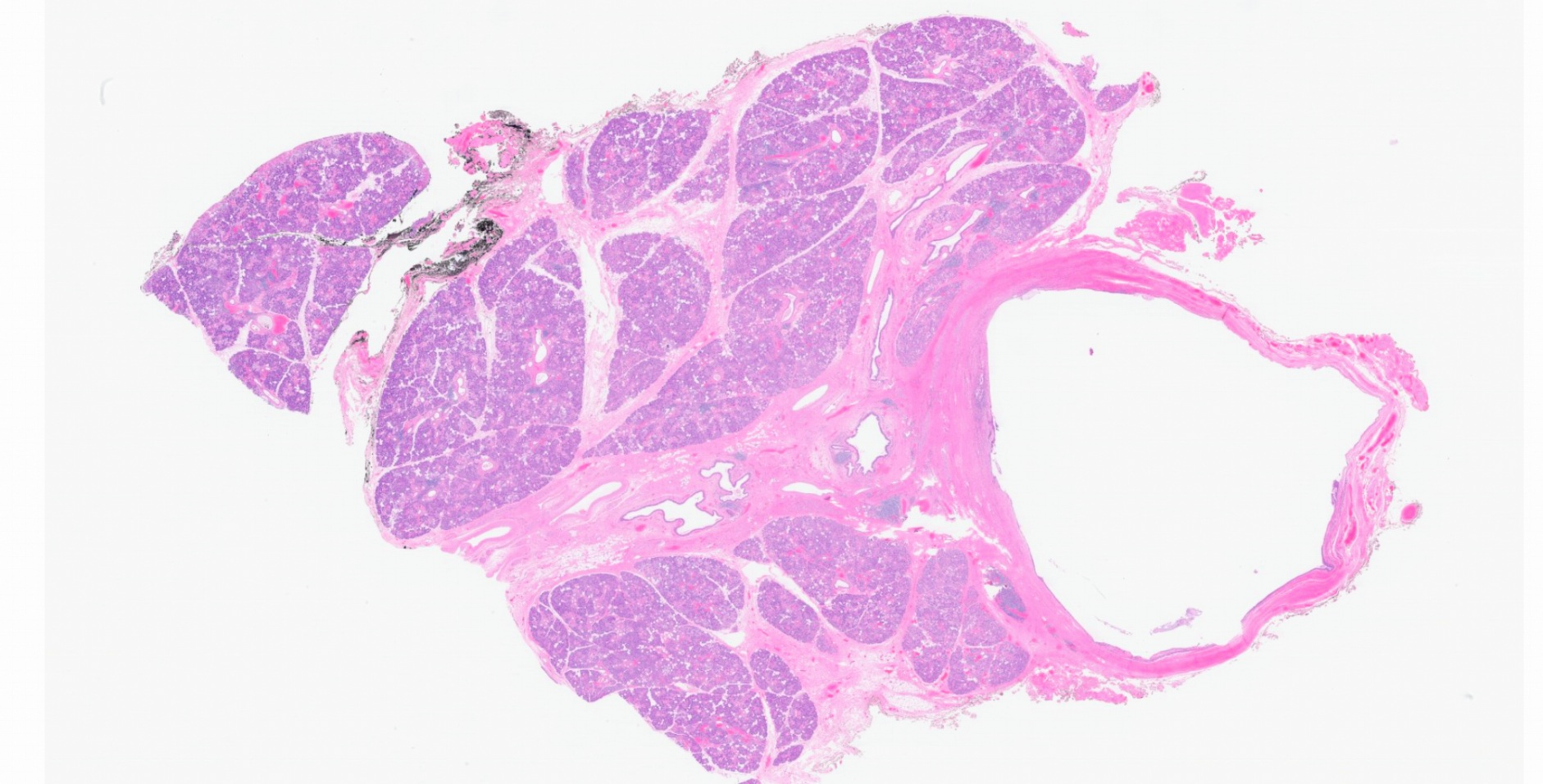
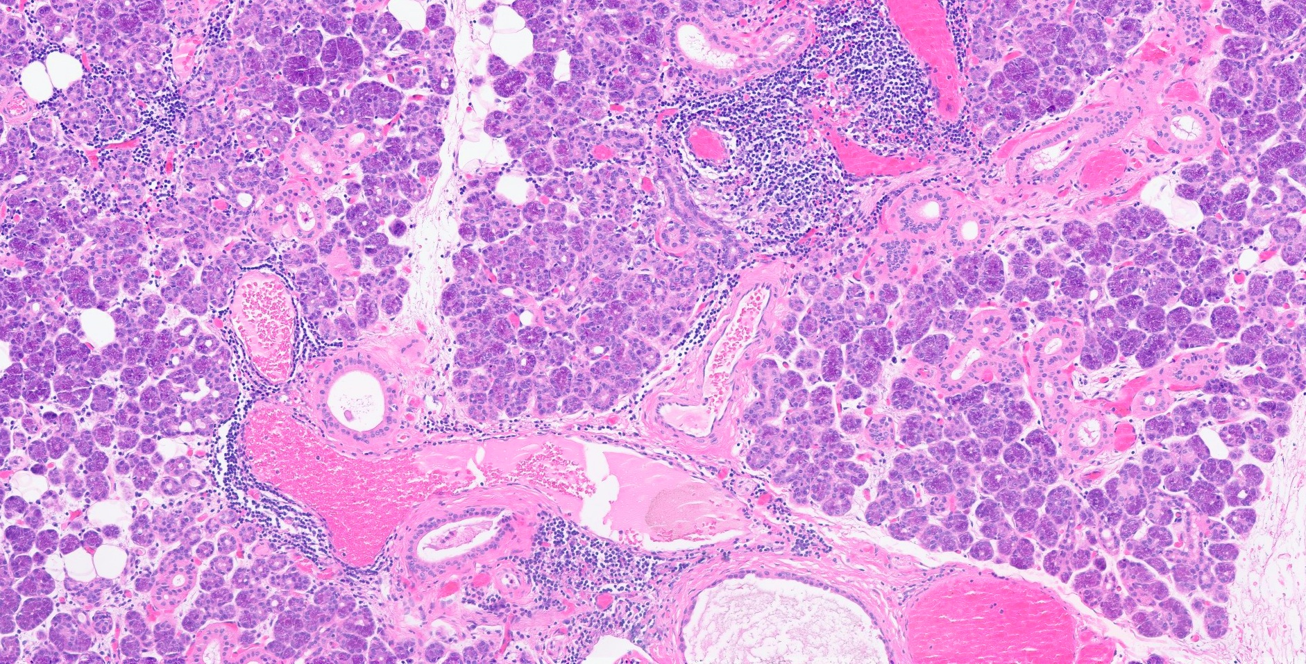
Outcome and follow-up. The patient’s submandibular gland was successfully removed and the sialolith was extracted. The surgical pathology demonstrated left submandibular excision with sialadenitis and sialolithiasis (Figures 3 and 4). Pathology was negative for neoplasm in the gland, which measured at 29 mm by 37 mm by 17 mm. Findings for the sialolith showed a single tan-white friable calculus that is present within a dilated ductal structure. The sialolith measures 11 mm in greatest dimension.

Figure 3. Dilated salivary duct with attached salivary glands (hematoxylin-eosin [H&E], original magnification × 0.6). Histological sections demonstrate focal epithelial ulceration of this grossly identifiable dilated duct associated with periductal fibrosis and chronic lymphocytic infiltrate.

Figure 4. Fibrosis and chronic inflammation surrounding intercalated and interlobular ducts (H&E, original magnification × 10). Intercalated and interlobular ducts are involved by periductal fibrosis and periductal chronic lymphocytic infiltrate, consistent with focal sialadenitis. The remainder of the salivary gland demonstrates unremarkable serous and mucinous acini surrounded by fibrotic stroma with chronic inflammation.
The patient reported no adverse post-operative events. The patient disclosed that her original symptoms have since resolved and reports only minor tenderness at the surgical site 1-month post-operation. The patient continues to undergo medication assisted treatment for OUD with a twice daily dose of buprenorphine 8 mg and naloxone 2 mg. She also follows up with the family medicine physician monthly for medication refills and toxicology screening.
Discussion. Sialoliths, commonly known as salivary stones, are the most frequent cause of salivary gland swelling, occurring in 1 out of every 10,000 to 1 out of every 30,000 patients.1 Sialoliths are typically diagnosed between the ages of 30 and 60 years of age, and are diagnosed in twice as many men as women.2,3 Of detected sialoliths, 88% are less than 10 mm in greatest diameter, suggesting that sialoliths larger than 10 mm should be reported as abnormally large.4 Sialolithiasis, the blockage of the salivary duct, most commonly occurs in the submandibular gland, with approximately 85% of sialoliths developing within the gland or its duct.1 The second most common location of sialoliths is the parotid gland, leaving the sublingual gland as the least common location of sialolith development.1 As a result of sialolithiasis, inflammation, infection, or abscesses within these ducts may occur.1 Obstruction of salivary ducts causes inflammation and can also lead to bacterial infection, referred to as sialadenitis.1 The gland can also become swollen and the patient may experience a decrease in salivary flow.1
It is important to detect sialoliths as soon as possible to avoid these adverse health outcomes. Sialolithiasis diagnosis typically begins with apparent symptoms including regional pain, increased pain with eating (due to increased saliva production in an obstructed gland or duct), swelling, or a palpable mass.2 Sialolithiasis can be confirmed using ultrasonography or CT.
Generally, treatment of sialolithiasis includes submandibular gland excision, transoral incision, salivary endoscopy, and conservative management such as hydration, consumption of sour foods, and salivary gland massage.5 Surgery may involve excision of the entire gland if the sialolith is too large or too proximal for endoscopy or a transoral approach.5 Submandibular gland excision has risk of marginal mandibular nerve (a branch of the facial nerve), lingual nerve, and hypoglossal nerve iatrogenic injury due to the nerves’ location near the gland.3 In this case study, the 11 mm sialolith was proximal to the submandibular gland such that it cannot be removed without excising the entire gland.
The large incidence of submandibular sialoliths is thought to be attributed to several factors, including compositional and structural factors.1 Sialoliths are composed of a variety of materials that are both organic and inorganic.6 The organic material includes collagen, glycoproteins, lipids, and carbohydrates.6 Most sialoliths also have varying levels of calcium phosphates, which are inorganic, and can also have small amounts of potassium, sodium, ferrum, silicon, brimstone, and chloride.6 Structurally, the submandibular gland’s duct (titled Wharton duct) is the longest salivary gland duct.2 The duct also directs saliva superiorly towards the oral cavity, slowing the movement of saliva.7 The main portion of the duct is also wider than its orifice, predisposing the duct to blockage.2 Lastly, in comparison to the parotid and sublingual glands, the saliva produced in the submandibular gland is more viscous and alkaline, causing higher likelihood of salt precipitation and eventual calcification.6,7
Despite these theories, the etiology of sialoliths is poorly understood.6 There are numerous case reports of large sialoliths in association with other previous diagnoses, such as nephrolithiasis, cholelithiasis, and osteoporosis.8-10 This diagnosis focuses on the production of calcified obstruction, but there are no case reports that focus on the autonomic nervous system as a contributor to these sialolith formations. Opioids produce a strong parasympathetic response, regulating most functions in the body. With parasympathetic output, it is important to note that this stimulates salivary production and can potentiate the production of sialoliths.11 The patient’s long-term opiate use may have contributed to her risk of developing sialolithiasis because of the autonomic nervous system suppression effects of opiates. Up to 18.6% of patients on buprenorphine maintenance treatment have been reported to experience bad or very bad xerostomia, which can exacerbate mineral deposits in the submandibular gland.12
It is also important to note that the patient is prescribed buprenorphine daily via sublingual administration. It has been studied that sublingual buprenorphine/naloxone is acidic in nature.13 Patients are instructed to hold the tablet under the tongue for 5 to 10 minutes to maximize absorption. Thus, it is inferred that the prolonged acidic exposure of the drug in the mouth might lead to tooth damage, and it is even recommended that patients with a history of dental pathology may avoid this prescription.13 Therefore, the combination of parasympathetic stimulation from previous opioid use in combination of a more acidic oral cavity may have contributed to the formation of this large sialolith.
Conclusion. The formation of large sialoliths is poorly understood. Despite theories of their formation, there is no significant evidence that rationalizes the formation of sialoliths. The formation of the patient's large sialolith in the presence of prior opioid use and current buprenorphine use may contribute to its formation. We infer that the patient’s long-term opiate use may have contributed to her risk of developing sialolithiasis due to the increased parasympathetic stimulation of the salivary gland. We also infer that the use of buprenorphine/naloxone formed an acidic environment in the oral mucosa, which eventually degraded into weak acids that buffered the salivary glands alkaline environment. This supports the theory that the environment for salivary glands is prone to sialolith formation and changing of the salivary PH through buprenorphine/naloxone administration may lead to salt precipitation and eventual calcification. More literature needs to be conducted to test for the formation of sialoliths to avoid patients having to undergo definitive, surgical treatment for correction.
- Hammett JT, Walker C. Sialolithiasis. StatPearls Publishing; 2023. Accessed January 10, 2024. https://www.ncbi.nlm.nih.gov/books/NBK549845/
- Oteri G, Procopio RM, Cicciù M. Giant salivary gland calculi (GSGC): report of two cases. Open Dent J. 2011;5:90-95. doi:10.2174/1874210601105010090
- Kumar ND, Sherubin JE, Bagavathy K. Sialolithiasis: an unusually large salivary stone. J Maxillofac Oral Surg. 2021;20(2):227-229. doi:10.1007/S12663-019-01223-Y
- Lustmann J, Regev E, Melamed Y. Sialolithiasis: a survey on 245 patients and a review of the literature. Int J Oral Maximofac Surg. Accessed January 10, 2024. https://www.sciencedirect.com/science/article/pii/S0901502705801274
- Fowell C, MacBean A. Giant salivary calculi of the submandibular gland. J Surg Case Rep. 2012;2012(9):6. doi:10.1093/jscr/2012.9.6
- Kraaij S, Karagozoglu KH, Forouzanfar T, Veerman ECI, Brand HS. Salivary stones: symptoms, aetiology, biochemical composition and treatment. Br Dent J. 2014;217(11):E23. doi:10.1038/sj.bdj.2014.1054
- Batori M, Mariotta G, Chatelou H, Casella G, Casella MC. Diagnostic and surgical management of submandibular gland sialolithiasis: report of a stone of unusual size. Eur Rev Med Pharmacol Sci. 2005;9(1):67-68. https://www.europeanreview.org/wp/wp-content/uploads/157.pdf
- Hung SH, Xirasagar S, Cheng YF, Lin HC. A case-control study of the association between sialolithiasis and osteoporosis. Clinical Otolaryngol. 2019;44(3):343-348. doi:10.1111/coa.13310
- Mortazavi H, Tizno A, Azadi A, Samani R, Firoozi N, Hazrati P. What is the impact of previous cholelithiasis on sialolithiasis: a systematic review and meta-analysis. Saudi Dent J. 2024;36(1):44-51. doi:10.1016/j.sdentj.2023.08.010
- Wu CC, Hung SH, Lin HC, Lee CZ, Lee HC, Chung SD. Sialolithiasis is associated with nephrolithiasis: a case-control study. Acta Otolaryngol. 2016;136(5):497-500. doi:10.3109/00016489.2015.1129068
- Alhajj M, Babos M. Physiology, Salivation. StatPearls: 2023. Accessed March 27, 2024. https://www.ncbi.nlm.nih.gov/books/NBK542251/
- Haber PS, Elsayed M, Espinoza D, Lintzeris N, Veillard AS, Hallinan R. Constipation and other common symptoms reported by women and men in methadone and buprenorphine maintenance treatment. Drug Alcohol Depend. 2017;181:132-139. doi:10.1016/j.drugalcdep.2017.09.024
- Etminan M, Rezaeianzadeh R, Kezouh A, Aminzadeh K. Association between sublingual buprenorphine-naloxone exposure and dental disease. JAMA. 2022;328(22):2269. doi:10.1001/JAMA.2022.17485
AUTHORS:
Maria Alamir, OMS II1 • Philip Brauer, MD2 • Phillip Charles, MD2 • Joseph Mandato, OMS IV1 • Robert Bales, MD, MPH, FAAFP3
AFFILIATIONS:
1Ohio University Heritage College of Osteopathic Medicine, Cleveland, OH
2Cleveland Clinic Foundation, Cleveland OH
3Department of Family Medicine, Cleveland Clinic, Cleveland, OH
CITATION:
Alamir M, Brauer P, Charles P, Mandato J, Bales R. Abnormally large submandibular salivary gland sialolithiasis. Consultant. Published online July 2, 2024. doi:10.25270/con.2024.07.000001
Received February 3, 2024. Accepted April 8, 2024.
DISCLOSURES:
The authors report no relevant financial relationships.
ACKNOWLEDGEMENTS:
None.
CORRESPONDENCE:
Robert Bales, MD, Cleveland Clinic South Pointe Department of Family Medicine, 2000 Harvard Avenue, Warrensville, OH 44122 (Balesr@ccf.org)
