Peer Reviewed
Management of a Recurrent A1 Blood Blister-Like Aneurysm Complicated by Rupture
A middle-aged woman presented to the emergency department with a new-onset severe headache and progressive obtundation.
History. The patient was in their usual state of health until experiencing the sudden onset of symptoms. The Glasgow coma scale (GCS) score at the time of presentation was 7T (E1V1M5): no eye-opening, no verbal response due to intubation, and localizing response to pain.
On physical examination, the patient was able to localize with the right upper extremity but had limited movement on the left side, not reaching midline. All extremities moved spontaneously against gravity, but with reduced ability on the left side compared with the right.
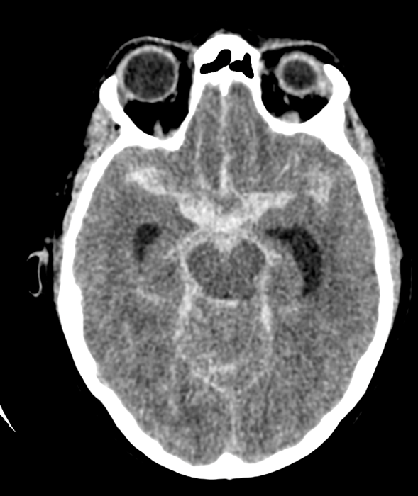
Diagnostic testing. The initial diagnostic workup included a non-contrast computed tomography (CT) scan, which revealed a large volume subarachnoid hemorrhage (Figure 1) centered in the suprasellar cistern along with a small component of intraventricular hemorrhage (Figure 2). The hemorrhage was consistent with a Hunt and Hess Grade 4, Fisher Grade 4 subarachnoid hemorrhage. A computed tomography angiography (CTA) did not reveal any substantial perfusion abnormalities or aneurysms.

Figure 1. A diffuse subarachnoid hemorrhage on the initial non-contrast CT scan.

Figure 2. Intraventricular extension of the subarachnoid hemorrhage.
Subsequent digital subtraction angiography (DSA) was also negative for an aneurysm. A repeat angiogram conducted 7 days later revealed a dissecting pseudoaneurysm arising from the right A1 segment of the anterior cerebral artery, measuring approximately 5 mm with adjacent severe spasm at the A1 origin (Figures 3 and 4).

Figure 3. The DSA demonstrating a pseudoaneurysm at A1 of the anterior cerebral artery.

Figure 4. The DSA reconstructed image, again showing the pseudoaneurysm.
Differential diagnoses. Initially, the differential diagnoses included aneurysmal subarachnoid hemorrhage, arteriovenous malformation rupture, and other vascular malformations. Aneurysmal subarachnoid hemorrhage was initially ruled out due to negative initial CTA and DSA results. Arteriovenous malformations and other vascular abnormalities were not supported by the imaging findings.
Treatment and management. Initial treatment involved the placement of an external ventricular drain following the initial CT, with subsequent clinical improvement. At the initial evaluation, the upfront option of flow diversion was not considered as the lesion was not identified. Following the results of the second DSA, the observed spasm and stenosis raised concerns about the appropriate sizing of the flow diverter.
Open microsurgical clip trapping was attempted to manage the aneurysm. However, due to insufficient anterior cerebral artery flow, the intraoperative revision to clip reconstruction was done with a 5 mm angled fenestrated clip stacked with two 4 mm straight fenestrated clips.
Following worsening mental status and vasospasm 4 days later, the patient underwent serial endovascular vasospasm treatment with verapamil and was implanted with a frontal ventriculoperitoneal shunt with a fixed medium pressure valve. Dual antiplatelet therapy with apixaban 5 mg twice daily and ticagrelor 90 mg twice daily was initiated after the pipeline embolization procedure.
Outcome and follow-up. A follow-up angiogram conducted 19 days post-initial event showed a stable reconstructed A1 but with persistent proximal stenosis. She was discharged without neurological deficits.
A CT of the head done 7 weeks following reconstruction showed stable ventricular size and no new hemorrhage. However, repeat angiography showed growth in the ectatic portion of the right A1 blood blister-like aneurysm (Figure 5), which was successfully treated with pipeline embolization (Figure 6). The 4-month follow-up revealed no evidence of recurrence and the patient has since made a full recovery.

Figure 5. The DSA demonstrating a blood-blister like aneurysm recurrence.

Figure 6. Pipeline flow diversion used to treat the patient’s aneurysm recurrence.
Discussion. Blood blister-like aneurysms (BBAs) are a rare and clinically challenging subset of intracranial aneurysms. They are characterized by fragility, broad based neck, lack of a distinct boundary between the aneurysm neck and its parent vessel, high risk of rupture, and potential for postoperative recurrence.1-4 The gold standard for diagnosis remains DSA, particularly when initial CTA is negative.4 Our patient presented with a Hunt and Hess Grade 4, Fisher Grade 4 subarachnoid hemorrhage with a negative initial cerebral angiogram. A subsequent angiogram revealed a dissecting pseudoaneurysm.
The incidence of initially negative angiograms in patients with aneurysms that later become evident on subsequent imaging is well-documented in the literature, seen in approximately 15% of cases, and particularly among those with nonperimesencephalic bleeding patterns.5,6 This scenario is not uncommon in clinical practice. As in this case, it is important to maintain a high index of suspicion and perform repeat angiography in patients with subarachnoid hemorrhage and initially negative angiograms when clinical suspicion for an underlying aneurysm remains high.
Open surgical management for BBAs includes microsurgical clipping, trapping with or without extracranial-intracranial bypass surgery, suturing, clip wrapping, and combination suturing and clipping. Microsurgical clipping involves obliteration of the aneurysm by closure of the aneurysm neck.7 It is postulated that if pre-operative transcranial doppler, balloon occlusion test, or compression tests demonstrates sufficient collateral blood flow, then clipping leads to positive outcomes even when there is resultant stenosis of the parent vessel.8,9 However, clipping BBAs carries risk of intraprocedural rupture and subsequent need for future internal carotid artery sacrifice, which can lead to stroke and/or poor outcomes. Post-operative clip slippage may also occur, leading to intracranial hemorrhage and the need for further intervention.9 Open microsuturing is another feasible intervention but shares a similar risk profile.10-12 Direct clipping at the base can lead to rupture due to the fragility. Therefore, clip wrapping, which involves using a wrap, such as an expanded polytetrafluoroethylene (ePTFE) wrap13 to surround the parent artery and BBA is a viable solution. Clipping around the wrap facilitates decreased rupture complications while providing protection for the aneurysm.9,14 Clip wrapping involves sacrificing the parent artery by clipping the proximal and distal portions, leading to aneurysm obliteration. An extracranial-intracranial bypass or radial artery bypass may be required if collateral circulation is insufficient.9
Considering that a BBA is a type of pseudoaneurysm that is only covered with a thin adventitial layer, endovascular coiling alone is not effective. Other endovascular techniques that have been used include flow-diversion and stent-assisted coiling.3,4 The current literature is largely inconclusive as to whether endovascular techniques provide significant advantages over open microvascular techniques. For example, some studies show similar outcomes3 while others show improved outcomes and decreased morbidity with endovascular techniques.15 These studies are limited by low sample sizes and potential for publication bias. Furthermore, the proper use of anticoagulation following stenting in these scenarios is not well established. The lack of anticoagulation may lead to in-stent thrombosis, while dual-antiplatelet therapy may increase the risk of BBA recurrence and contribute to increased risk for post-operative intra-cranial hemorrhage due to rupture.9,16 The combination of clip trapping and flow diversion has not been well studied.
In our case, the evolving presentation of the lesion influenced our treatment strategy. Had the lesion been identified on the initial DSA, flow diversion could have been considered as a viable treatment option. However, by the time the dissecting pseudoaneurysm was detected, concerns arose regarding the appropriate sizing for flow diversion. This led us to opt for open surgical management, utilizing a combination of clip trapping and reconstruction followed by pipeline embolization. This approach was ultimately successful, emphasizing the importance of adaptability in the management of complex BBAs.
The heterogeneity in the published surgical data and the limited follow-up period in existing studies make it challenging to establish a gold-standard treatment modality. The need for larger, more homogeneous cohorts for future research is evident. The role of genetic and lifestyle factors in the development of these dissecting pseudoaneurysms should also be considered in future studies.
Adding to the complexity is the uncertainty surrounding the pathogenesis of BBAs. Although atherosclerosis and dissection have been cited as primary factors, the exact pathogenesis remains unclear, further complicating treatment strategies.17 More research is needed in both histopathological and hemodynamic studies to provide a more comprehensive understanding of BBAs and guide optimal treatment strategies.
In conclusion, BBAs pose significant diagnostic and therapeutic challenges, necessitating an individualized and adaptable approach to management. Our case provides insights into the complexities of managing BBAs and adds to the existing body of literature that continues to grapple with defining best practices for this rare but life-threatening condition.
- Meling TR, Sorteberg A, Bakke SJ, Slettebø H, Hernesniemi J, Sorteberg W. Blood blister-like aneurysms of the internal carotid artery trunk causing subarachnoid hemorrhage: treatment and outcome. J Neurosurg. 2008;108(4):662-671. doi:10.3171/jns/2008/108/4/0662
- Sim SY, Shin YS, Cho KG, et al. Blood blister-like aneurysms at nonbranching sites of the internal carotid artery. J Neurosurg. 2006;105(3):400-405. doi:10.3171/jns.2006.105.3.400
- Eide PK, Sorteberg A, Nome T, Rønning PA, Sorteberg W. Early surgical versus endovascular repair of ruptured blood-blister aneurysm of the internal carotid artery: a single-center 20-year experience. J Neurosurg. 2022;137(6):1766-1775. doi:10.3171/2022.3.Jns2216
- Liu LX, Zhang CW, Xie XD, Wang CH. Application of the Willis covered stent in the treatment of blood blister-like aneurysms: a single-center experience and systematic literature review. World Neurosurg. 2019;123:e652-e660. doi:10.1016/j.wneu.2018.11.245
- Topcuoglu MA, Ogilvy CS, Carter BS, Buonanno FS, Koroshetz WJ, Singhal AB. Subarachnoid hemorrhage without evident cause on initial angiography studies: diagnostic yield of subsequent angiography and other neuroimaging tests. J Neurosurg. 2003;98(6):1235-1240. doi:10.3171/jns.2003.98.6.1235
- Yu DW, Jung YJ, Choi BY, Chang CH. Subarachnoid hemorrhage with negative baseline digital subtraction angiography: is repeat digital subtraction angiography necessary? J Cerebrovasc Endovasc Neurosurg. 2012;14(3):210-215. doi:10.7461/jcen.2012.14.3.210
- Acciarri N, Toniato G, Raabe A, Lanzino G. Clipping techniques in cerebral aneurysm surgery. J Neurosurg Sci. 2016;60(1):83-94.
- Yu J, Xu B, Guo Y, Xu K. Direct clipping of a blister-like aneurysm in the supraclinoid segment of the internal carotid artery: a clinical analysis of nine cases. Int J Clin Exp Med. 2015;8(11):21786-21795.
- Ji T, Guo Y, Huang X, Xu B, Xu K, Yu J. Current status of the treatment of blood blister-like aneurysms of the supraclinoid internal carotid artery: a review. Int J Med Sci. 2017;14(4):390-402. doi:10.7150/ijms.17979
- Chen F, Zhang L, Cheng Q, Huang Z, Huang J, Wang J. Suturing treatment for blood blister-like aneurysm in supraclinoid segment of internal carotid artery. World Neurosurg. 2018;109:271-274. doi:10.1016/j.wneu.2017.09.203
- Liu C, Shi X, Zhou Z, et al. Microsuturing technique for the treatment of blood blister aneurysms: a series of 7 cases. World Neurosurg. 2020;135:e19-e27. doi:10.1016/j.wneu.2019.10.084
- Wang L, Cai L, Qian H, Shi X. Microsurgical suturing technique for blood-blister aneurysm of middle cerebral artery: 2-dimensional surgical video. World Neurosurg. 2018;118:148-149. doi:10.1016/j.wneu.2018.06.195
- Safavi-Abbasi S, Moron F, Sun H, et al. Techniques and outcomes of Gore-Tex clip-wrapping of ruptured and unruptured cerebral aneurysms. World Neurosurg. 2016;90:281-290. doi:10.1016/j.wneu.2016.02.109
- Kubo Y, Ogasawara K, Tomitsuka N, Otawara Y, Watanabe M, Ogawa A. Wrap-clipping with polytetrafluoroethylene for ruptured blisterlike aneurysms of the internal carotid artery. Technical note. J Neurosurg. 2006;105(5):785-787. doi:10.3171/jns.2006.105.5.785
- Wu YQ, Li LZ, Wang ZY, Zhang T, Xu M, Cheng MX. Endovascular intervention with a low-profile visualized intraluminal support stent versus surgical clipping for blood blister-like aneurysms: a retrospective study. Clin Neuroradiol. 2021;31(2):417-424. doi:10.1007/s00062-020-00886-2
- Monteiro A, Khan A, Donnelly BM, et al. Treatment of ruptured intracranial aneurysms using the novel generation of flow-diverters with surface modification: a systematic review and meta-analysis. Interv Neuroradiol. 2022:15910199221117921. doi:10.1177/15910199221117921
- Zhai XD, Hu P, He C, Feng YS, Li GL, Zhang HQ. Current knowledge of and perspectives about the pathogenesis of blood blister-like aneurysms of the internal carotid artery: a review of the literature. Int J Med Sci. 2021;18(9):2017-2022. doi:10.7150/ijms.53154
AFFILIATIONS:
1Department of Radiology, University of Florida, Gainesville, FL
2College of Medicine, University of Florida, Gainesville, FL
3University of Florida, Gainesville, FL
4Department of Surgery, Rutgers Medical School, New Brunswick, NJ
5Department of Neurosurgery, University of Florida, Gainesville, FL
CITATION:
Pierre K, Kwak S, Root K, et al. Management of a recurrent A1 blood blister-like aneurysm complicated by rupture. Consultant. Published online June 20, 2024. doi:10.25270/con.2024.06.000005
Received October 29, 2023. Accepted April 8, 2024.
DISCLOSURES:
The authors report no relevant financial relationships.
ACKNOWLEDGEMENTS:
None.
CORRESPONDENCE:
Kevin Pierre, 1600 SW Archer Road, Gainesville, FL, 32608 (kpierre150@gmail.com)
