Volume 62 - Issue 2 - February 2022

Consultant

Featured
Original Research
Original Research
07/21/2023
In this article, authors examined the patterns of cannabis use, misuse, and dependence in patients with psychiatric or anxiety disorder diagnoses in California from 2015 to 2018.
07/21/2023
What's Your Diagnosis?
What's Your Diagnosis?
08/23/2023
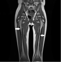
An 8-year-old nonverbal autistic girl presented with her parents to our emergency department with a 6-week history of a progressively worsening limp. At onset, the patient had a mild limp, left-sided...
08/23/2023
What’s the Take Home?
What’s the Take Home?
08/18/2023
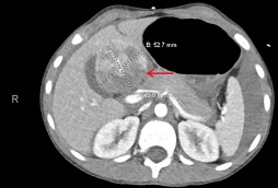
A 22-year-old woman presents to urgent care with a 2-day history of progressive abdominal discomfort. She first noticed the vague onset of generalized abdominal discomfort and anorexia. This was not...
08/18/2023
Case In Point
Case In Point
07/14/2023
A 9-year-old boy presented to the emergency department with a seizure-like episode. There were no abnormalities noted on physical examination, with an intact neurologic examination. No focal defects were...
07/14/2023
Photoclinic
Photoclinic
06/02/2023
A 57-year-old-man presented to the eye clinic with painless decreased vision of unknown onset that he attributed to needing new glasses.
06/02/2023
Case in Point
Case in Point
03/10/2023
A 68-year-old woman presented to the emergency department with chills, fatigue, and a sore throat of 1 week duration. Three days prior to presentation, her symptoms had progressed to generalized weakness...
03/10/2023
Diabetes Q&A
Diabetes Q&A
02/28/2023
Glucagon-like peptide 1 (GLP-1) agonists are an important class of medications for patients with type 2 diabetes and should be considered for long-term therapy.
02/28/2023
Photoclinic
Photoclinic
02/24/2023
A previously healthy, 13-year-old boy presented to our hospital with a painful mass in the left popliteal fossa. Approximately 3 weeks prior to presentation, he had reported injuring his left lower...
02/24/2023
Photo Quiz
Photo Quiz
02/16/2023
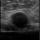
A 22-year-old man with morbid obesity presented to the clinic with a painless lump in his upper abdominal wall that had grown by 30% to 40% from October 2019 to January 2020.
02/16/2023
Photo Essay
Photo Essay
01/13/2023
This article is part of a series describing and differentiating dermatologic lumps and bumps. In part 13, ranula and mucocele are described.
01/13/2023
Photoclinic
Photoclinic
12/31/2022
A 2-day-old boy was brought to the well-baby nursery with edema of the right thigh. There was no abnormality noted at birth.
12/31/2022
Photoclinic
Photoclinic
12/16/2022
A 10-year-old boy with no significant medical history presented for evaluation after an unwitnessed fall forward from rollerblades onto asphalt. The patient reported no loss of consciousness after the fall...
12/16/2022
Photo Quiz
Photo Quiz
12/16/2022
A 62-year-old man presented to the clinic with an enlarging lesion on his left shin. The lesion had progressively grown in size and, in the last few weeks, has been associated with a yellowish discharge,...
12/16/2022