Volume 59 - Issue 4 - April 2019

Consultant

Photoclinic
Photoclinic
08/25/2022
A 23-year-old active-duty Navy helicopter mechanic presented to dermatology for evaluation of an irritated bump behind his left ear that had been present for 3 weeks.
08/25/2022
What's the Take Home?
What's the Take Home?
06/08/2022
The family of an 88-year-old man brought him to the office out of concern for changes in his status.
06/08/2022
Photoclinic
Photoclinic
12/13/2021
A 51-year-old African American woman with a more than 20-year history of severe plaque psoriasis presented to the clinic due to a flare-up of her symptoms.
12/13/2021
Photoclinic
Photoclinic
07/02/2021
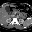
A 70-year-old woman presented to the emergency department with right lower quadrant abdominal pain, nausea, and vomiting.
07/02/2021
Feature Article
Feature Article
04/30/2020
The human body has an array of physiologic mechanisms available to withstand the effects of environmental heat stress and humidity. Despite this, athletes routinely succumb to the effects of exertional heat...
04/30/2020
Photoclinic
Photoclinic
01/21/2020
A 19-year-old woman presented with nausea, vomiting, epigastric abdominal pain with radiation to her back, and bilateral hip, knee, and ankle joint pain for the past 5 hours.
01/21/2020
Diabetes Q&A
Diabetes Q&A
04/04/2019
Diabetes is a common condition and affects approximately 7% of all US pregnancies, of which 86% are in women with gestational diabetes mellitus.
04/04/2019
Photo Quiz
Photo Quiz
03/11/2019
A 75-year-old man with a history of multiple basal cell and squamous cell carcinomas of the face and scalp presented for a total body skin examination. A hyperpigmented depression was noted 1 cm lateral to...
03/11/2019
What's Your Diagnosis?
What's Your Diagnosis?
03/11/2019
A 48-year-old man presented to his primary care office with numerous firm yellow nodules attached to his armpit hairs for several weeks.
03/11/2019
Case In Point
Case In Point
03/05/2019
A 44-year-old active-duty service member stationed in Japan presented to his primary care physician with a single shallow 1.5-cm nonhealing erosion on his scalp for 3 weeks.
03/05/2019
Photoclinic
Photoclinic
03/04/2019
Lynnette J. Mazur, MD, MPH; Michelle Bailey, MD; Kristin Vrotsos, MD
A 2-month-old African American girl presented for a routine well-child visit. Her parents had noticed brown horizontal lines across her abdomen that had been present since birth.
03/04/2019
Photoclinic
Photoclinic
02/04/2019
A newborn boy, who had been born at 39 weeks and 1 day of gestation via primary cesarean delivery due to transverse lie, was noted at delivery to have an enlarged umbilical cord.
02/04/2019