Volume 13 - Issue 8 - August 2014

Consultant for Pediatricians

literacy
literacy
10/17/2014
Lisa Ball, DO; W. Michael Brown, MD
Reach Out and Read is a national program whose mission is preparing the United States’ youngest children to succeed in school by partnering with health care providers to prescribe books and encourage...
10/17/2014
Photo Quiz
Photo Quiz
08/11/2014
Alexander K.C. Leung, MD, MBBS, FRCPC, FRCP; Benjamin Barankin, MD, FRCPC
A 17-year-old boy presented with a 2-year history of numerous asymptomatic nodules on the scrotal skin. The nodules had begun as papules and had gradually increased in size and number over time.
08/11/2014
lipodermoid
lipodermoid
08/10/2014
Bhagwan Das Bang, MD
This young patient presented with a lipodermoid, a benign subconjunctival lesion. These fatty, yellow-white choristomas usually are located near the temporal fornix.
08/10/2014
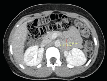
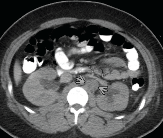
pheochromocytoma
pheochromocytoma
08/10/2014
Jimisha Patel, MD; Kieran Leong, DO; Erin Conlin, MD; Eileen Baez-Irizarry, MD; Randall Craver, MD; Caroline Straatmann, MD; Michael Marble, MD; Alfonso Vargas, MD; Kenneth Ward, MD; Kathryn Beatty, MD
A 12-year-old girl with no significant past medical history presented with a 1-week history of chest pain, which she described as tightening with hyperventilation.
08/10/2014
dysplasia
dysplasia
08/10/2014
Elizabeth Badowski, MS, CNP
A 6-year-old girl presented to a pediatric orthopedic surgeon for evaluation of a prominence below her right knee.
08/10/2014
polyps
polyps
08/10/2014
Erica Co-Reyes, MD; Ronen Zipkin, MD; Jodi Nagelberg, BA, MHA
A previously healthy 3-year-old girl presented to the emergency department (ED) with a 2-day history of bloody stools and abdominal pain.
08/10/2014
snake
snake
08/10/2014
Cynthia H. Ho, MD; Erin G. Newman, MD; Cynthia L. Stotts, DO
A 12-year-old girl was emergently transported emergently by helicopter to the emergency department 1 hour after having sustained a rattlesnake bite to her left foot while she had been camping in Southern...
08/10/2014
MRSA
MRSA
08/10/2014
Hitesh Agrawal, MD; Gunjan Dokania, MD; Arcia Rosibell, MD; John H. Stroger, Jr.
A 10-month-old boy presented to the emergency department (ED) with a 2-week history of painful right-sided swelling of the neck along with fever as high as 40.5°C.
08/10/2014
Cough
Cough
08/08/2014
Virginia Dines, BS; Mary Jane Reen, BA; Yvonne Yui, MD; Riva Kamat, MD
A 10-month-old, previously healthy, and fully immunized girl presented to our hospital with cough and respiratory distress.
08/08/2014
ehlers danlos
ehlers danlos
08/08/2014
Golder N. Wilson, MD, PhD
A 17-year-old girl presented to her pediatrician with a request for reevaluation of her numerous symptoms that she believed had been misdiagnosed as anxiety disorder and chronic fatigue syndrome.
08/08/2014
pharyngitis
pharyngitis
08/08/2014

Alexander K. C. Leung, MD—Series Editor; Benjamin Barankin, MD; and Kam-Lun Ellis Hon, MD

Alexander K. C. Leung, MD—Series Edit...
A 10-year-old girl presented with a 3-day history of fever, sore throat, pain on swallowing, and headache. There was no associated cough, runny nose, or hoarseness. She had been exposed to a child with sore...
08/08/2014
rhabdomyosarcoma
rhabdomyosarcoma
08/08/2014
Nian Verzosa; Shaun Deese, MD; Harleena Kendhari, MD
A 17-year-old male presented with swelling and pain in his left leg.
08/08/2014
Dermatitis
Dermatitis
08/08/2014
Elise M. Herro, MD; Sharon E. Jacob, MD
Pediatric allergic contact dermatitis (ACD) has become an increasingly recognized condition in the last decade, with recent U.S. prevalence estimates ranging from 41% to 77% based on confirmed positive...
08/08/2014
Tinea
Tinea
08/08/2014
Ahdi Amer, MD
An 8-year-old African American girl was brought in for evaluation following a visit to an outside emergency department (ED) 5 days previously.
08/08/2014
Primary Care
Primary Care
08/08/2014
Readers of Consultant for Pediatricians tell me they most appreciate articles that describe a pediatric condition and offer practical guidance about the best diagnostic tests and therapies to care for the...
08/08/2014