Case in Point: Alveolar Rhabdomyosarcoma: A Rare Malignancy Presenting as Hypertension
A 17-year-old male presented with swelling and pain in his left leg. The adolescent was obese, with a body mass index of 38.4 kg/m2. On presentation, his blood pressure was elevated at 180/111 mm Hg, and results of laboratory tests showed an elevated creatinine level of 1.7 mg/dL.
Based on the leg pain and swelling, he received a diagnosis of cellulitis. He was admitted to the hospital and treated with antibiotics. The hypertension and elevated creatinine were attributed to the pain but were refractory to intravenous pain medications. Results of the workup for secondary causes of hypertension, including fractional excretion of sodium, cortisol, urinary eosinophils, urinalysis, echocardiography, and renal Doppler ultrasonography, were negative. The patient was diagnosed with primary hypertension and was treated with amlodipine and furosemide, with good response noted.

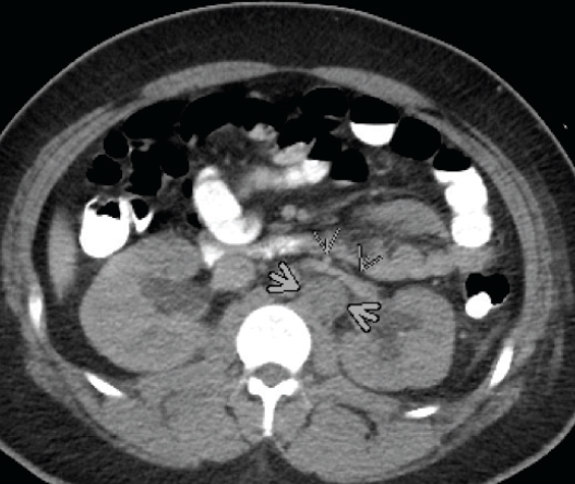
Figure 1. Axial computed tomography image, at the level of the renal veins, showing a large metastatic retroperitoneal lymph node (large arrowheads) displacing the left renal vein anteriorly (small arrowheads).
At the post-hospital follow-up, the patient’s blood pressure was 160/98, his creatinine level was 12.6 mg/dL, and he was anuric. He was admitted to the pediatric intensive care unit, at which time findings of a genitourinary examination included a left testicular/scrotal mass that had not been noted previously.
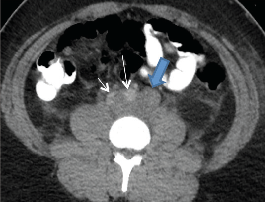
Computed tomography (CT) scans (Figure 1) revealed a retroperitoneal mass infiltrating the genitourinary system, causing external compression of the left ureter and displacing and partially encasing the aorta and inferior vena cava. CT scans also revealed a large metastatic retroperitoneal lymph node displacing the left renal vein anteriorly (Figure 2).
A biopsy sample of the mass was obtained, and pathology test results (Figure 3) were positive for myogenin, a specific marker for rhabdomyosarcoma (RMS). Subsequently, the patient received a diagnosis of retroperitoneal alveolar RMS.

Figure 2. Axial computed tomography image, at a level just above aortic bifurcation, showing a large retroperitoneal mass (large blue arrow) displacing and partially encasing the aorta (long thin arrow) and inferior vena cava (short thin arrow).
DISCUSSION
Secondary hypertension is more common in U.S. children, but the prevalence of primary hypertension is increasing,1 in part due to increasing rates of obesity (Figure 4).2,3 The U.S. prevalence of hypertension among obese children is estimated at 11%.4,5 Primary hypertension, once considered a disease of adulthood, now is being diagnosed frequently in children.
Although primary hypertension is the most common cause of hypertension in adolescents, it still is considered a diagnosis of exclusion, and an index of suspicion must be maintained for secondary causes of hypertension.1
Our patient’s negative workup for secondary hypertension, his obesity, and the positive response to antihypertensives led to a diagnosis of primary hypertension.3 But the hypertension’s underlying pathology was a rare pediatric malignancy, RMS.
RMS accounts for 3.5% of childhood cancers.6 It usually presents in children younger than 14 years of age, and 30% of cases present in the retroperitoneum.6 The most common initial symptoms of retroperitoneal RMS are ascites and urinary obstruction,6 which were not present at our patient’s admission.

Only 3 cases have been reported in the literature in which patients with RMS initially presented with hypertension.7-9 Accordingly, based on our patient’s presentation and negative workup, the clinical suspicion for RMS was low. Magnetic resonance imaging (MRI) is the diagnostic modality of choice for suspected cases of RMS.7 Without a high index of suspicion for RMS, an MRI would not be pursued simply for hypertension.
This case offers an example of the importance of maintaining a high index of suspicion for secondary causes of hypertension, even with an essentially normal workup, particularly in cases where presenting symptoms are inconsistent with the final diagnosis. This case reflects the importance of pursuing a careful physical examination and comprehensive workup of newly diagnosed hypertension in children and adolescents before settling on a diagnosis of primary hypertension.

Figure 3. Immunohistochemical stain showing tumor cells positive for myogenin, a specific marker for rhabdomyosarcoma.
Nian Verzosa is a third-year medical student at the University of Illinois College of Medicine at Peoria.
Shaun Deese, MD, is a resident at OSF Saint Francis Medical Center and Children’s Hospital of Illinois in Peoria.
Harleena Kendhari MD, is an assistant clinical professor of pediatrics at the University of Illinois College of Medicine and a pediatric hospitalist at Children’s Hospital of Illinois.
REFERENCES
1. Rosner B, Cook NR, Daniels S, Falkner B. Childhood blood pressure trends and risk factors for high blood pressure: the NHANES experience 1988-2008. Hypertension. 2013;62(2):247-254.
2. Chiolero A, Cachat F, Burnier M, Paccaud F, Bovet P. Prevalence of hypertension in schoolchildren based on repeated measurements and association with overweight. J Hypertens. 2007;25(11):2209-2217.
3. Tu W, Eckert GJ, DiMeglio LA, Yu Z, Jung J, Pratt JH. Intensified effect of adiposity on blood pressure in overweight and obese children. Hypertension. 2011;58(5):818-824.
4. Falkner B, Gidding SS, Ramirez-Garnica G, Wiltrout SA, West D, Rappaport EB. The relationship of body mass index and blood pressure in primary care pediatric patients. J Pediatr. 2006;148(2):195-200.
5. Sorof JM, Lai D, Turner J, Poffenbarger T, Portman RJ. Overweight, ethnicity, and the prevalence of hypertension in school-aged children. Pediatrics. 2004;113(3 pt 1):475-482.
6. McDowell HP. Update on childhood rhabdomyosarcoma. Arch Dis Child. 2003;88(4):354-357.
7. Yi X, Long X, Xiao D, Zai H, Li Y. Rhabdomyosarcoma in adrenal region of a child with hypertension and fever: a case report and literature review. J Pediatr Surg. 2013;48(3):e5-e8.
8. Katayama A, Otsuka F, Takeda M, et al. Rhabdomyosarcoma discovered in the adrenal region of an elderly hypertensive patient. Hypertens Res. 2011;34(6):784-786.
9. Selvaggi FP, Fabiano G, Santacroce S. Hypertensive renal rhabdomyosarcoma. Eur Urol. 1979;5(6):371-372.
