Volume 13 - Issue 7 - July 2014

Consultant for Pediatricians

Lesion
Lesion
07/15/2014
Hytham Fadl, MD
A 5-year-old African American girl presented with a skin lesion on the dorsum of her left foot.
07/15/2014
Scabies
Scabies
07/10/2014
Bhagwan Das Bang, MD
A 6-week-old girl was brought to the office for evaluation of a rash. The mother reported that the infant also had been fussy and had not been eating well, but had had no fever and was otherwise fine. ...
07/10/2014
lumbar
lumbar
07/09/2014
Harsha K. Chandnani, MD; Pirapar Patamasucon, BA
A 20-month-old boy presented with difficulty walking and an abnormal gait secondary to reported back pain. The pain had gradually worsened over the previous 2 months and was relieved temporarily with...
07/09/2014
transient pigmentary lines
transient pigmentary lines
07/08/2014
Lynnette J. Mazur, MD, MPH; Michelle Bailey, MD; Kristin Vrotsos, MD
A 5-week-old African American girl presented for her 2-week well-child visit. She had been born at 35 weeks’ gestation to a mother who was HIV-positive but who took no antiretroviral medications during...
07/08/2014
Foreign Body
Foreign Body
07/07/2014
Ron Mitchell, MD; Rachel St. John, MD, CMHC, NCC, NIC-A
A 10-year-old girl with moderate bilateral sensorineural hearing loss was seen in the otorhinolaryngology clinic for a follow-up visit. She wore her hearing aids regularly, both in school and at home. ...
07/07/2014
myositis
myositis
07/07/2014
Michele Lossius, MD; Iain Elliott, MD
A previously healthy 8-year-old boy presented after having injured his left arm while playing football 2 weeks prior. Radiographs obtained at that time showed no fractures.
07/07/2014
CRPS
CRPS
07/07/2014
Lynnette J. Mazur, MD, MPH; Mfon Ekong, MD; Anissa Meher-Homji, BS
A 10-year-old girl presented with a 3-month history of right knee pain and difficulty walking after her pet German shepherd bumped her leg. She also complained of a 2-week history of hair growth below her...
07/07/2014
Gender Disparities
Gender Disparities
07/07/2014
Chalanda Jones, MD
In 2012, there were approximately 67 million working women in the United States, making up 57% of the general workforce in professional occupations.
07/07/2014
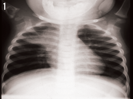
Tuberculosis
Tuberculosis
07/07/2014
Laila Wilbur Powers, MD; Nazha Abughali, MD; Frits van der Kuyp, MD, MPH; David Effron, MD
The mother of an 18-month-old African American boy brought him to the emergency department with a chief concern of a swollen right shoulder.
07/07/2014
candidal intestinitis
candidal intestinitis
07/07/2014
Adam Tawney; Larisa V. Debelenko, MD, PhD; Sureyya Savasan, MD; Kathleen Meert, MD; Eric J. McGrath, MD; Hazar Kobayaa, MD
An 8-year-old boy who had undergone an orthotopic heart transplant at 2 years of age for dilated cardiomyopathy, and who was on chronic immunosuppression with tacrolimus, received a diagnosis of acute...
07/07/2014
Warts
Warts
07/07/2014

Alexander K. C. Leung, MD—Series Editor, and Benjamin Barankin, MD

Alexander K. C. Leung, MD—Series Edit...
An 8-year-old boy presented with flesh-colored lesions of 3 years’ duration in the perioral area. He had a habit of lip licking.
07/07/2014
Hospital Medicine
Hospital Medicine
07/01/2014
Neelkamal S. Soares, MD; Rebecca Drumheller; Cora M. Taylor, PhD
My daughter has been hospitalized with a serious illness that will require many invasive procedures. It was suggested that child life services be involved in her care. What can a child life specialist do...
07/01/2014
plexopathy
plexopathy
07/01/2014
Bhargavi B. Kola, MD, MPA
An 11-month-old girl presented to the ED with a 1-week history of upper respiratory infection symptoms and an intermittent fever as well as a 5-day history of a right-sided limp.
07/01/2014
tuberous sclerosis
tuberous sclerosis
07/01/2014
William Shin, MD
An 11-year-old girl presented to our clinic with history of patches of light-colored skin on her abdomen.
07/01/2014
congenital abnormalities
congenital abnormalities
06/30/2014
Alejandra Gaxiola, MD; Rajeev Kumar, MD, FRCPC, CMD, FACP; Vanessa Davis, MD
The presence of ambiguous genitalia is an endocrine and social emergency that requires the efficient determination the sex of the infant and the underlying cause.
06/30/2014