A Boy With a Swollen Shoulder
The mother of an 18-month-old African American boy brought him to the emergency department with a chief concern of a swollen right shoulder. The boy was a native-born American who resided in the inner city.
The mother denied any significant past medical history in the boy, including trauma, fevers, malaise, and behavioral changes. She stated that during the past 4 to 5 months, the child had been using the right arm less. He had been seen at least twice previously in an urgent care setting for this complaint. The mother stated that a radiograph of the extremity had been obtained during one of the urgent care visits and had been interpreted as normal. The child’s immunizations were not up to date.
On the day of presentation, the child was noted to be alert, active, and throwing toys with both upper extremities. Vital signs included a temperature of 37.1°C, heart rate of 160 beats/min, respiratory rate of 28 breaths/min, and a weight of 13.5 kg. On physical examination, the right shoulder was warm, tender, and erythematous. Peripheral pulses were intact, no other joint or skin involvement was noted, and the lungs were clear to auscultation.

The white blood cell (WBC) count was 15,800/µL with no left shift, hematocrit level was 26.9%, and electrolytes, blood urea nitrogen, creatinine, and glucose levels were normal.
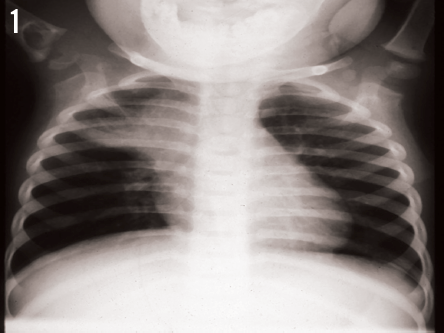
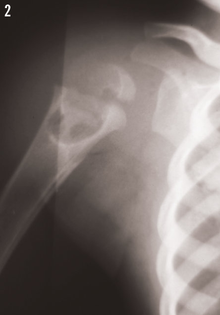
Radiographs of the right shoulder demonstrated a large cystic lesion in the proximal humerus with a lytic process extending across the physis into the epiphysis proximally. A large paratracheal lymph node also was noted on radiographs of both the chest (Figure 1) and the shoulder (Figure 2).

How do you interpret these images?
A. Fracture of the proximal humerus
B. Brucellosis
C. Skeletal tuberculosis
D. Multiple myeloma
(Answer and discussion on next page)
Answer: C, skeletal tuberculosis
The boy’s swollen lymph node raised suspicion for tuberculosis (TB). Orthopedic surgery and pediatric infectious disease specialists were consulted. The patient underwent ultrasound-guided aspiration of the shoulder, during which a large amount of purulent-appearing fluid was aspirated. Gram staining of the synovial fluid revealed few polymorphonuclear leukocytes and no organisms. The WBC count of the fluid was 34,000/µL.
The patient was taken to the operating room by the orthopedic surgeon for open irrigation, debridement, and biopsy. Intraoperatively, the bone was noted to have been extensively damaged, with near-total destruction of the physeal plate and a large amount of purulence.
Upon further questioning by the pediatric infectious disease physician about any history of TB exposure, the mother admitted that about a year ago, her son had been exposed to an uncle who had pulmonary TB. She said that her son had not been screened for TB by the county TB clinic and had not received isoniazid prophylaxis.
Tuberculin skin test results were positive, with 20 mm of induration. Results of acid-fast bacillus (AFB) staining of synovial fluid were negative, but auramine-rhodamine stain results were positive. A surgical pathology specimen was positive for AFB on Ziehl-Neelsen staining. Pathology results were positive for necrotizing granulomatous inflammation consistent with tuberculous osteomyelitis and tuberculous arthritis.

Discussion
Tuberculous osteomyelitis in children in developed countries is very unusual. In the late 1990s, the incidence in developed countries was from 0.3 to 1.0 cases per 10,000 per year.1 An upsurge in cases (particularly with spinal involvement) in young immigrants, particularly those from Asia, was noted in parts of Europe in the 1980s.2 Several studies have highlighted osteoarticular involvement at the following sites, in decreasing order of frequency: spine, hip, sternoclavicular joint/knee, radius/ulna, foot/ankle, elbow, shoulder, and ribs.1-3
Agarwal and colleagues,4 in their study of the clinicosocial aspects of osteoarticular TB in a city in northern India, found the disease to be relatively common in the first and second decades of life, with decreasing incidence in the elderly—the opposite of developed countries. Spinal involvement was predominant, with weight-bearing joints also commonly involved. Shoulder involvement was rare. Chronic pain, swelling, impaired range of motion, deformities, sinuses, and cold abscesses were common in cases of long-standing chronic disease. Onset of disease was insidious in 94% of patients, with an average delay of 12 to 19 months after diagnosis.4
Autzen and Elberg2 discovered that 70% of Danish patients with tuberculous bone and joint pathology between 1972 and 1984 had no previous history of TB, and only 20% had active pulmonary TB at the time of diagnosis. In addition, 18% of the bone and joint TB occurred in young Asian immigrants to Denmark. No Danish children had tuberculous disease.
Dolberg and colleagues1 noted that extrapulmonary TB accounted for 33% of all new cases of TB identified at one medical center in Israel over the course of 10 years in the late 1980s. Bone and joint involvement accounted for 8% of the 92 cases, with genitourinary TB accounting for 54%. Heterogeneity in this population was believed to be a major contributor to the relatively high incidence of extrapulmonary TB.
With the resurgence of TB in the United States, particularly among the homeless, indigent, immigrant, and immunocompromised populations, a high index of suspicion must be maintained for a tuberculous etiology of joint pathology.
Outcome of the Case
Eventually, the results of bone biopsy and synovial fluid culture were positive for drug-sensitive Mycobacterium tuberculosis. The child was started on a daily regimen of oral isoniazid, oral rifampin, oral pyrazinamide, and intramuscular streptomycin. The streptomycin was stopped when the sensitivity results became available.
A follow-up shoulder radiograph at 1 month demonstrated improvement of the lytic lesion (Figure 3). He eventually received 2 months of the 3-drug regimen—isoniazid, rifampin, and pyrazinamide—and completed a year of therapy with isoniazid and rifampin under the supervision of the county TB program’s direct observation therapy, and he did very well.

Take-Home Messages
TB continues to be a worldwide health problem. In developed countries, skeletal TB’s incidence had declined steadily for a time.1,2 However, recent studies from North America, Europe, and New Zealand demonstrate a leveling off of this decline.1-3,5 Still, children very rarely present with bone or joint involvement.2
Tuberculous osteoarthritis should be considered in children presenting with a prolonged history of nonacute, nonspecific bone and joint complaints, especially if they have a history of contact with individuals who have active TB or are in high-risk groups such as the indigent, homeless, immigrant, or immunocompromised populations.
Close contacts of persons with TB must be identified immediately and tested for the infection. If young children have had contact with someone with TB, they need to be followed up and placed on isoniazid to prevent long-term TB morbidity. In our case, the county TB clinic should have detected the child’s exposure to TB by investigating the contacts of the infected uncle, and the boy should have received isoniazid prophylaxis.
The relatively low incidence of skeletal TB increases the risk of delayed diagnosis and its associated dramatic increase in morbidity. Changing TB patterns, including the very unusual finding of skeletal TB in native-born U.S. children, require reassessment of populations at risk. n
Laila Wilbur Powers, MD, is a staff physician at the Yampa Valley Medical Center in Steamboat Springs, Colorado.
Nazha Abughali, MD, is an associate professor of pediatrics at Case Western Reserve University and a staff physician in the Department of Pediatrics at MetroHealth Medical Center in Cleveland.
Frits van der Kuyp, MD, MPH, is an associate professor emeritus at Case Western Reserve University and former controller for TB in Cuyahoga County, Cleveland, Ohio.
David Effron, MD, is an assistant professor of emergency medicine at Case Western Reserve University, an attending physician in the Department of Emergency Medicine at MetroHealth Medical Center, and a consultant emergency physician at the Cleveland Clinic Foundation, all in Cleveland, Ohio.
References
1. Dolberg OT, Schlaeffer F, Greene VW, Alkan ML. Extrapulmonary tuberculosis in an immigrant society: clinical and demographic aspects of 92 cases. Rev Infect Dis. 1991;13(1):177-179.
2. Autzen B, Elberg JJ. Bone and joint tuberculosis in Denmark. Acta Orthop Scand. 1988;59(1):50-52.
3. Enarson DA, Fujii F, Nakielna EM, Grzybowski S. Bone and joint tuberculosis: a continuing problem. Can Med Assoc J. 1979;120(2):139-145.
4. Agarwal RP, Mohan N, Garg RK, Bajpai SK, Verma SK, Mohindra Y. Clinicosocial aspect of osteo-articular tuberculosis. J Indian Med Assoc. 1990;88(11):307-309.
5. Gillespie WJ, Mayo KM, Johnstone V. Skeletal tuberculosis in New Zealand since the introduction of chemotherapy. Aust N Z J Surg. 1987;57(10):727-732.
