Volume 13 - Issue 2 - February 2014

Consultant for Pediatricians

acne
acne
02/24/2014
Phillip Matar, MD, MBA
A 17-year-old male presented to the emergency department with a complaint of back, chest, and right hip pain of 6 weeks’ duration, as well as severe acne that was refractory treatment.
02/24/2014
Dermatologic disorders
Dermatologic disorders
02/24/2014
Nirav Shastri, MD; Milton A. Fowler, Jr., MD, MPH; Bhavin Doshi, MD
<p><img src="/sites/default/files/transfer/1402CFP_PC_Dactylitis.jpg" width="115" height="115" style="margin-top: 5px; margin-bottom: 5px; float: left;">A...
02/24/2014
hematoma
hematoma
02/24/2014
Thomas Nichols, MD; Neenah Sumon Bhattacharjee, MD; Scott Harbick, MD
<p><img src="/sites/default/files/transfer/MRI.jpg" width="115" height="115" style="float: left; margin-top: 5px; margin-bottom: 5px;">An 8-year-old boy...
02/24/2014
Eczema Herpeticum
Eczema Herpeticum
02/24/2014
Karolina Janasek, MD; Rebecca C. Butterfield, MD
A 15-month-old girl with a history of poorly controlled atopic dermatitis presented with erythema and scattered lesions around her right eye. Four days before presentation, the child was noted to have 2...
02/24/2014
Port-Wine Stain Versus Salmon Patch
Port-Wine Stain Versus Salmon Patch
02/24/2014

Alexander K. C. Leung, MD

University of Calgary

Benjamin Barankin, MD

Toronto Dermatology Centre

Alexander K. C. Leung, MDUniversity o...
<p><img src="/sites/default/files/transfer/1402CFP_PC_Salmon_0.jpg" width="115" height="115" style="margin-top: 5px; margin-bottom: 5px; float:...
02/24/2014
Seizure
Seizure
02/24/2014
Adam B. Howes, MD; Brian L. Montenegro, MD
A girl was born to a 29-year-old, gravida 2, para 0 mother at term via normal spontaneous vaginal delivery.
02/24/2014
uvula
uvula
02/24/2014

Alexander K. C. Leung, MD; Alex H. C. Wong, MD; and Benjamin Barankin, MD

Alexander K. C. Leung, MD; Alex H. C....
During the physical examination of a 12-year-old girl, bifurcation of the uvula was noted.
02/24/2014
Pediatrics
Pediatrics
02/24/2014
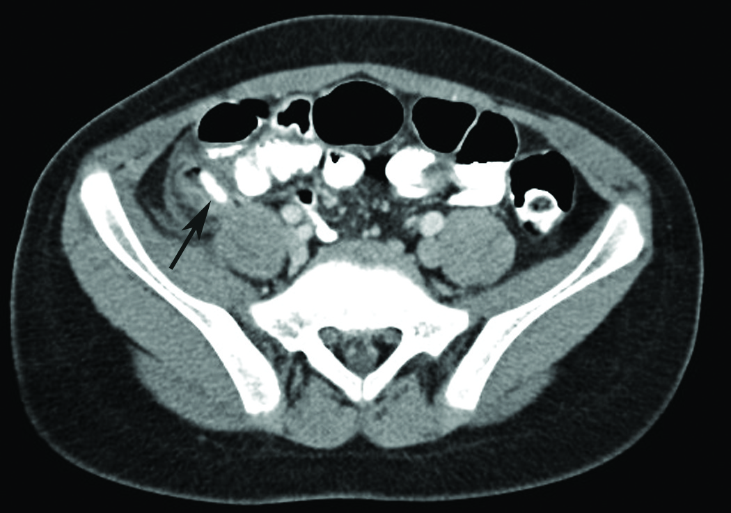
David Effron, MD; Maya C. Myslenski, MD
<p><img src="/sites/default/files/transfer/axial_ct_appendicitis_figure_1.jpg" width="115" height="115" style="margin: 5px; float: left;">An 8-year-old...
02/24/2014
Pediatrics
Pediatrics
02/24/2014
Surasak Puvabanditsin, MD; Eugene Garrow, MD; Jerome Balbin, BS; Michelle Quan, MD; Rajeev Mehta, MD
<p><img src="/sites/default/files/transfer/LH_Fig_1_0.JPG" width="115" height="115" style="margin: 5px; float: left;">A boy was born at 31 weeks’...
02/24/2014
Pediatrics
Pediatrics
02/24/2014
Charles A. Pohl, MD; Chalanda Jones, MD
Children with common conditions in lower-income communities incur higher inpatient costs. But hospital reimbursement is based on disease severity, not on socioeconomics.
02/24/2014
ADHD
ADHD
02/24/2014
Kevin M. Antshel, PhD
With the changes in the recently published fifth edition of the Diagnostic and Statistical Manual of Mental Disorders, the prevalence of attention-deficit/hyperactivity disorder (ADHD) in high school...
02/24/2014
Dermatologic disorders
Dermatologic disorders
02/24/2014
Kirk Barber, MD, FRCPC; Sukesh Sukumaran, MD; Vini Vijayan, MD
What is the cause of this boy’s fever, rash, and pancytopenia?
02/24/2014
meningitis
meningitis
02/21/2014
Ashley Bechtol, MD; Rani Kharubi, MD; Pisespong Patamasucon, MD
A 16-year-old boy who recently had returned from a visit to Mexico presented to the emergency department complaining of fever, headache, vomiting, and neck pain for the past 2 days.
02/21/2014