Volume 13 - Issue 12 - December 2014

Consultant for Pediatricians

Photoclinic
Photoclinic
01/28/2019
Michael Borchetta, DO
A 9-year-old boy presented to a pediatric hospital for evaluation of fever, cough, and nasal congestion that had been present for 4 days.
01/28/2019
osteomyelitis
osteomyelitis
01/14/2015
Nishit Patel, MD; Amir Raza, PA-C; Thomas R. Lewis, MD; Sandeep G. Prabhu, MD; Faridali G. Ramji, MD
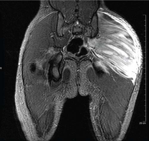
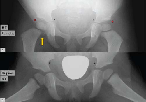
A 19-month-old girl was brought into the orthopedic clinic by her parents for a chief concern of limping on her right leg for 9 days.
01/14/2015
Erythema Nodosum
Erythema Nodosum
12/08/2014
Christiaan R. de Vries, PhD; Srividya Naganathan, MD
A 5-year-old boy with no significant past medical history presented to the emergency department (ED) with a chief concern for bilateral lower extremity swelling and erythema of 2 days’ duration.
12/08/2014
trichobezoars
trichobezoars
12/08/2014
Sherlyana Surja, MD; Ivy Mulinge, MD
A 17-year-old female presented with a chief concern of abdominal pain associated with multiple episodes of bilious, nonbloody vomiting.
12/08/2014
Genetic disorders
Genetic disorders
12/08/2014
Kendall Riley, MD; Georgia Christakis; Paul Christakis, MD; Lea Parsley, MD
A 32-year-old gravida 1 mother delivered a girl at 40 weeks’ gestation via normal spontaneous vaginal delivery after an uncomplicated pregnancy. At birth, the neonate was noted to have micrognathia, cleft...
12/08/2014
Dermatologic disorders
Dermatologic disorders
12/08/2014
Richard Hal Flowers, MD, BA; Barbara B. Wilson, MD; Jennifer Kaley, MD
A 20-day-old girl presented with a rash that had been noted within 24 hours of her birth. The rash had started as “red bumps” on her arms and legs and had spread centripetally.
12/08/2014
Infectious diseases
Infectious diseases
12/08/2014
Jocelyn Y. Ang, MD; Maheshwar Mahaseth, MD
A 7-year-old boy presented with a 3-day history of swelling of the left gluteal region, fatigue, and high-grade fever.
12/08/2014
breastfeeding
breastfeeding
12/08/2014
Emily K. Nease, MD; Nicole D. Garcia
A Parent Asks: When I had my first baby, I received a care package with infant formula samples in it, but I didn’t receive one after this birth. Why are hospitals no longer giving the free formula to new...
12/08/2014
Dermatologic disorders
Dermatologic disorders
12/08/2014

Alexander K. C. Leung, MD—Series Editor, and Benjamin Barankin, MD

Alexander K. C. Leung, MD—Series Edit...
A 17-year-old patient presented with a pigmented lesion on his left arm. He reported that the lesion had been first noted approximately 5 years ago and had slowly increased in size with time.
12/08/2014
Dermatologic disorders
Dermatologic disorders
12/08/2014
Ara Festekjian, MD, MS; Henry Wu, MD
A previously healthy 8-year-old girl presented to the emergency department with a 3-day history of worsening swelling, pain, and discoloration of the right thumb.
12/08/2014
patient education
patient education
12/08/2014
Chalanda Jones, MD
The oral presentation has been long understood to the be one of the most effective means by which physicians communicate important patient-related information and care planning among one another.
12/08/2014
Pain
Pain
12/08/2014
Marc Tompkins, MD; Benjamin G. Bruce, MD; Craig P. Eberson, MD
To evaluate the use of ketorolac to help distinguish between septic arthritis of the hip and transient synovitis of the hip in pediatric patients, a retrospective review was performed of the charts of 211...
12/08/2014
Dermatitis
Dermatitis
12/08/2014
Sanjeev Y. Tuli, MD; Sharda Udassi, MD; Laura Schoeneberg, MD; Jessica Joseph
A mother brought in her previously health 5-month-old infant for evaluation of a rash on his head, face, neck, and trunk, including the genital area.
12/08/2014
breastfeeding
breastfeeding
12/08/2014
Reader Reaction and Timely Answers From Experts
12/08/2014