Volume 12 - Issue 10 - October 2013

Consultant for Pediatricians

distal petechiae
distal petechiae
11/05/2013
Robert L. Williams; Matthew Campbell; Stephanie DeLeon, MD
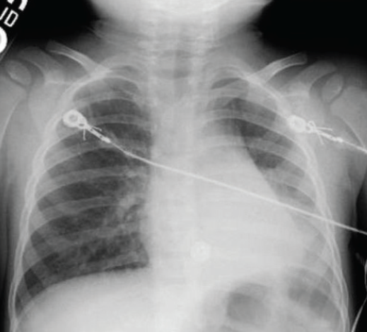
<p>A 10-month-old girl with a history of failure to thrive, hypotonia, hip dysplasia, and developmental delay was admitted to the pediatrics department with ecchymosis of the left arm after having had...
11/05/2013
slipping rib
slipping rib
10/28/2013
Imad Absah, MD; Youssef Ghazzawi, MD; Abdalla E. Zarroug, MD
<p class="p1">A 16-year-old girl presented with a history of chronic epigastric and right upper quadrant abdominal pain for years. The pain was sharp and was not associated with nausea,...
10/28/2013
oral facial digital
oral facial digital
10/28/2013
Eric Rush, MD; Cristina Fernandez, MD, PhD; Nawras Abuhamidah, MD; Fathia M. Irhouma, MD; Katherine Cotterell, MD; Sahar Al Baroudi, MD; Ojasvini Choudhry, MD
<p class="p1">A 30-year-old otherwise healthy woman gave birth to a full-term girl with a midline cleft lip. The mother denied any drug exposure or viral illness during pregnancy. Her family...
10/28/2013
Photoclinic
Photoclinic
10/28/2013
La Donna J. Johnson, MD; Hansa Wongpasert, MD; Mary Mullins
An 8-month-old African American girl was brought to the hospital with a 3-day history of a barking cough with associated respiratory distress, rhinorrhea, and decreased oral intake.
10/28/2013
Urticaria pigmentosa
Urticaria pigmentosa
10/28/2013
Jessie R. Maxwell, MD; Abdulla Ghori, MD
<p>A 5-year-old boy presented to the pediatric clinic with a history of itchy skin lesions since infancy.</p>
10/28/2013
Foreign Body Aspiration
Foreign Body Aspiration
10/28/2013
Keren Zhou; Sangeeta Krishna, MD
<p>A 10-year-old boy presented to the emergency department (ED) with a 6-day history of nausea, nonbilious and nonbloody vomiting, and periumbilical pain.</p>
10/28/2013
Herpes simplex
Herpes simplex
10/25/2013
Sureka Paramaguru, MD; James Lim, MD; Priyamvada Tatachar, MD; Kirishanth Perinpanathan, MD; Craig Feibusch, MS
<p>A 13-day-old full-term boy presented to the emergency department (ED) with dried, crusting lesions on his scalp and blisters on his hand that his mother had first noticed 3 days before...
10/25/2013
ADHD
ADHD
10/23/2013
Robert Horst, MD
A number of medications have been approved by the FDA for the treatment of ADHD, and the evidence for the effectiveness of pharmacotherapy in ADHD is strong.
10/23/2013
ADHD
ADHD
10/23/2013
Chalanda Jones, MD
<p class="p1">Attention-deficit/hyperactivity disorder (ADHD) is diagnosed in African American children at two-thirds the rate of that in white children, despite that African American...
10/23/2013
ADHD
ADHD
10/23/2013
Patrick Brown, MD
<p><strong><img alt="dsm ADHD" src="/sites/default/files/transfer/Screen_Shot_2013-10-23_at_3.12.20_PM.png" style="height:115px; margin-left:5px; margin-right:5px;...
10/23/2013
cyst
cyst
10/15/2013
Joseph Gantan, MD; Christopher Gayer, MD, PhD; Stephen Nageotte, MD
<p><img src="/sites/default/files/transfer/Screen_Shot_2013-10-15_at_4.20.23_PM.png" alt="cyst" width="115" height="115" style="float: left;...
10/15/2013
Dermatitis
Dermatitis
10/15/2013
Alexander K.C. Leung, MD, MBBS, FRCPC, FRCP; Benjamin Barankin, MD, FRCPC
<p class="p1"><img src="/sites/default/files/transfer/Screen_Shot_2013-10-15_at_4.00.39_PM.png" alt="dermatitis" style="float: left; margin-left: 5px;...
10/15/2013
aspiration
aspiration
10/15/2013
Nishit Patel, MD; Bashar Shihabuddin, MD
<p><img src="/sites/default/files/transfer/Screen_Shot_2013-10-15_at_3.41.01_PM.png" alt="aspiration" width="115" height="115" style="float: left;...
10/15/2013
teratoma
teratoma
10/15/2013
<p><strong><img src="/sites/default/files/transfer/Screen_Shot_2013-10-15_at_3.22.09_PM.png" alt="teratoma" width="115" height="115" style="float:...
10/15/2013