Volume 11 - Issue 11 - November 2012

Consultant for Pediatricians

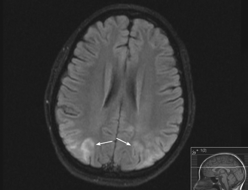
Encephalopathy Syndrome
Encephalopathy Syndrome
11/19/2012
Erin Caliri, DO; Oscar Ingaramo, MD
<p class="p1">An 11-year-old girl being treated for renal failure and hypertension was found unresponsive at home in bed after a generalized seizure that, according to the child’s...
11/19/2012
Epidermolysis Bullosa
Epidermolysis Bullosa
11/19/2012
Scott Wexelblatt, MD; Nancy Howard, RN, NNP; Amy Nathan, MD
A baby boy born at 39 weeks’ gestation to a 26-year-old mother (gravida 1, para 0) after normal vaginally delivery was noted to have peeling and absence of skin on the right hand and feet at birth.
11/19/2012
sarcoma botryoides
sarcoma botryoides
11/19/2012
Jennifer E. Lunt, DO; Philomena Thomas, MD
<p class="p1">Following an episode of hematuria and passage of debris in the urine, a 16-month-old Caucasian girl was brought to the emergency department (ED). There was no report of fever...
11/19/2012
Dermclinic
Dermclinic
11/19/2012
Kathryn Leigh Myers; Barbara B. Wilson, MD
An 11-year-old boy is referred for evaluation of an asymptomatic rash on his anterior thighs. The macular, partially blanching, erythematous to slightly tan, reticulated rash began 2 months earlier and...
11/19/2012
epididymal cyst
epididymal cyst
11/19/2012
David S. Gutierrez, MD; Alexander Yudovich, MD; Larry Yin, MD, MSPH
<p class="p1"><span class="s1"><strong><strong><img src="/sites/default/files/transfer/Screen_Shot_2012-11-19_at_3.21.23_PM.png" alt="epididymal...
11/19/2012
rat-bite fever
rat-bite fever
11/19/2012
Heidi Szugye, DO; Robin Parihar, MD, PhD; Christine Traul, MD
The Case: A 5-year-old girl with rash and fever of 3 days’ duration presented to the pediatric infectious diseases service after same-day referral from her pediatrician. The rash involved the extremities,...
11/19/2012
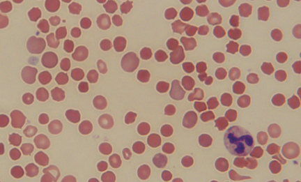
anemia
anemia
11/19/2012
Rahima Afroza, MD; Andrew Faniku, MD; Osvaldo Regueira, MD; Muhammad M. Uddin, MD
<p><strong><img alt="spherocytosis" src="/sites/default/files/transfer/Screen_Shot_2012-11-19_at_2.45.37_PM.png" style="height:90px; margin-left:5px;...
11/19/2012
Hypermelanosis
Hypermelanosis
11/19/2012
Alexander K.C. Leung, MD, MBBS, FRCPC, FRCP; Stewart P. Adams, MD
<p class="p2"><span class="s1"><img src="/sites/default/files/transfer/1211CFP_WDLeung_IndxFg.jpg" alt="hypermelanosis"...
11/19/2012
HIV
HIV
11/19/2012
Wolfgang P. Rennert, MD, DMSc, DTM&H
Typically, skin disease in HIV-infected children is more severe and more recalcitrant to treatment than in age-matched uninfected controls.
11/19/2012
Fractures
Fractures
11/19/2012
William Yaakob, MD; Utkarsh Fichadia, MD; Curt Stankovic, MD
Distal tibial epiphyseal fractures are one of the most common types of epiphyseal fractures.
11/19/2012
eye infection
eye infection
11/19/2012
Deepak M. Kamat, MD, PhD; Usha Sethuraman, MD
For uncomplicated infections of the eyelid, treatment typically consists of warm compresses.
11/19/2012
hair tourniquet syndrome
hair tourniquet syndrome
11/19/2012
<p><em><strong><img alt="hair tourniquet syndrome" src="/sites/default/files/Screen%20Shot%202016-12-05%20at%203.11.39%20PM.png" style="height:90px;...
11/19/2012