Volume 10 - Issue 4 - April 2011

Consultant for Pediatricians

Vitamin D Recommendations
Vitamin D Recommendations
06/17/2011
<p>I saw a 12-year-old African American US girl as a new patient and checked her vitamin D level, which we usually do on our panels these days. The level was 8.8 ng/mL, with a “normal” reported as...
06/17/2011
Cigarettes
Cigarettes
06/17/2011
Linda S. Nield, MD
The dangers of cigarettes have been discussed in schools for years, even decades.
06/17/2011
Lodged Spaghetti Strand
Lodged Spaghetti Strand
05/09/2011
Deepak M. Kamat, MD, PhD; Robert P. Blereau, MD
<div id="article-content-body"> <p>This picture shows an unusual linear white object positioned vertically at the center of the posterior pharynx of a 5-year-old girl’s throat. The...
05/09/2011
gastroschisis
gastroschisis
05/09/2011
Deepak M. Kamat, MD, PhD; David Imbt; Mike Rolen; Riva Kamat, MD
<div id="article-content-body"><p><img src="/sites/default/files/transfer/Gastroschisis3.jpg" style="float: left; margin-left: 8px; margin-right: 8px; border: 1px...
05/09/2011
Lymphangioma Circumscriptum
Lymphangioma Circumscriptum
05/09/2011
Michael L. Sternberg, MD; Nate Lisenbee, MS
For 3 days, a 6-year-old boy had “redness and pain” of skin on his left upper abdomen.
05/09/2011
Penile Angioedema After Peanut Ingestion
Penile Angioedema After Peanut Ingestion
05/03/2011
Alexander K.C. Leung, MD, MBBS, FRCPC, FRCP; C. Pion Kao, MD
A 6-year-old boy presented with a swollen penis and lip within an hour after ingesting some peanuts.
05/03/2011
Photo Essay
Photo Essay
05/03/2011
C. Pion Kao, MD; Alexander K.C. Leung, MD, MBBS, FRCPC, FRCP
The mass protruding from the introitus of this 1-month-old girl was first noted at birth. She was born to a 26-year-old primigravida at term after an uncomplicated pregnancy and normal spontaneous delivery....
05/03/2011
Labial Fusion
Labial Fusion
05/03/2011
Alexander K.C. Leung, MD, MBBS, FRCPC, FRCP; C. Pion Kao, MD
A case of labial fusion.
05/03/2011
osteomyelitis
osteomyelitis
05/03/2011
Jocelyn Y. Ang, MD; Christian Rosas-Salazar, MD; Prem Arora, MD; Hazar Kobayaa, MD
A 3-year-old girl was hospitalized because of purulent drainage from a right middle finger wound and a tender right axillary mass of 2 days’ duration.
05/03/2011
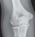
Elbow Pain
Elbow Pain
05/03/2011
Roli Agrawal, MD; Sarah Kizilbash, MD; William Yaakob, MD
A 15-year-old boy presents with pain in the medial aspect of his right elbow that began 4 to 6 weeks earlier and progressively worsened.
05/03/2011
Fever with cough and rash
Fever with cough and rash
05/03/2011
Golder N. Wilson, MD, PhD; Ladan Modallel, MD; Marita Sheehan, MD
A 14-month-old girl presented with persistent fever, cough, and worsening rash of 5 days’ duration.
05/03/2011
Behavior Problems
Behavior Problems
05/03/2011
s there a family history of mental illness? Is there any stress going on at home?
05/03/2011
concussion
concussion
05/03/2011
Scott Otallah, MD; Gregory F. Hayden, MD
The evaluation of head injuries in young athletes can be challenging.
05/03/2011
concussion
concussion
05/03/2011
Scott Otallah, MD; Gregory F. Hayden, MD
The evaluation of head injuries in young athletes can be challenging.
05/03/2011
concussion
concussion
05/03/2011
Scott Otallah, MD; Gregory F. Hayden, MD
The evaluation of head injuries in young athletes can be challenging.
05/03/2011
Brown patch
Brown patch
05/03/2011
Kirk Barber, MD, FRCPC
<p><img alt="" src="/sites/default/files/transfer/brown_patch.jpg" style="border:1px solid black; display:block; height:107px; margin-left:8px; margin-right:8px;...
05/03/2011
urinary dysfunction
urinary dysfunction
04/19/2011
Linda S. Nield, MD; Stacey M. Humphreys, MD
During circumcision, a newborn is noted to have continuous dribbling of urine from his meatus and stool from his anus.
04/19/2011