Photoclinic
Photoclinic
07/29/2021
A 37-year-old woman with no related medical history presented to the clinic with right-sided neck swelling. She reported having had swelling in the area for approximately 6 years, but she had recently noted...
07/29/2021
Photoclinic
Photoclinic
07/22/2021
A 53-year-old man presented to the emergency department and was subsequently admitted to the medical ward with hematemesis, melena, and atypical chest pain, all occurring intermittently for the past few...
07/22/2021
Case In Point
Case In Point
07/08/2021
A 17-year-old, previously healthy, athletic adolescent boy presented to the emergency department with fever, nausea, general malaise, fatigue, abdominal pain, and sore throat for 1 day. Two weeks prior, the...
07/08/2021
Photoclinic
Photoclinic
07/02/2021
A 50-year-old man presented to the emergency department with intermittent chest discomfort for 8 days that had been associated with dyspnea and palpitations.
07/02/2021
Case In Point
Case In Point
06/04/2021
An 87-year-old gravida 2, para 2, postmenopausal woman with a history of vaginal vault prolapse and cystocele presented for a pessary fitting. She recently had been fitted for a size 5 pessary ring;...
06/04/2021
Photoclinic
Photoclinic
06/02/2021
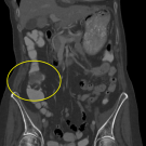
A 22-year-old man with no relevant medical history presented to the emergency department with worsening epigastric pain radiating to the rib cage and the subsequent development of fevers, chills, nausea,...
06/02/2021
Photoclinic
Photoclinic
05/05/2021
An 85-year-old man was admitted to the hospital with altered mental status, uncontrolled hypertension, and tachycardia that had been noted during a regularly scheduled hemodialysis session. The lower part...
05/05/2021
Photoclinic
Photoclinic
04/08/2021
The authors present 2 adult cases of Mycoplasma pneumoniae-induced rash and mucositis (MIRM) following pneumonia with mucositis with oral, ocular, and genital involvement and with sparse cutaneous lesions. ...
04/08/2021
Photoclinic
Photoclinic
05/18/2020
The authors report a case of Streptococcus sanguinis bacteremia that led to the discovery of invasive colorectal adenocarcinoma.
05/18/2020
Feature Article
Feature Article
05/13/2020
The aim of this study was to express the prevalence and pattern of antibiotic resistance in Pseudomonas aeruginosa isolates in a hospital's ICU setting over a 3-year period.
05/13/2020