Volume 57 - Issue 4 - April 2017

Consultant

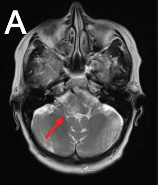
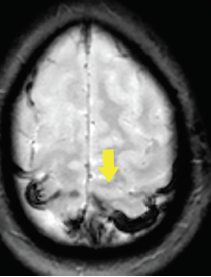
Radiology Quiz
Radiology Quiz
10/29/2019
Andrew Henn, DO; Aaron Wolfe, DO; Vikas Jain, MD
A woman presented to the ED after having had a headache for 3 days that she described as a constant, gradually worsening pain.
10/29/2019
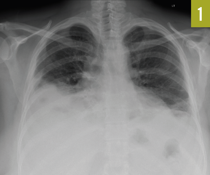
Photo Essay
Photo Essay
12/28/2018
Here is a collection of 4 case reports about conditions affecting the lungs: fungal pneumonia, Legionnaire disease, rheumatoid lung nodules, and systemic lupus erythematosus.
12/28/2018
Surgery
Surgery
04/07/2017
John Chin, MD, MBChB
Internal hernias occur as a late finding in 3% of Roux-en-Y gastric bypass patients from herniation of small bowel loops through a defect.
04/07/2017
04/07/2017
Pain is one of the most common presentations in primary care. However, this presentation may lead to an unexpected, and sometimes surprising, diagnosis.
04/07/2017
Pain Management
Pain Management
04/07/2017
Here is a series of cases with pain as the presenting symptom, including reports on hepatic abscess, hepatocellular carcinoma, leiomyoma, and epididymo-orchitis.
04/07/2017
Infectious Disease
Infectious Disease
04/07/2017
Aristides C.C. Avgeris, MD; Morgan C. Jordan, BA; Travis Dichoso, MS; Allison Baroco, MD; Atrac Kay, MD
Rhombencephalitis is a rare manifestation of infection with Listeria monocytogenes, developing in only 4.3% to 9% of cases of listerial infection with CNS involvement.
04/07/2017
04/07/2017
Pisespong Patamasucon, MD; Sharon E. Joo, DO, MPH
Pott puffy tumor (osteomyelitis of the frontal bone with subperiosteal abscess) is a serious complication of recurrent sinus infections among adults.
04/07/2017
04/07/2017
Emily N. Kinsey; Barbara B. Wilson, MD
Pyogenic granuloma typically develops as a small, pinhead-sized, erythematous papule on the skin or oral mucosal surface.
04/07/2017
Psoriasis
Psoriasis
04/06/2017
Michelle Dyrholm, MS-IV; Emily Rubenstein, DO
Tinea incognito is a dermatomycosis that presents as a result of the misuse of topical or systemic corticosteroids.
04/06/2017
Psoriasis
Psoriasis
04/06/2017
Michelle Dyrholm, MS-IV; Emily Rubenstein, DO
Tinea incognito is a dermatomycosis that presents as a result of the misuse of topical or systemic corticosteroids.
04/06/2017
Psoriasis
Psoriasis
04/06/2017
Michelle Dyrholm, MS-IV; Emily Rubenstein, DO
Tinea incognito is a dermatomycosis that presents as a result of the misuse of topical or systemic corticosteroids.
04/06/2017
04/06/2017
Stephen Colden Cahill, DO; Schield Wikas, DO
A 37-year-old woman had presented at the end of the summer with a pruritic rash, which had originally started on her neck then slowly progressed to the face, chest, shoulders, and arms.
04/06/2017
04/06/2017
Alexander K.C. Leung, MD, MBBS, FRCPC, FRCP; Benjamin Barankin, MD, FRCPC
Median nail dystrophy presents as a midline or paramedian canal, split, or ridge in the nail plate, beginning at or distal to the proximal nail fold.
04/06/2017
04/06/2017
Eric A. Dietrich, PharmD, BCPS; Kyle Davis, PharmD, BCPS
Glimepiride, glipizide, and glyburide all lead to reductions in HbA1c on the order of 1% to 2%. But when should you use each?
04/06/2017
Review Article
Review Article
04/06/2017
Sheldon P. Hersh, MD, FACS; Joshua N. Hersh, MD
Primary care providers should obtain hearing testing whenever a patient presents with a sudden change in hearing.
04/06/2017
Review Article
Review Article
04/06/2017
Yisachar Jesse Greenberg, MD, FACC, FHRS; Suvash Shrestha, MD; On Chen, MD; Felix Yang, MD, FACC, FHRS; Robert Frankel, MD
In recent years, the use of DOACs has been increasing. All of these agents have demonstrated efficacy in the reduction of stroke and thromboembolic end points.
04/06/2017