Volume 56 - Issue 12 - December 2016

Consultant

What's Your Diagnosis?
What's Your Diagnosis?
12/21/2020
Benjamin Barankin, MD, FRCPC; Alexander K.C. Leung, MD, MBBS, FRCPC, FRCP
A 50-year-old white man presented with recurrent eruptions of asymptomatic pustules on his palms and feet for the past 3 years.
12/21/2020
Photo Essay
Photo Essay
12/18/2019
This is a collection of 4 case reports about conditions affecting the respiratory system.
12/18/2019
Controversies in Clinical Care
Controversies in Clinical Care
12/18/2019
Eric A. Dietrich, PharmD, BCPS; Kyle Davis, PharmD, BCPS
The management of venous thromboembolism has dramatically changed over the past 5 to 10 years. With the advent of direct-acting oral...
12/18/2019
What's the Take Home?
What's the Take Home?
11/15/2019
Ronald N. Rubin, MD
A 70-year-old man presents with increasing fatigue with activity. He is an avid and talented golfer and a senior softball player who has played regularly for many years.
11/15/2019
Photoclinic
Photoclinic
08/10/2018
It is very unusual to observe herpes zoster (shingles) involving multiple adjacent dermatomes as was seen in these 2 otherwise healthy patients.
08/10/2018
Guest Commentary
Guest Commentary
04/01/2017
William W. Huang, MD, MPH, FAAD; Mohammed D. Saleem, MD; Steven R. Feldman, MD, PhD
Hidradenitis suppurativa is a chronic inflammatory disorder characterized by recurrent painful inflammatory nodules with sinus tract and abscess formation.
04/01/2017
Photoclinic
Photoclinic
01/30/2017
Alexander K.C. Leung, MD, MBBS, FRCPC, FRCP; Benjamin Barankin, MD, FRCPC
A 70-year-old white man presented with a 10-year history of slowly expanding lesions with dark spots on his cheeks and gradual coarseness of facial features.
01/30/2017
Photoclinic
Photoclinic
12/07/2016
Brintha Vasagar, MD, MPH
The rise of antibiotics has greatly decreased the incidence of complications from acute otitis media.
12/07/2016
Photoclinic
Photoclinic
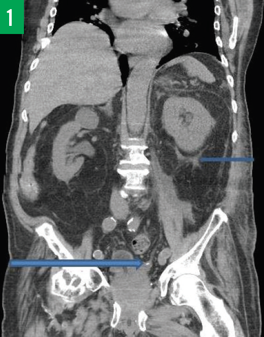
12/05/2016
Andrew Rosenthal, MD, MBA; Claire Wunker, MD, MS-IV; Stephen Winfield, MD; Sharon Sukhdeo, MS-IV, MD
A 59-year-old man presented to the emergency department for acute-onset diffuse abdominal pain for the past 2 days, which he described as moderate to severe, sharp, and nonradiating.
12/05/2016
Top Papers Of The Month
Top Papers Of The Month
12/05/2016
Gregory W. Rutecki, MD
It’s late Friday afternoon, and you are seeing your last patient of the week. This man has run out of his antihypertensive medications, and he has repeated blood pressure (BP) measurements in your office...
12/05/2016
Dermclinic
Dermclinic
12/05/2016
David L. Kaplan, MD
This 51-year-old woman presented for evaluation of an asymptomatic rash of 2 years’ duration on her hands.
12/05/2016
Dermclinic
Dermclinic
12/05/2016
David L. Kaplan, MD
This 60-year-old man presented with a 3-week history of an asymptomatic rash on his trunk and proximal extremities.
12/05/2016
Dermclinic
Dermclinic
12/05/2016
David L. Kaplan, MD
This 59-year-old woman presented for evaluation of a new area of pigmentation under her great toenail that she had noticed for the first time in the past 2 weeks.
12/05/2016
Pitfalls In Prescribing
Pitfalls In Prescribing
12/05/2016
Timothy H. Self, PharmD; Samarth P. Shah, PharmD
A patient’s response to warfarin is affected by several factors such as the use of other drugs, disease states, age, dietary vitamin K, and genetic poymorphisms.
12/05/2016
Pitfalls In Prescribing
Pitfalls In Prescribing
12/05/2016
Timothy H. Self, PharmD; Samarth P. Shah, PharmD
A patient’s response to warfarin is affected by several factors such as the use of other drugs, disease states, age, dietary vitamin K, and genetic poymorphisms.
12/05/2016
Photo Quiz
Photo Quiz
12/05/2016
Nguyet-Cam V. Lam, MD; Neil B. Matalia, MD
Cutaneous squamous cell carcinoma is an invasive, primary cutaneous malignancy arising from keratinocytes of the skin and mucosal surfaces.
12/05/2016
Review
Review
12/05/2016
Dawn M. Mussallem, DO; Julia A. Files, MD; Sandhya Pruthi, MD
To address the needs of the growing population of breast cancer survivors, the implementation of survivorship care guidelines for primary care providers that are clear, concise, and manageable is vital. ...
12/05/2016
Review
Review
12/05/2016
Anamaria Shanley, MSN, ARNP-BC
Early identification of subtle cognitive change may delay progression of symptoms, optimizing the patient's quality of life. This article presents 2 examples of patients with mild forgetfulness, their...
12/05/2016
Review
Review
12/05/2016
Cheryl Juneau, DrPH, RN, FNP-BC; Yolanda R. Davila, PhD, RN; Betty Douzar, MSN, RN
This article discusses the pathogenesis of, risk factors for, symptoms of, and prevention strategies for community-acquired Clostridium difficile infection.
12/05/2016
Editorial
Editorial
12/05/2016
They say that feeling gratitude and not expressing it is like wrapping a present and not giving it. So allow me to share what I’m thankful for as the managing editor of this journal.
12/05/2016
Case In Point
Case In Point
09/10/2016
Japheth E. Mukaya, MD; Caitlin Waters, MD
An 85-year-old man with a past medical history of hypertension, hyperthyroidism, and dementia presented with a 1-day history of agitation and confusion. He had complained of urinary frequency, which had...
09/10/2016