Volume 56 - Issue 9 - September 2016

Consultant

Photoclinic
Photoclinic
12/26/2019
Upamanyu Rampal, MD; F.N.U. Jaydev, MD; Jill Butler, MD; Marwan Saad, MD, PhD, MS
A 32-year-old man had received a diagnosis of type 2 diabetes mellitus 6 months before he presented with pain and swelling of his right lower extremity.
12/26/2019
Case In Point
Case In Point
12/03/2019
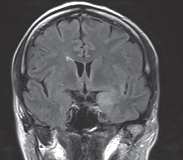
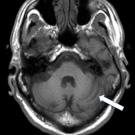
Farah Khan, MD; Richard H. Schwartz, MD, DO; Rebecca Levorson, MD
A 2-year-old girl was diagnosed with S dysgalactiae brain abscess, meningitis, and cerebritis, possibly from a recent middle ear infection.
12/03/2019
Photoclinic
Photoclinic
11/29/2019
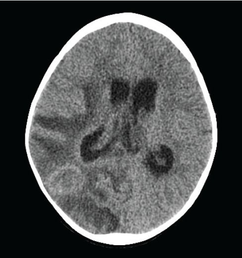
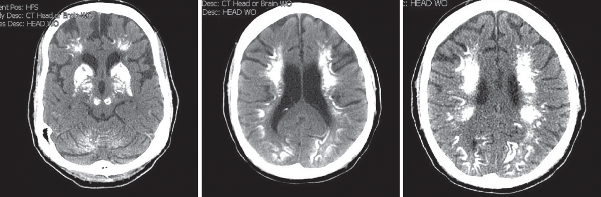
Michael Lienhard, MS-IV; Zhigang Yuan, MD; Spencer Knox, MD; Jorge C. Parellada, MD
A 44-year-old woman presented to the emergency department with a 1-day history of acute mental status changes, headache, neck pain, and fever.
11/29/2019
Photo Quiz
Photo Quiz
11/25/2019
Katherine G. Garlo, MD; Nicholas Perros, MD; Robert Smith, MD; Katie Linskey, MD
A 45-year-old woman was admitted to the hospital with a 5-day history of a papular-pustular rash on her face, trunk, and legs.
11/25/2019
Diabetes
Diabetes
08/01/2018
Kevin Davidson, MD; Rebecca Bialas, MD, MPH
A woman with history of pustular psoriasis, type 2 diabetes mellitus, and hypertension presented to the hospital with sternal swelling and pain.
08/01/2018
Diabetes
Diabetes
10/23/2017
Sumeet Sekhon, MD; Mohsen Saadat, DO
A 47-year-old man visited an outpatient clinic for a routine follow-up visit for his chronic health conditions, including a recent ischemic cardiovascular accident, systolic congestive heart failure,...
10/23/2017
03/01/2017
David L. Kaplan, MD
This 15-year-old boy presented for evaluation of 3 similar-appearing lesions on his thigh and upper arm that were asymptomatic.
03/01/2017
10/12/2016
Jasmin Ahmed, BS, MS, MD; Franck Papillon, MD; Rolando Branly, MBBS; Ayman M. Salah, PhD; Syed A.A. Rizvi, PhD, MBA; Sultan S. Ahmed, MD
A 57-year-old man presented with an insidious onset of balance difficulties, including dizziness and vertigo, for some time.
10/12/2016
Photoclinic
Photoclinic
09/09/2016
A 49-year-old woman with uncontrolled diabetes mellitus and hypertension presented with chronic right hip and leg pain.
09/09/2016
Photoclinic
Photoclinic
09/09/2016
A previously healthy 39-year-old woman presented with a 2-day history of severe pain, fever, and a vesicular eruption that had initially developed over her right forehead and right middle thumb but had...
09/09/2016
Gout
Gout
09/09/2016
Helen Paulson, MD; Ellison L. Smith, MD
Gout is a common condition, and proper management can greatly relieve patients’ pain and progressive deforming arthritis.
09/09/2016
09/09/2016
Pain is the primary reason for which most patients seek treatment in the primary care setting.
09/09/2016
09/07/2016
Benjamin Barankin, MD, FRCPC; Alexander K.C. Leung, MD, MBBS, FRCPC, FRCP
A 47-year-old white woman presented with an asymptomatic cystic lesion in the periorbital area of approximately 4 years’ duration.
09/07/2016
Exclusive
Exclusive
09/07/2016
Gregory W. Rutecki, MD
Aortic stenosis the most common valvular abnormality in the developed world.
09/07/2016
09/07/2016
David L. Kaplan, MD
This 51-year-old woman presented with a 2-day onset of a tender rash on her arms, legs, and hands.
09/07/2016
09/07/2016
David L. Kaplan, MD
This 50-year-old woman presented with a several-year history of annoying but painless lesions on the insteps of the soles, wrists, and creases of her palms.
09/07/2016
09/07/2016
Alexander K.C. Leung, MD, MBBS, FRCPC, FRCP; Benjamin Barankin, MD, FRCPC
A 55-year-old white man presented with multiple hypopigmented macules, mainly on both forearms and shins, which had been present for several years.
09/07/2016
What's the Take Home?
What's the Take Home?
09/07/2016
Trent Wang, DO; Ronald N. Rubin, MD
Lung cancer screening with low-dose helical CT scanning should be conducted in high-risk individuals after an informed discussion of benefits and risks.
09/07/2016
Endocrinology
Endocrinology
09/07/2016
Kyle Davis, PharmD, BCPS; Eric A. Dietrich, PharmD, BCPS
Hypothyroidism is most commonly treated with thyroid-replacement medications such as levothyroxine or liothyronine.
09/07/2016
Endocrinology
Endocrinology
09/07/2016
Kyle Davis, PharmD, BCPS; Eric A. Dietrich, PharmD, BCPS
Hypothyroidism is most commonly treated with thyroid-replacement medications such as levothyroxine or liothyronine.
09/07/2016
Endocrinology
Endocrinology
09/07/2016
Kyle Davis, PharmD, BCPS; Eric A. Dietrich, PharmD, BCPS
Hypothyroidism is most commonly treated with thyroid-replacement medications such as levothyroxine or liothyronine.
09/07/2016
09/07/2016
Here are 4 case reports that pertain to conditions of the vasculature.
09/07/2016
Hepatology
Hepatology
09/07/2016
Brian Dinh, MD; Kyle Ball, DO; Sangeeta Agrawal, MD
VPA-induced hyperammonemic encephalopathy (VHE) is a rare adverse effect and therefore is commonly overlooked.
09/07/2016
09/07/2016
Timothy H. Self, PharmD; Katherine L. March, PharmD
Phenytoin has numerous clinically relevant drug-drug interactions that have been well-documented since its introduction...
09/07/2016
Vaccines
Vaccines
09/07/2016
Theresa M. Smith, MSN, FNP-BC, CRNP; Kathy P. McGovern, MSN, FNP-BC, CRNP; Alexa Mojica, BA, MPH; Anand Bhattacharya, MHS
In this retrospective chart review, 256 graduate students entering a physician assistant program had their hepatitis B surface antibody levels evaluated for positive immune responses. The resulting data...
09/07/2016
Familial Chylomicronemia Syndrome
Familial Chylomicronemia Syndrome
09/07/2016
One-third of US adults have elevated low-density lipoprotein cholesterol levels, a condition that is most often diagnosed and treated in primary care. Appropriate screening helps identify these patients...
09/07/2016
Feature
Feature
09/07/2016
Robert Weiss, LCSW, CSAT-S
This article discusses the belief that addictions are less about the pleasurable effects of addictive substances and behaviors and more about the need to “not feel” the emotional discomfort that arises in...
09/07/2016
09/07/2016
Alzheimer’s Disease International has designated September as the 5th annual World Alzheimer’s Month, an international effort to raise awareness and challenge stigma.
09/07/2016