Volume 54 - Issue 3 - March 2014

Consultant

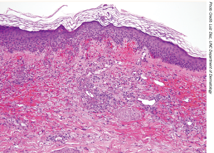
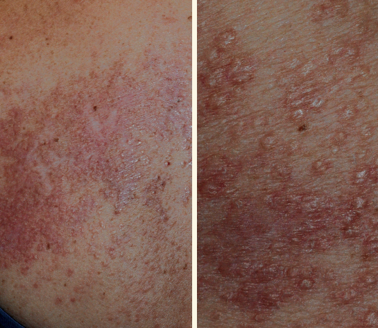
Granuloma Annulare
Granuloma Annulare
03/13/2014
David L. Kaplan, MD
This 62-year-old female presented for evaluation of an asymptomatic rash on her back following a 6-month episode of herpes zoster that resolved uneventfully. She is otherwise healthy.
03/13/2014
Lichen planus
Lichen planus
03/13/2014
David L. Kaplan, MD
This 57-year-old female presented for evaluation of mouth sores and fingernail problems of a few months duration. She had been treated with an oral antifungal antibiotic without improvement.
03/13/2014
aphthous stomatitis
aphthous stomatitis
03/13/2014
David L. Kaplan, MD
This 36-year-old female presents with a sore on the inner lip of 2 days duration. She thinks she had 1 years ago. She has been under a lot of stress, but has no medication exposure. She is otherwise...
03/13/2014
Photoclinic
Photoclinic
03/13/2014
Joseph DeRosa, DO
A 62-year-old G3P2AB1 white female was seen in the emergency room with intense right, lower quadrant pain.
03/13/2014
orchitis
orchitis
03/13/2014
Christopher Cooper, RN, MS; Arpan Patel, MD, PGY-1; Alex Rico, MD
A 65-year-old male presented with a 1-week history of left-sided testicular pain.
03/13/2014
Hernia
Hernia
03/13/2014
Eugene Wong, MD; Jonathan Rieber, MD
An 80-year-old female presented to the emergency room with constipation, a 50 lb weight loss over 3 months, and difficulty ambulating secondary to 2 large inguinal hernias.
03/13/2014
mucormycosis
mucormycosis
03/13/2014
Allison P. Ferrara, MD; Tiffany Lewis, MD
A 56-year-old woman with a history of diabetes mellitus type 2 controlled on insulin and end-stage renal disease on peritoneal dialysis was transferred from an outside hospital. She presented with abdominal...
03/13/2014
Warfarin
Warfarin
03/13/2014
Eric A. Dietrich, PharmD, BCPS; Louis Kuritzky, MD
An 85-year-old hypertensive woman with noted atrial fibrillation is starting antithrombotic therapy with warfarin. Here's a breakdown of the treatment protocol.
03/13/2014
swollen
swollen
03/13/2014
Laila Wilbur Powers, MD; Nazha Abughali, MD; Frits van der Kuyp, MD, MPH; David Effron, MD
An 18-month-old black male, native-born American infant residing in the inner city was brought to the emergency department complaining of a swollen right shoulder.
03/13/2014
Shoulder Dislocation
Shoulder Dislocation
03/13/2014
Rajiv Sharma, MD
A middle-aged man came to the ambulatory clinic with left side chest discomfort and painless increase in girth of his left shoulder for last decade. He reported no similar swelling of the other limbs nor...
03/13/2014
lung disease
lung disease
03/13/2014
Shanise J. Patterson, PharmD, BCPS; Carrie S. Oliphant, PharmD, BCPS; Timothy H. Self, PharmD
The purpose of this brief summary is to focus attention on amiodarone-induced lung disease so that clinicians will be vigilant in monitoring for this serious and potentially fatal adverse drug reaction. ...
03/13/2014
brain
brain
03/13/2014
A selection of photo-based cases involving conditions that affect the brain, including neurocysticercosis, melanoma, and adenocarcinoma.
03/13/2014
vaccination
vaccination
03/13/2014
Ronald N. Rubin, MD
A 75-year-old woman complains of right-sided chest pain.
03/13/2014
intravenous fluid
intravenous fluid
03/12/2014
Surasak Puvabanditsin, MD; Imteyaz Khan, MD; Syed-Saif Abbas Rizvi, MBBS; Imran Malik, MD; Barry Weinberger, MD; Thomas Hegyi, MD
An infant was born via cesarean delivery to a 29-year-old, gravida 3, para 2 mother at 31 weeks’ gestation. The pregnancy had been complicated by preterm labor and preeclampsia.
03/12/2014
stroke
stroke
03/12/2014
Gregory W. Rutecki, MD
Last month the American Heart Association and the American Stroke Association released the first set of guidelines focused solely on stroke risk factors for women.
03/12/2014
Vasculitis
Vasculitis
03/12/2014
Debra L. Bynum, MD; Anna Conterato, MD; C. Adrian Austin, MD
The authors review types of ANCA-associated vasculitides, with a focus on eosinophilic granulomatosis with polyangiitis and their clinical presentation in older adults.
03/12/2014
Vitamin D
Vitamin D
03/12/2014
Steven R. Gambert, MD, AGSF, MACP; Shailendra Singh, MD
This article reviews vitamin D and calcium recommendations and provides strategies healthcare practitioners can use to ensure their patients obtain optimal amounts and prevent both deficiencies and...
03/12/2014
insomnia
insomnia
03/12/2014
Mihai C. Teodorescu, MD
Insomnia and disrupted sleep is a complex condition and should be evaluated by taking comorbidity, lifestyle, environment, and personal preferences into account.
03/12/2014
Glycolysis
Glycolysis
03/12/2014
Suwimon Pootongkam, MD; Susan T. Nedorost, MD
This article will review sources of PG and how it works, as well as clinical tips and pearls for diagnosis and treatment.
03/12/2014
Primary Care
Primary Care
03/12/2014
Christopher Scuderi, DO
It is the primary care physician who is best positioned to achieve the triple aims of healthcare reform but only if we take and active leadership stance in shaping the landscape.
03/12/2014
Cardiometabolic risk
Cardiometabolic risk
03/12/2014
Primary care physicians need to continue promoting good nutrition and better eating habits at every patient visit. Consultant360 recently highlighted a few new studies reinforcing this mission.
03/12/2014
Penile Lesion
Penile Lesion
03/11/2014
Laura A. Robinson, MD; Lee E. Connor, BS; Andrew Rosenthal, MD, MBA
A sexually active 45-year-old Hispanic male presented after falling out of a moving vehicle. The patient appeared to be in no acute distress, had a Glasgow Coma Score of 14, and smelled of alcohol. The...
03/11/2014