Volume 51 - Issue 12 - December 2011

Consultant

04/05/2016
Pharmacologic treatments and pulmonary rehabilitation improve symptoms, health status, and exercise tolerance in patients with COPD.
04/05/2016
04/05/2016
Chronic airflow obstruction is a central feature of chronic obstructive pulmonary disease (COPD).
04/05/2016
04/05/2016
Chronic obstructive pulmonary disease (COPD) typically is a complex, multicomponent disease that can affect different systems.
04/05/2016
04/05/2016
Chronic obstructive pulmonary disease has replaced cerebrovascular diseases as the third-leading cause of death in the US.
04/05/2016
12/21/2011
Gregory W. Rutecki, MD
<div class="section"> <div class="section"> <div class="layoutArea"> <div class="column"> <p>Does the evidence still support vitamin and...
12/21/2011
vertigo
vertigo
12/21/2011
Michael J. Ruckenstein, MD, MSc, FACS; Lindsay A. Goodstein
<div class="column"> <p>ABSTRACT: Painstaking elucidation of a patient’s symptoms is the key component of the diagnostic workup for dizziness and vertigo. Light-headedness and...
12/21/2011
12/21/2011
Sarah Kizilbash, MD; Roli Agrawal, MD
<p>A 5-month-old girl is brought for evaluation of a neck swelling that had appeared 2 days earlier and had pro- gressively enlarged. She has also had cough and subjective fever. She has had no...
12/21/2011
12/21/2011
<div class="column"> <p>Case 1:</p> <p>For several weeks, this 72-year-old man has had progressive periorbital edema (A) that was initially thought to be allergic in...
12/21/2011
sarcopenia
sarcopenia
12/21/2011
Noah S. Scheinfeld, MD, JD
<P><SPAN>ABSTRACT: Skin aging results from both intrinsic factors (ie, alterations of cutaneous function) and extrinsic factors (eg, ultraviolet radiation that induces photoaging). Age-related...
12/21/2011
allergic contact dermatitis
allergic contact dermatitis
12/21/2011
James Studdiford, MD; Amber Stonehouse, MD
The sudden appearance of a pruritic confluent erythematous rash on the anterior neck and upper back prompted a 30-year-old woman to
12/21/2011
Epilepsy
Epilepsy
12/20/2011
Matthew P. Sisitki, MD; Richart W. Harper, MD
Woman with history of migraine headaches rushed to the emergency department with a new-onset seizure and diagnosed with posterior reversible encephalopathy syndrome.
12/20/2011
Nonalcoholic Fatty Liver Disease
Nonalcoholic Fatty Liver Disease
12/20/2011
Ronald N. Rubin, MD
A 58-year-old woman is evaluated after routine blood tests revealed elevated transaminase levels. She is asymptomatic and reports no complaints.
12/20/2011
12/20/2011
James Guidice, DO; Hiral Patel, DO
<p>For 4 days, a 34-year-old preg- nant woman had dyspnea and right-sided chest pain. She denied fever, chills, sweats, cough, lower extremity pain,and edema. Surgical and social histories were...
12/20/2011
unipolar depression
unipolar depression
12/20/2011
Barry J. Wu, MD, FACP
ABSTRACT: Major depression is a common illness in primary care that can be under-recognized. The United States Preventive Services Task Force guideline recommends screening for depression in adults when...
12/20/2011
12/20/2011
Susan M. Turley, MS, APRN
<div class="column"><p><span><span class="Apple-tab-span"> </span>Half way through a 15-minute iontophoresis treatment for de Quervain tenosynovitis of the...
12/20/2011
Influenza
Influenza
12/20/2011
<P><SPAN><SPAN class=Apple-tab-span></SPAN>Although annual vaccination remains the most effective method for preventing seasonal influenza virus infection, antiviral medications can...
12/20/2011
synovial cyst
synovial cyst
12/20/2011
Dmitry Shtrambrand, MD
<p><span class="Apple-tab-span"></span>Over the past year, asymptomatic wartlike nodules had slowly developed on the fingers of both hands of a 57-year-old woman. During...
12/20/2011
12/20/2011
Constantine Bouropoulos, MD; Ioannis Tsironis, MD; Chousam Dauacher, MD; Christos Tatsis, MD
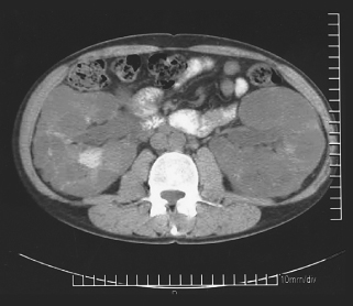
<p><span>A 38-year-old woman was hospitalized because of bilateral flank pain and gross hematuria. Her medical history included autosomal dominant (adult) polycystic kidney disease (ADPKD). Her...
12/20/2011
12/20/2011
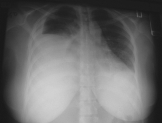
Germaine L. Defendi, MD, MS
<P><SPAN class=Apple-tab-span></SPAN>A 4-year-old boy with Down syndrome who underwent chest radiography while hospitalized for fevers, respiratory distress, and hypoxia was found...
12/20/2011
acanthosis nigricans
acanthosis nigricans
12/20/2011
Barbara B. Wilson, MD; James W. Click, MD
<p>For the past 7 years, an obese 22-year-old African American woman had had asymptomatic, velvety hyperpigmentation on both cheeks. Similar hyperpigmentation was present on the neck, in the...
12/20/2011
ear infection
ear infection
12/20/2011
Meg G. Keeley, MD
An accurate ear examination is dependent on the quality of the equipment, an adequately restrained patient, and the ability to visualize the tympanic membrane.
12/20/2011
ear infection
ear infection
12/20/2011
Meg G. Keeley, MD
An accurate ear examination is dependent on the quality of the equipment, an adequately restrained patient, and the ability to visualize the tympanic membrane.
12/20/2011
ear infection
ear infection
12/20/2011
Meg G. Keeley, MD
An accurate ear examination is dependent on the quality of the equipment, an adequately restrained patient, and the ability to visualize the tympanic membrane.
12/20/2011
12/20/2011
Richard Colgan, MD
<div class="column"><p><span>Medical </span><span>education is critically important to the evolution of medicine as a whole. The physician’s education is ongoing...
12/20/2011
12/20/2011

THE EDITORS    

THE EDITORS    
In this, the last issue of our 51st year of publication, we want to extend our thanks to the following reviewers who appraised at least one manuscript for us in 2011.
12/20/2011
Basal cell carcinoma
Basal cell carcinoma
12/20/2011
David L. Kaplan, MD
A 5-year-old girl with atopic dermatitis is brought to your office with a 4-day history of what the mother describes as “itchy eczema” on her legs.
12/20/2011