Was the Cure Worse Than the Disease? Case 3: Ovarian Hyperstimulation Syndrome
For 4 days, a 34-year-old preg- nant woman had dyspnea and right-sided chest pain. She denied fever, chills, sweats, cough, lower extremity pain,and edema. Surgical and social histories were unremarkable. She was taking progesterone and clomiphene citrate for the past 6 months for assisted reproduction.
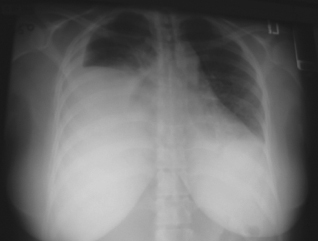
Vital signs and oxygen saturation were normal. The patient had decreased breath sounds with dullness to percussion bilaterally. The chorionic gonadotropin level was 295 mIU/mL. Results of a complete blood cell count, chemistry panel, coagulation studies, arterial blood gas analysis, and urinalysis were within normal limits. A chest x-ray film revealed bilateral pleural effusions, greater on the right.
A right thoracentesis was performed, and 1500 mL of clear yellow pleural fluid was aspirated. Analysis showed that the effusion was transudative. Fluid culture was negative for pathogens, and cytology results were normal. Over the next 6 days, the serum progesterone level increased from 65 to 222 ng/mL and the chorionic gonadotropin level rose to 3334 mIU/mL. A 2-dimensional echocardiogram was normal.
Ovarian hyperstimulation syndrome (OHSS) is a rare adverse effect of assisted reproduction therapy.1-4 The syndrome is thought to result from increased capillary permeability, triggered by the expression of cyto- kines, that leads to fluid shifts from the intravascular space.2-4 OHSS is classified as mild, moderate, or severe based on clinical and laboratory findings. The incidence varies from 3.1% to 6% for moderate disease and from 0.25% to 1.8% for severe disease.1
Risk factors are young age, low body weight, polycystic ovary syndrome, and previous episodes.1,2,4 Symp- toms include abdominal pain, nausea, vomiting, and weight gain. Transudative or exudative pleural effusions, pericardial effusions, tense ascites, oliguria, or hypo- volemia can also occur.1,4,5 Laboratory findings may show hemoconcentration and increased renin, antidiuretic hormone, and vascular endothelial growth factor (VEGF) levels.1,4 VEGF can be used as a marker of disease severity.3 Respiratory alkalosis with hypoxemia is often present. Pelvic ultrasonography may reveal large ovaries with multiple cysts (necklace sign)—as in this patient—or ovarian torsion.1
OHSS usually resolves within 10 to 14 days after cessation of the gonadotropin-releasing hormone agonist.1 Mild and moderate OHSS require observation and bed rest. Severe OHSS requires intravascular support with isotonic saline. Some experts advocate the use of plasma expanders, such as albumin.4,5 Diuretics are contraindicated. Thoracentesis or paracentesis is often necessary to relieve dyspnea.1,5 Potentially fatal complications include hypovolemic shock, renal failure, acute respiratory distress syndrome, pulmonary emboli, cerebral vascular accidents, intracranial hyper tension, and adnexal torsion requiring surgery.1,4,5
This patient’s symptoms resolved, and after 10 days she was discharged. No recurrence of dyspnea was reported, and she had an uncomplicated pregnancy.

1. Avecillas JF, Falcone T, Arroliga AC. Ovarian hyperstimulation syndrome. Crit Care Clin. 2004;20:679-695.
2. Schenker JG. Clinical aspects of ovarian hyperstimulation syndrome. Eur J Obstet Gynecol Reprod Biol. 1999;85:13-20.
3. Garcia-Velasco JA, Pellicer A. New concepts in the understanding of the ovari- an hyperstimulation syndrome. Curr Opin Obstet Gynecol. 2003;15:251-256.
4. Practice Committee of the American Society for Reproductive Medicine. Ovarian hyperstimulation syndrome. Fer til Steril. 2003;80:1309-1313.
5. Delvigne A, Rozenberg S. Review of clinical course and treatment of ovarian hyperstimulation syndrome (OHSS). Hum Reprod Update. 2003;9:77-96.
