Volume 64 - Issue 5 - May 2024

Consultant

Photoclinic
Photoclinic
05/05/2025

Juan Qiu, MD, PhD1 Alice Lin, BS, BA2 Sara Ferguson, MD3

Juan Qiu, MD, PhD1 • Alice Lin, BS, B...
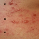
A 62-year-old healthy man presented to his primary care provider with a 2-day history of painful vesicular rashes on his right trunk.
05/05/2025
Case Report Insights
Case Report Insights
02/17/2025
Juan Qiu, MD, PhD; Alice Lin, BS, BA
In this Consultant Case Report Insights, Juan Qiu, MD, PhD and Alice Lin, BS, BA, speak about their study, “A Healthy Male With Recalcitrant Herpes Zoster.” Dr Qiu and Alice Lin give a detailed overview of...
02/17/2025
What's The Take Home?
What's The Take Home?
01/17/2025

Ronald N. Rubin, MD1,2 Series Editor

Ronald N. Rubin, MD1,2 —Series E...
A 52-year-old woman has been experiencing sporadic panic attacks for several months that are not related to any specific behaviors or exposures. The attacks are characterized by a racing and strong pounding...
01/17/2025
Photo Essay
Photo Essay
07/09/2024

Alexander K.C. Leung, MD1,2, Benjamin Barankin, MD3, Joseph M. Lam, MD4, Kin Fon Leong, MD5

Alexander K.C. Leung, MD1,2, Benjamin...
This article is part of a series describing and differentiating dermatologic lumps and bumps. In Part 39, Leung and colleagues describe lichen spinulosus. To access previously published articles in the...
07/09/2024
Photoclinic Challenge
Photoclinic Challenge
06/25/2024
Consultant360’s Photoclinic Challenge is an interactive quiz based on an image featured in a Photoclinic article. For more Photoclinic Case Reports, visit our archive.
06/25/2024
Photoclinic
Photoclinic
06/03/2024

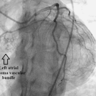
Steven R. Bruhl, MD, MS, FACC1 • Andrew J. Slembarski, MD2 • Gavin N. Sluss3

Steven R. Bruhl, MD, MS, FACC1 • Andr...
A 46-year-old woman presented in an outpatient cardiology office for preoperative clearance for tubal ligation surgery. On assessment, the physicians found her to have frequent premature ventricular...
06/03/2024