Volume 63 - Issue 11 - November 2023

Consultant

Photoclinic
Photoclinic
02/24/2025
Katrina Au, MD; Arine Musaelyan, MD; Yasir Rajwana, MD; Tingliang Shen, MD, PhD; Stefan Balan, MD
A 67-year-old man presented to the hospital with progressive shortness of breath for 4 days, which worsened with exertion and was relieved by rest. He also noted one episode of dark vomitus and one episode...
02/24/2025
Photoclinic
Photoclinic
11/07/2024
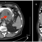
A 66-year-old woman with a history of type 2 diabetes, stage 4 chronic kidney disease (CKD), hypertension, heart failure with reduced ejection fraction, and gout presented with a chief concern of dyspnea...
11/07/2024
Photoclinic
Photoclinic
11/06/2024
Krista Gomes, MD
A 38-year-old man presents to the emergency room for acute onset weakness for the past day. The patient reported acute onset lower extremity weakness that started the same morning of presentation.
11/06/2024
What's Your Diagnosis?
What's Your Diagnosis?
10/24/2024
Veronica Thompson, OMS II; Amanda Ho, OMS II; Ciara Doyle, OMS II; Joy Ishii Zarandy, DO, FAAFP, DABFM
A 27-year-old man presented to the emergency department (ED) following a new-onset seizure. The seizure was witnessed by his wife, who stated that he was standing at the kitchen sink, washing dishes, when...
10/24/2024
Photoclinic
Photoclinic
01/26/2024
Vivian Dong, BS; Seth S. Martin, MD, MHS; Richard Hal Flowers, MD, BA
A 50-year-old man presented to clinic with a ten-day history of a painful, swollen red plaque on his right lateral eyebrow. The rash had worsened despite a 5-day course of oral doxycycline 100 mg twice...
01/26/2024
Case in point
Case in point
12/13/2023
David Rabinovich, DO; Micaela Weaver, DO, FACS
Men with breast cancer tend to have a worse prognosis than women, as they commonly have more advanced disease at diagnosis. While many practitioners utilize mammography screening for women, there is less...
12/13/2023
Photo Essay
Photo Essay
12/11/2023

Alexander K.C. Leung, MD1,2, Benjamin Barankin, MD3, Joseph M. Lam, MD4, Kin Fon Leong, MD5

Alexander K.C. Leung, MD1,2, Benjamin...
This article is part of a series describing and differentiating dermatologic lumps and bumps. In Part 33, Leung and colleagues describe neonatal breast hypertrophy and gynecomastia. To access previously...
12/11/2023
What's the Take Home?
What's the Take Home?
12/07/2023
Ronald N. Rubin, MD
A 56-year-old woman presented to the emergency room due to an alteration in mental status. The family reported that in recent weeks she became distracted, lethargic, and drowsy at times with reduced...
12/07/2023