Volume 62 - Issue 3 - March 2022

Consultant

Photoclinic
Photoclinic
12/27/2024
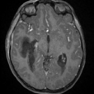
A previously healthy 8-year-old boy presented to the emergency department with sudden-onset neurological deficits and altered mental status following a syncopal episode.
12/27/2024
Guest Commentary
Guest Commentary
09/06/2023
Dr Harrison reflects on his career in medicine, including training with limited resources and few investigative opportunities, and relying on the art of conducting a diligent history and physical...
09/06/2023
Photoclinic
Photoclinic
09/05/2023
A 91-year-old woman presented to the emergency department with a 3-day history fever, chills, and nonproductive cough.
09/05/2023
Photoclinic
Photoclinic
08/23/2023
A 58-year-old man presented to the emergency department with a 1-week history of shortness of breath, cough, and wheezing. His medical history was significant for chronic obstructive pulmonary disease and...
08/23/2023
What's Your Diagnosis?
What's Your Diagnosis?
06/29/2023
A previously healthy 3-month-old boy was brought to the primary care pediatric dermatology clinic by his parents for evaluation of worsening facial, diaper, and extremity rash.
06/29/2023
Photoclinic
Photoclinic
06/27/2023
In December 2018, a 27-year-old man who had recently emigrated to the United States from India had struck his right elbow into a door. Over the following weeks, he had experienced progressive pain and...
06/27/2023
Photoclinic
Photoclinic
06/08/2023
A 60-year-old man presented to the emergency department after detecting persistently low SpO2 measurements on his home pulse oximeter device during the peak of the COVID-19 pandemic.
06/08/2023
Review
Review
05/31/2023
Incidental adrenal tumors are common but are most often asymptomatic. The challenge for primary care providers is to determine the hormone secretion status and malignancy potential. This article outlines...
05/31/2023
Photoclinic
Photoclinic
02/07/2023
Two unrelated male neonates were born at term in the same hospital on the same day. Both mothers had prenatal care established in the first trimester, and both pregnancies were uncomplicated.
02/07/2023
Case In Point
Case In Point
01/28/2023
A 77-year-old woman presented to the emergency department with shortness of breath. She had a medical history significant for COPD, CAD, myocardial infarction status after coronary artery bypass grafting,...
01/28/2023
Photo Essay
Photo Essay
01/27/2023
Benjamin Barankin, MD, FRCPC; Kin Fon Leong, MD; Joseph M. Lam, MD; Alexander K.C. Leung, MD, MBBS, FRCPC, FRCP
This article is part of a series describing and differentiating dermatologic lumps and bumps. In part 14, parulis and traumatic fibroma of the tongue are described.
01/27/2023
Radiology Quiz
Radiology Quiz
01/02/2023
A 72-year-old Black man presented to the clinic with subjective fever, severe fatigue, chest tightness, and dry cough for the previous 3 days. His history was significant for hypothyroidism, and he was a...
01/02/2023