Volume 59 - Issue 9 - September 2019

Consultant

Photo Essay
Photo Essay
07/06/2022
This article is part 5 of a 5-part series of Photo Essays describing and differentiating conditions affecting the tongue and related structures in the oral cavity.
07/06/2022
Case in Point
Case in Point
04/12/2022
A 38-year-old man was admitted to the hospital with a comminuted right intertrochanteric hip fracture after a minor fall. After open reduction and internal fixation of the right hip, the patient was found...
04/12/2022
Photoclinic
Photoclinic
02/04/2020
A 21-month-old boy with a history of 32-week prematurity presented to the emergency department with a first-time seizure following 1 day of nonbilious, nonbloody emesis and 1 episode of nonbloody diarrhea. ...
02/04/2020
Photoclinic
Photoclinic
10/29/2019
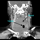
A 51-year-old woman was admitted to the intensive care unit after presenting to the hospital’s emergency department with acute hypoxic respiratory failure.
10/29/2019
Photoclinic
Photoclinic
09/22/2019
A 59-year-old woman with a history of hyperlipidemia and hypertension presented to clinic for follow up of asymptomatic essential thrombocytosis.
09/22/2019
Review Article
Review Article
09/10/2019
Idiopathic pulmonary fibrosis (IPF) is a progressive fibrosing interstitial lung disease characterized by dyspnea and loss of lung function. The morbidity associated with IPF has a broad and profound impact...
09/10/2019
What's the Take Home?
What's the Take Home?
09/09/2019
A 61-year-old man was admitted to the inpatient service at a trauma center after having sustained injuries in a motor vehicle accident.
09/09/2019
Photoclinic
Photoclinic
07/11/2019
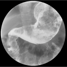
An 11-year-old girl presented to the emergency department with a 2-week history of nausea and vomiting in the context of chronic abdominal pain, diarrhea, and unintentional weight loss.
07/11/2019
Photoclinic
Photoclinic
03/29/2019
A 10-month-old otherwise healthy boy was brought to a pediatrician’s office for evaluation of a scalp lesion that had been present since birth.
03/29/2019